Ken valve®成功完成FIM研究,又一款我国自主创新研发的瓣膜产品正式启动确证性临床研究
2021-03-30 12:53
2021年03月28日,由海军军医大学附属长海医院心血管外科徐志云教授、宋智钢教授、陆方林教授带领团队成功完成了健世科技经导管主动脉瓣置换系统(Ken-Valve®)确证性临床研究的全球首例入组,这标志着健世科技继LuX-Valve®三尖瓣置换系统后又一款自主创新研发的瓣膜产品正式进入确证性临床研究。


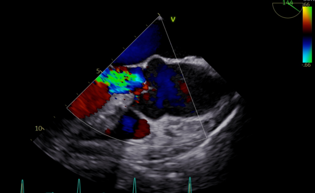
术前超声影像图

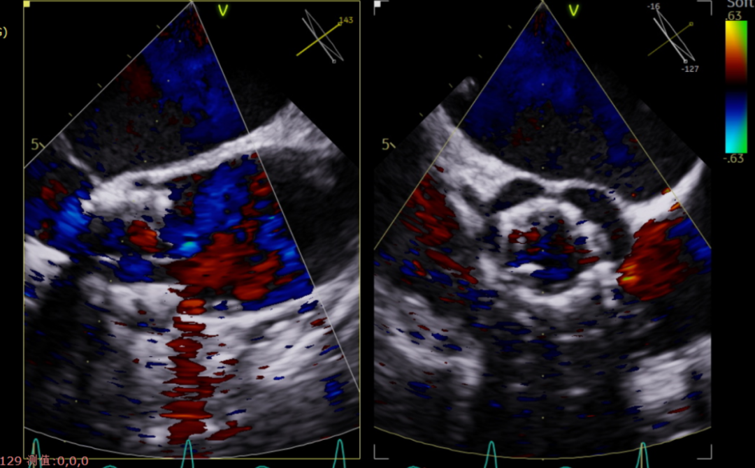
术后超声影像图

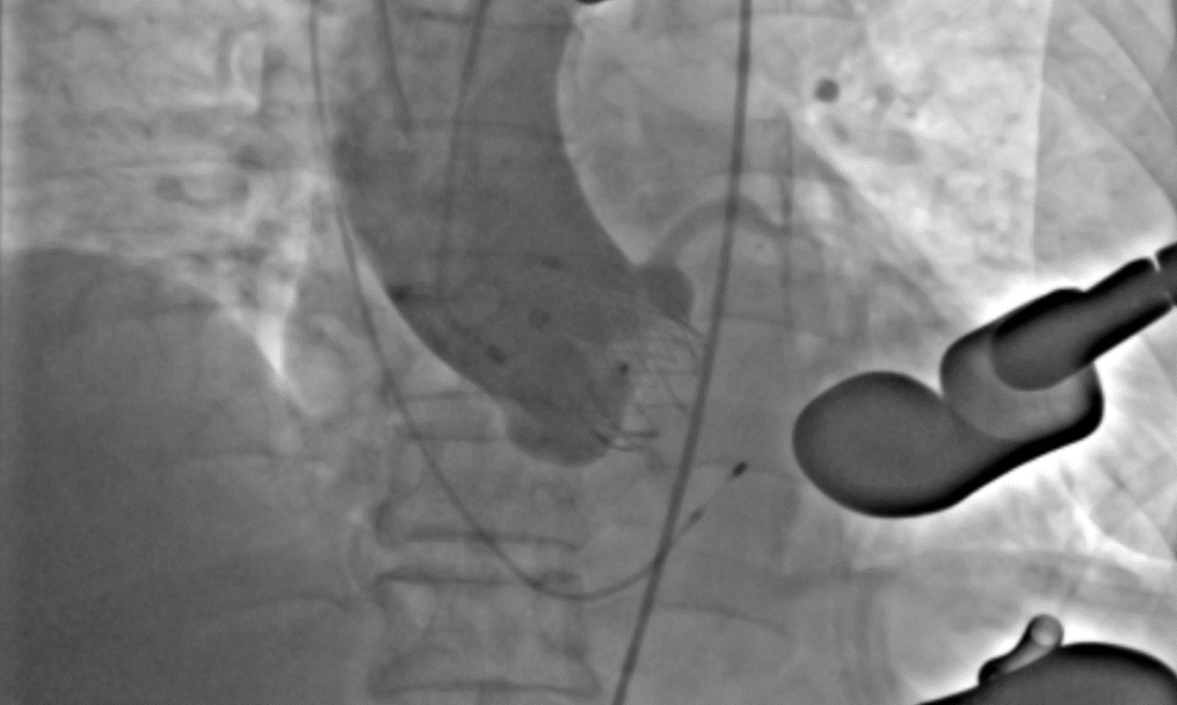
术后DSA影像图
Ken-Valve®产品具有以下特点:
1、一体式定位夹持件,实现精准定位,提高释放过程流畅性和同轴性;释放后夹持自体瓣叶进一步提高锚定稳定性,减少瓣周漏,降低阻挡冠脉的风险;
2、单点标记指引,提升手术操作立体感;
3、瓣膜周边设置有自适应防漏裙边,能适应各种不规格轮廓,有效封堵瓣周返流;
4、可调弯输送系统,操控简捷,适应不同的瓣环-心尖角度,保证瓣膜同轴性。
目前,健世科技已成功与长海医院、武汉协和医院、北京安贞医院、浙江大学医学院附属第一医院等知名医疗机构合作,完成了对Ken-Valve®的可行性(FIM)临床研究,临床效果令人满意,出色地体现了Ken-Valve®的安全性与有效性。
作为专注于结构性心脏病创新解决方案的民族企业,健世科技在经导管三尖瓣关闭不全治疗上已经取得了世界领先的成绩,随着主动脉瓣产品Ken-Valve®顺利启动确证性临床试验,后续还将有更多产品线进入临床研究,为广大结构性心脏病患者带来福音!