复杂先心肺动脉狭窄植入支架断裂的处理:Stent-in-Stent植入Pul-Stent肺动脉支架

2021年3月16日,上海儿童医学中心心内科高伟、郭颖以及刘廷亮主任采用STENT-IN-STENT方法在断裂的外周支架内再植入Pul-Stent,为一位5岁患儿实施了支架植入术。

患儿2019年5月因感冒就诊于当地医院,后体检发现心脏杂音,在上海儿童医学中心行心脏彩超,提示肺动脉锁、房间隔损、室间隔块损、动脉导管开放、大侧枝血管形成、左心收缩功能低下。分别于2019年5月进行了心导管造影检查、两次心外科姑息及根治手术(室间隔留孔)。心外科术后因左肺动脉严重扭曲,接近闭锁,并于2019年11月行经皮肺动脉球囊狭窄成形术及动脉支架植入术,术中选用外周8-18mm支架,植入后左肺动脉开通,术后一直随访。


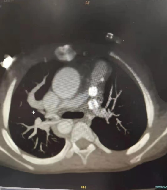
2021年3月9日再次门诊复查行心脏CT提示左肺动脉支架内支架不连续,左肺动脉远端发育小,右肺动脉扭曲,考虑支架断裂,断裂之间的肺动脉严重狭窄。

 CTA显示断裂的支架和严重狭窄的左肺动脉

考虑到由于该患者之前采取的手术方式为右室流出道重建、左右肺动脉扩大术并室间隔留孔。目前由于肺动脉分支发育不良,患者仍然无法处理室间隔留孔,但由于断裂的支架造成左肺动脉再次狭窄,又需再次给予手术。患者已经历过两次外科开胸手术,由于粘连,再次开胸分离暴露心脏会面临心脏破裂出血等高风险可能,第三次外科手术困难很大。高伟主任团队经过病情分析和多项评估,决定给患儿进行行经皮介入治疗的方法,扩张左肺动脉。

术前显示原植入支架断裂

在导丝引导下,右心导管通过断裂的支架,到达左肺动脉远端。再沿导丝送入Pul-Stent,和球囊载体,覆盖断裂的支架。

术中植入Pul-stent S20支架(EV3 10-3和12-3球囊)

断裂支架内进行支架植入术几点意见:

1.手术目的:扩大直径,解除支架断裂后的再狭窄;防止断裂支架的近心端部分移位,避免再次外科开胸手术。

2.手术要点:该手术的技术要点在于长鞘通过原先断裂的外周小支架,如何避免可能出现的断裂支架移位。在手术中球囊的选择是依据左肺动脉最大直径,长度以不影响右肺动脉开口,由于左肺动脉扭曲,如支架选择过长,容易引起再次断裂,所以选择支架的长度应以覆盖原支架即可。

3.后续治疗:因病人左肺发育较差,过度扩张容易造成肺血管破裂出血,或原断裂支架的钢丝刺破肺血管,所以计划待患者左肺动脉发育以后,再次高压球囊进行扩张。Pul-Stent肺动脉支架是由钴铬合金制成,半开环的设计,可进行二次扩张,适合那些随着生长发育以后需要再次扩张的患者。

2021年5月18日,支架术后2个月再复诊,CT显示支架形态良好,未发生再次断裂。未来择期再进行Pul-Stent支架再扩张。
阅读数: 1516
相关专题