该患者是一名71岁老人,反复气喘3年余,加重3周余。入院诊断为二尖瓣后叶脱垂伴重度关闭不全,超声心动图提示:二尖瓣后叶脱垂伴重度关闭不全。该患者同时合并冠心病、房颤、外周动脉硬化、肾功能不全等疾病,心脏团队评估患者开胸手术风险极高,微创二尖瓣修复手术是最适合的治疗方式,因此患者及家属充分考虑后选择该项技术治疗,并签署本研究知情同意书,王焱教授团队全面评估后确认该患者符合本研究入选标准,注册入选成为福建省第一个入组治疗的患者。

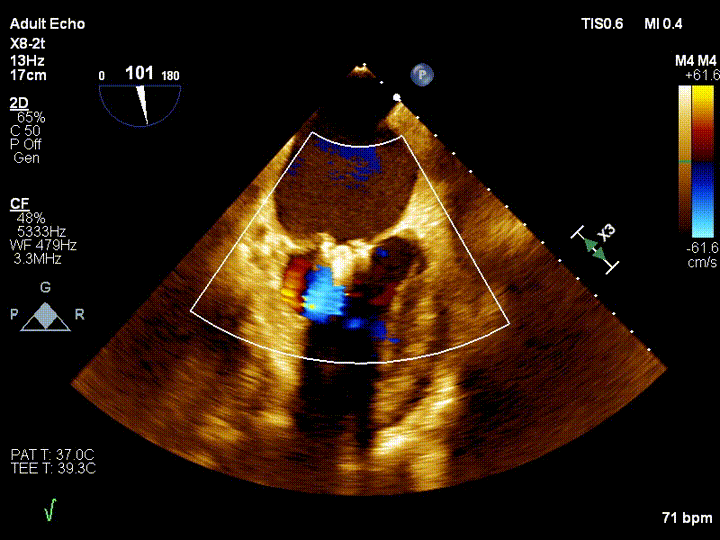
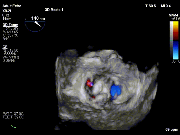
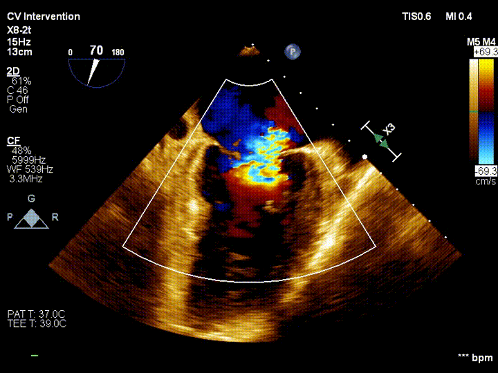
王焱教授团队和美国弗吉尼亚大学医学中心David Scott Lim教授、香港亚心医院林逸贤教授术前详细评估并制定了相应的手术策略,并在手术当天在线指导。在浙江大学附属第二医院王建安书记结构团队核心成员刘先宝主任的现场指导下,王焱院长团队顺利完成股静脉穿刺,然后在食道超声指引下顺利穿刺理想位置的房间隔,肝素化后,放置25F鞘管至左房,测定左房压,随后顺利于二尖瓣前后叶植入两枚二尖瓣钳夹装置,术前患者二尖瓣重度反流即刻减轻至微量,左房压力即刻减低,预示着患者的临床症状将得到明显改善。手术全程用时不到2小时,患者术后即刻拔管苏醒。

本次手术的顺利完成标志着DragonFly™在全国开展的多中心注册临床研究已陆续在各地的顶级医院开展,本研究计划入组上百例二尖瓣反流的患者,并由德晋医疗免费提供DragonFly™二尖瓣修复器械,为入组患者提供二尖瓣反流治疗的优质解决方案及顶级医院的专业医疗服务和术后随访服务。
专家简介
王焱
厦门大学附属心血管病医院
厦门大学附属心血管病医院院长;香港大学医学博士、教授、主任医师、博士生导师;美国心脏病学院会员(FACC);欧洲心脏病学会会员(FESC);国际心血管介入学会会员(FSCAI);中华医学会心血管分会委员;中国胸痛中心认证委员会副主任委员;中华医学会心血管病学分会介入心脏病学组副组长、海峡两岸医学卫生交流协会心血管病分会候任主任委员,国家卫生健康突出贡献中青年专家,具有丰富的临床工作经验,从事心血管系统疾病的诊治,在冠状动脉、外周血管疾病及心脏瓣膜疾病诊治方面有很高造诣。
王斌
厦门大学附属心血管病医院
医学博士,主任医师,厦门大学副教授,硕士研究生导师;中国胸痛中心区域认证中心(厦门)分中心办公室主任;厦门大学附属心血管病医院急诊科主任,胸痛中心主任;中华医学会心血管病分会结构组委员;中国人体健康科技促进会结构心脏病专业委员会委员;中国胸痛中心认证专家;中国医师协会心力衰竭分会青年委员;中国医促会血管高血压分会委员;福建省医学会心血管病分会青年委员;中国医促会心血管疾病预防与治疗分会青委;海峡两岸医药卫生交流协会心血管病分会委员;亚洲青年结构俱乐部黄金会员;澳大利亚The Prince Charles Hospital (TPCH)学习 ;厦门市第九批拔尖人才,厦门市第四批青年创新人才;
从事心血管内科临床、冠脉、结构性心脏病介入及胸痛中心建设、维护及认证工作。