生死时速!广东省人民医院郭惠明主任团队完成急诊TAVR手术一例,年TAVR破50台!
2021-06-02 10:29
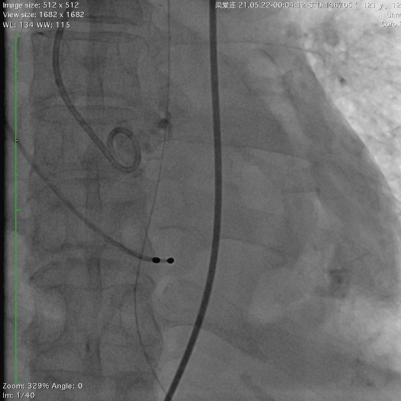
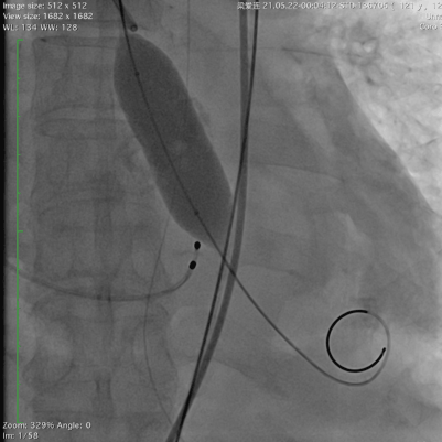
78岁的阿婆,入院3年余前出现活动后胸闷,气促。3天前出现恶心,呕吐,双下肢水肿,来广东省人民医院急诊科就诊,行心脏彩超提示为重度主动脉瓣狭窄并中度关闭不全,经郭惠明主任团队评估后收住入院,拟行TAVR治疗,阿婆急性心衰,呼吸急促,循环不稳,我院ICU团队立刻对患者进行抢救处理,紧急气管插管,循环不稳定,大剂量血管活性药物维持,尿少,乳酸持续升高,命悬一线。郭惠明刘健主任团队立刻对患者施行紧急救治,23点40麻醉,00:30开始手术,01:27分手术结束,整个手术过程持续不到1小时。

从今年年初到现在,广东省人民医院心外科团队已完成超过50例TAVR手术植入量,手术效果满意。
门诊时间
郭惠明 主任 协 和 门 诊 每周二上午
刘 健 主任 心门诊 3区 每周一下午