武汉协和医院TAVR团队完成一站式超大房缺+TAVR手术
2020-08-31 11:26
近日,华中科技大学同济医学院附属协和医院TAVR团队成功为一名70岁女性完成一站式超大房缺+TAVR手术。
华中科技大学同济医学院附属协和医院TAVR团队,在心外科董念国主任、心内科曾秋棠主任、超声科谢明星主任带领下迅速发展,瓣膜介入手术数量华中地区处于领先地位。
● 病史资料
该患者主诉发现先心病30年,下肢水肿一年,加重一月,入院检查发现先天性心脏病,房间隔缺损,后未行手术治疗,一年前下肢出现凹陷性水肿,伴胸闷、心慌、呼吸困难,一月前患者上述症状加重,心脏彩超显示:先天性心脏病,房间隔缺损(继发孔型,左向右分流为主的双向分留)主动脉瓣二瓣化畸形(type 0型)并重度狭窄,瓣叶及瓣环钙化,主动脉窦官交界处钙化斑形成 三尖瓣重度关闭不全 。
● 主动脉根部解剖

cta分析


● 术前病例讨论
病例分析
患者诊断为巨大房间隔缺损合并重度主动脉瓣狭窄,经过TAVR团队讨论决定行一站式手术,先在局部麻醉下进行房间隔缺损封堵,再全麻下实行TAVR手术,计划使用VenusA L23瓣膜。
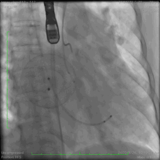
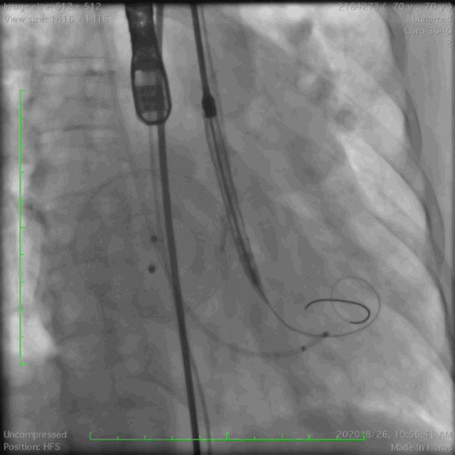
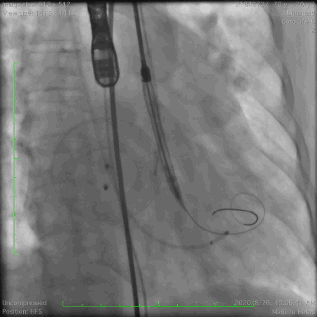
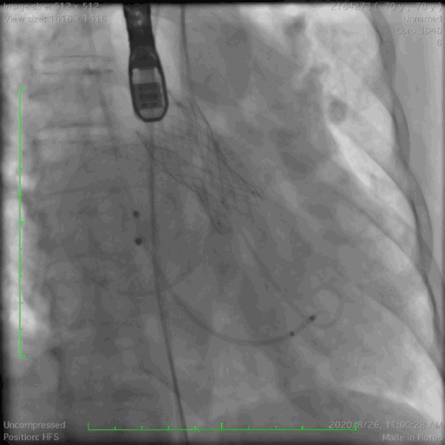
● 手术过程




主动脉根部造影

瓣膜定位




术后超声
● 总结:
作为全国难得一见一站式超大房缺封堵+TAVR手术,这一病例为患者提高了生存质量,减少双重风险。不仅体现超大封堵+TAVR的实操性,更多是体现武汉协和医院TAVR团队高超的质量水平以及丰富的质量经验。武汉协和医院TAVR团队锐意进取,团结奋进,不断向高难度、高技术含量的医疗技术发起挑战,在介入瓣膜领域不断突破,目前在湖北省处于领先地位,武汉协和医院TAVR团队将迎难而上、再接再厉,造福更多危重心脏瓣膜病患者。