江西省人民医院洪浪院长团队完成一例高风险高难度TAVR手术

2021年5月17日,在江西省人民医院-江西省心血管病医院洪浪院长的带领下,联合超声、麻醉、心外、护理、重症等多学科心脏瓣膜团队,为一位心功能低下的主动脉瓣重度狭窄患者完成了经导管主动脉瓣置换术(TAVR)。

随着我国老龄化社会发展的趋势,老年瓣膜退行性病变发生率不断升高,其中主动脉瓣狭窄已慢慢成为这一人群常见瓣膜性心脏病。对于重度主动脉瓣狭窄患者,外科开刀置换曾经是唯一可以延长生命治疗手段,但部分患者常因高龄、低体重、心功能不全、糖尿病等合并症,致使手术风险极大,导致无法实施有效治疗。随着新技术的发展,经导管主动脉瓣置换术(TAVR)这项微创手术,给此类患者带来了福音。

患者基本情况 

这是一位主动脉瓣重度狭窄的患者,女性、71岁,体重40kg,于1年前反复出现胸闷、气逼,3天前症状加重不能缓解,于5月17日晚由江西省心血管病医院十科收治入院,入院时大汗淋漓,血压偏低,外周血氧低于90%,濒死感明显,经医护人员对症治疗后症状逐渐缓解。

 术前评估 

在洪浪院长的主持下,联合超声、麻醉、心外、护理、重症等多学科进行详细的术前讨论,并评估ECMO等生命维持设备必要性,制定详细手术策略及紧急状况下的应对方案。

心脏超声提示主动脉瓣重度狭窄(瓣口面积0.26cm2,正常值3-4cm2),射血分数30%(正常值50-70%),血小板减少,结合其年龄、体重、相关评分,明确其为极高危主动脉瓣狭窄患者,随时有猝死的风险,并且无论是外科还是内科,手术风险均非常大。心功能低,术前主动脉瓣无反流,为预防球囊扩张后造成的急性反流引起循环崩溃的风险,需要预装瓣膜,湿备体外循环。

Tepy1型二叶瓣,中度钙化,瓣环直径25.6mm,LVOT32.5mm,窦部短轴最窄处22.8mm,综合考虑DOWNSIZE选择L26或者L29瓣膜。冠脉高度尚可,STJ较高,以及二叶瓣均可降低冠脉风险,整体评估冠脉风险较小,决定术中使用22mm球囊预扩确认冠脉风险及瓣膜选择。

入路情况较为特殊,右股入路扭曲,左股尚可,腹主迂曲,上大鞘和过输送器时应轻柔,以防止血管并发症。决定左股作为主入路,左桡作为辅路。弓部呈锐角,过弓时应注意血管损伤,必要时借助抓捕器。

手术过程

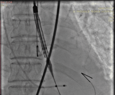
主动脉根部造影未见明显反流,瓣叶活动受限,开口面积小,猪尾导管因无冠窦钙化未放到窦底。

采用22mm球囊预扩有一点腰征,左右冠均显影。

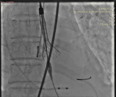
稍高位释放

稍高位释放,释放过程中略微下移。

瓣膜展开后可见接近标准位,且无瓣周漏。

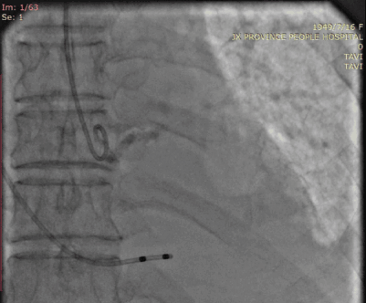
5月19日,朱奶奶被送入介入室行经导管主动脉瓣置换术,由于下肢血管入路极度扭曲,并且低血压,难以耐受长时间麻醉及手术,洪浪院长团队简化方式建立入路,再进行全麻,并迅速完成垮瓣、球囊扩张及Venus A 26mm瓣膜释放,术后造影提示瓣膜位置良好,无瓣周漏,左心室与主动脉压差从术前139mmHg降至7mmHg,手术非常成功。从病人上台至股动脉缝合共耗时100分钟,术后转入CCU进行复苏,继续监测生命体征。    

该例患者为洪浪院长团队完成的第28例TAVR手术,系常智堂主任、曾洪主治医生治疗小组成功完成的第11例主动脉瓣重度狭窄患者。

手术次日,患者从监护室步行返回普通病房,复查各项指标均较术前明显好转,术后第5天出院。

专家简介

洪浪

江西省心血管病医院

主任医师    教授   硕士、博士生导师

江西省心血管病医院院长,江西省心血管研究所所长;卫计委“冠心病介入诊疗技术培训基地”、“先心病介入诊疗技术培训基地”及“心律失常介入诊疗技术培训基地”主任;中华医学会心血管介入培训江西基地主任;国家药物临床试验江西基地心血管专业主任;中国医师协会心血管分会先心病工作委员会委员;江西省介入心脏病学会理事长;江西省医师协会心血管内科医师分会会长;江西省“冠心病介入治疗质量控制中心”主任;江西省人民医院胸痛中心技术总监;江西省生物医学工程学会心电起搏分会常委;美国心脏节律协会会员;《中国介入心脏病学杂志》及《中国心脏起搏与心电生理杂志》编委;

中国医疗保健国际交流促进会心血管健康医学分会委员,中国医疗保健国际交流促进会心血管病学分会委员

曾洪

江西省心血管病医院

硕士研究生,主治医师

江西省人民医院心血管内科冠心病一病区;中部复杂冠心病介入治疗青年委员会江西组副组长;江西省介入心脏病学会青年专业委员会副主任委员;江西省介入心脏病学会会员。

多次在国内大会手术直播中,以第一术者身份,成功完成所有高危复杂冠脉介入手术任务,以及主持、病例分享、点评嘉宾等任务。以第一作者发表SCI一篇,参与SCI 5篇,江西省科技进步二等奖。

主要研究方向:高危复杂冠心病介入治疗、TAVR、OCT、IVUS、FFR以及常见心血管疾病的诊疗。

阅读数: 3379
相关专题