

男性、69岁,“反复心悸2年余,再发3月”入院。
患者2年前因反复出现心悸,呈阵发性,发作时伴头晕、胸闷,无黑曚、晕厥,持续时间达数分钟,发作时自测脉搏跳动节律不齐。
于2018年10月就诊于我院,诊断为心房扑动,心房颤动,行心内电生理检查及射频消融术,术后规律服抗凝药3月后停药。
3月前再发心悸,至我院住院治疗,完善食道超声检查提示左心耳内血栓,无法行射频消融术,予“达比加群酯”抗凝治疗,病情平稳后出院。
规范抗凝3月后入院复查血栓,并进一步手术,门诊以“心房扑动”收住院。
病程中无胸痛、黑曚、呼吸困难、晕厥,无恶心、呕吐、返酸、嗳气、腹痛、腹胀、咳嗽、咯血、畏寒、发热等不适。
自起病以来,患者精神、睡眠、饮食可,大、小便正常,体重无明显改变。
2018年10月在我院诊断“胆囊多发结石、前列腺增生”;
3前年诊断“脑梗塞”,未遗留后遗症。
个人史:吸烟50余年,现每日5-6支,否认饮酒史。
查体:脉搏:60次/分;血压:90/60mmHg;体重:56Kg;全身皮肤粘膜无黄染无苍白、於斑,无颈静脉怒张,肝颈静脉回流征阴性。双肺呼吸音粗,双肺未闻及明显干、湿啰音。
心前区无隆起,心尖搏动位于第五肋间左锁骨中线内0.5cm,未触及震颤;心界不大;心率60次/分,律齐;各瓣膜听诊区未闻及病理性杂音。
腹平坦,未见肠型及蠕动波,无压痛及反跳痛,肝脾未触及;双下肢无凹陷性水肿,门诊心电图:窦性心律,短阵房速。
食道超声:左心耳血栓形成征象(3月前)。
阵发性心房扑动;
陈旧性脑梗死;
胆囊多发结石;
前列腺增生;
房扑射频消融术后。
血常规:血红蛋白168g/L;
尿酸:467umol/L、氯:109.1mol/L;
凝血酶时间:113.9秒、活化部分凝血内凝血酶时间40秒;
高密度脂蛋白胆固醇:0.88mmol/L。
升主动脉近段增宽(36mm),左房扩大(39mm)左室不大(40mm)右房扩大(58X45mm);二尖瓣活动曲线呈双峰,前后叶呈逆向运动,瓣膜回声正常,开方可。
CDFI:MV:E峰:38cm/s;A峰:78cm/s;AV:PFV:127cm/s,PG:7mmHg;PV:PFV:95cm/s,PG:4mmHg;降主动脉:PFV67cm/s,PG:2mmHg。
左室收缩功能测定:EF:71%,FS:40%。
AQ所测,声学定量:EDV:88ml,ESV:26ml,SV:62,LVSI:40ml/m²,CO:4.8L,CI3.2L/min/m²。
主动脉型心形;
肺内未见软性病灶。
双肺轻度纤维化改变,肺内外周带及胸膜下多发实性结节灶,双肺多发索条,多发炎性改变可能,建议治疗后复查;
双肺下叶局灶性坠积性肺炎可疑;
左、右心房稍大,心包多发钙化斑;
纵隔多发淋巴结稍肿大。
患者阵发性心房扑动2年余,已行射频消融术,术后随访为短阵房速,3月前行食管超声左心耳内见血栓;欲求行左心耳封堵术入院,规范抗凝治疗后次入院后再次复查食道超声未见血栓。血栓栓塞/出血危险评分:CHA2DS2-VASc=3分,HAS-BLED=4分。

图1:2020年6月TEE多角度显示心耳尖部局部血栓

图2:2020年9月TEE检测未见心耳血栓

图3:入院心电图,窦性心律,频发室上性早搏

图4:多角度TEE下左心耳开口及深度直径(按塞式封堵伞方式测量)

图5:TEE测量固定盘着陆区尺寸20 mm,覆盖盘外口尺寸30 mm(盖式封堵伞测量)
拟选择24-26mm LACbes 盖式封堵伞。
患者取平卧位位于手术台上,连接心电记录仪、及压力监测装置。
经常规消毒、铺巾,静脉镇静下后穿刺右侧股静脉成功后,置入一个6F动脉鞘,行左右股静脉造影提示血管通畅。
同时经食道超声监测心脏、心包及检测左心耳结构(18/28,17/28,18/29,22/28),未见心房及心耳血栓。
LAA造影
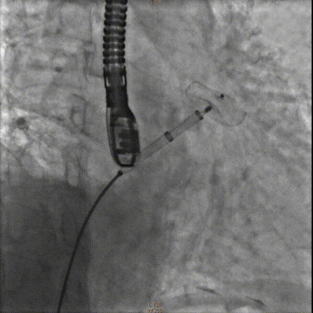
交换右侧8F动脉鞘及加硬钢丝换入1个8F Swartz L1长鞘至上腔静脉口,经Swartz鞘送房间隔穿刺针于PA位及RAO45°及食道超声精确定位房间隔后下位置行穿刺房间隔成功后,交换加硬钢丝至左上腔静脉,置入左心耳封堵器传输外鞘,通过外鞘送入5F猪尾巴导管至左心耳,测量左心房压力24/16mmHg,左心耳压力为25/11mmHg,行左心耳造影,测量左心耳形态及开口经线,左心耳形态为仙人掌状,DSA造影测量20/28mm。
将传输外鞘推送至左心耳开口,结合术前及术中超声检测结果,选择直径26mm左心耳封堵器。严格排气后送入左心耳封堵器,在食道超声及DSARA30°+CAU20°透视下精确定位左心耳封堵器固定盘,造影示位置及封堵良好,透视下释放封堵盘并牵拉,造影及超声检测未见明显漏肩及侧漏,固定盘及封堵盘稳定,贴合左心耳开口好。
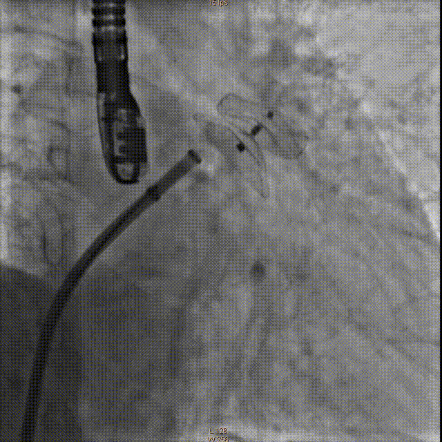
释放固定盘并造影
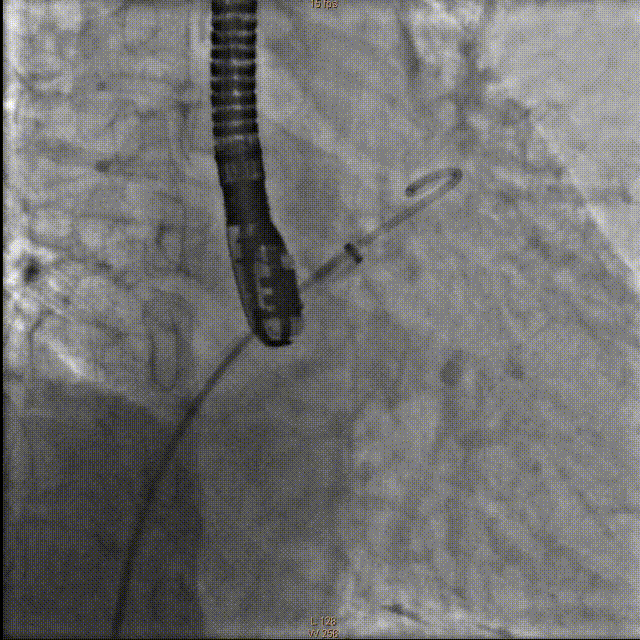
覆盖盘释放并造影
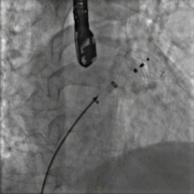
牵拉实验固定稳妥,无明显心包积液,透视下释放左心耳封堵器于左心耳。退出输送鞘管至右房测右房压12/5mmHg:撤出传送钢丝及血管穿刺鞘。
牵拉试验
释放封堵伞
释放封堵伞

TEE

TEE

TEE
术毕,术后拔管加压包扎安返病房。术中每半小时监测ACT补充肝素维持ACT300s-350s,术中使用肝素4000U。
术后规范用药:达比加群酯150mg BID,螺内酯20mgQD,培哚普利叔丁胺片4 mg QD,美托洛尔缓释片47.5 mg QD,瑞舒伐他汀片10 mg QN。拟45天后行TEE检查。