突破!华西医院陈茂教授团队成功开展Dragonfly™手术
2020-11-12 14:35
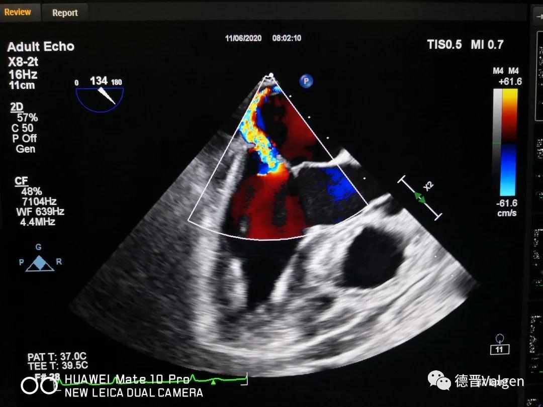
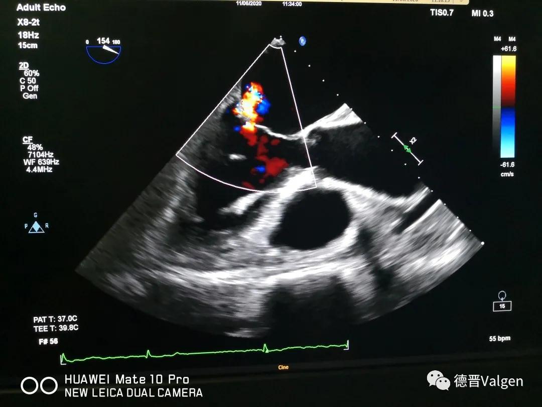
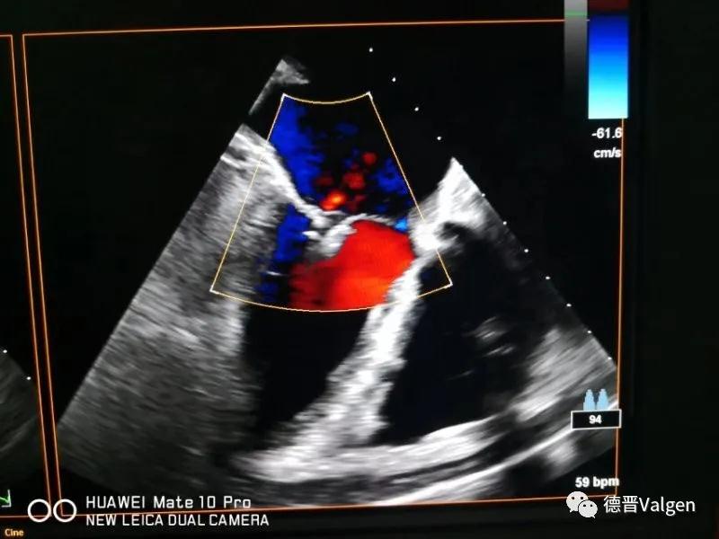
德晋医疗专注于结构性心脏病领域尤其是二尖瓣和三尖瓣的相关治疗技术的研发,提供二尖瓣病变系统性解决方案(Tool Box Concept)。德晋医疗曾研发了中国第一款微创介入治疗二尖瓣反流的产品(MitralStitch®),并于2018年1月份成功应用于人体临床。DragonFly™为中国第一款经股静脉二尖瓣缘对缘修复器械,优化的输送系统,使产品可同时应用于三尖瓣介入治疗。德晋医疗成为了国际上唯一具备两种成熟的二尖瓣介入修复器械的公司。德晋医疗的其他二尖瓣和三尖瓣相关器械也在研发当中,公司致力于创新型二尖瓣微创介入治疗全套技术研发,全力推动结构性心脏病治疗领域的发展,让中国智造,惠及世界。




