近日,美敦力公司的Astra™ SureScan™植入式起搏系统,Evera MRI™,Primo™,Mirro™植入式除颤仪,5076电极(CapSureFix Novus MRI SureScan™ )正式获得国家药品监督管理局(NMPA)3T MRI全身无限制扫描的批准,将应用于中国。此前,Micra™无导线起搏器和植入式诊断系统Reveal LINQ™也获得了NMPA对其在临床应用中的3T MRI兼容批准。据此,美敦力起搏除颤和诊断全线产品获批3T MRI全身兼容,开创磁共振兼容系统3T新时代。

磁共振检查(MRI)是现代医学广泛应用的检查手段,广泛应用于肿瘤、神经、骨骼、肌肉等病变的影像检查。但是磁共振检查时强大的磁场会对起搏系统产生严重的影响,因而长期以来,磁共振检查是传统起搏器植入术后病人的绝对禁区。随着我国人口老龄化的发展,起搏器患者平均年龄在65~70岁左右,正是肿瘤、心脑血管疾病以及骨关节疾病的高发年龄,中国数据显示, 33.8%的起搏器植入患者具有 MRI 扫描的真实需求1。同时,心脏MRI检查(CMR)是MRI应用领域的新星,心脏MRI(CMR)可以一站式得从心脏形态、功能、心肌灌注或活性、血管成像等方面完整显示心脏的改变,同时其高可靠性和高空间及时间分辨率,成为快速发展的MRI检查。研究表明,心脏MRI在诊断冠状动脉性心脏病方面优于SPECT。传统起搏器在挽救病人的同时,也成为了患者接受 MRI 检查的重要障碍。为解决这一技术难题, MRI兼容起搏器应运而生。

据介绍,美敦力公司在2008年推出世界上第一台全身磁共振兼容起搏器SureScan™,在欧洲获批上市。2011年8月,中国首例全身磁共振兼容起搏器Advisa™SureScan™获得植入,彻底改变了我国心脏起搏器植入病人无法安全接受磁共振检查的历史。截至目前,我国Advisa™SureScan™全身磁共振兼容起搏器植入已经达到数万台,标志着起搏器真正进入磁共振兼容时代。

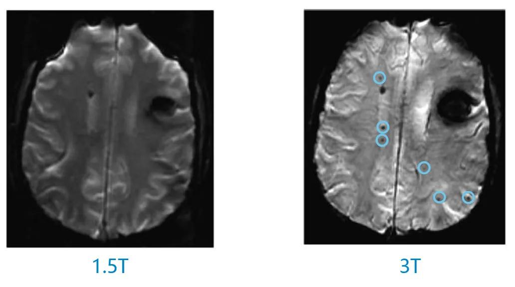
磁共振系统有1.5T和3T等不同场强。其中“T”代表特斯拉。特斯拉被定义为用于描述MRI中使用的磁体强度的测量单位。磁体是MRI(磁共振成像)中的M,该磁体是获取MRI图像的基础。磁体的强度直接影响这些图像的质量。随着MRI技术的发展和进步,与1.5T相比,3T具有扫描速度快、图像质量更清晰的特点,能够给患者带来更多临床益处,并能够在更多科研场景下进行应用。随着大型三甲医院3T MRI装机越来越多,患者也拥有了享有更优质医疗资源的机会。因此,对于3T MRI兼容起搏系统的需求也随着增长,在这一背景下,美敦力研发团队通过两百万以上测试模型验证,攻克难关,率先推出3T MRI全身兼容系统。在获得中国国家药品监督管理局(NMPA)批准前,该系列产品已经得到了欧洲CE和美国FDA认证。

家族性脑海绵状血管瘤
1.5T上无法察觉的病灶在3T上清晰可见2
据美敦力公司人士介绍,未来预计还会有一系列3T MRI全身兼容主动电极和除颤电极上市。美敦力将在1.5T MRI兼容产品的基础上,着力打造全线3T MRI兼容生态,为中国心律失常患者的有效治疗带来更多福音。
参考文献
1刘兴鹏, 田颖, 任明, et al. 我国接受心血管植入型电子器械治疗的老年患者磁共振检查的需求调查[J]. 中华心律失常学杂志, 2015, 19(4).
2.Alvarez-Linera J. Eur J Radiol. 2008;67:415-426.