浙大二院应用DragonFly™完成首例DMR二尖瓣修复手术
2020-08-14 00:26
订正声明:
因德晋医疗撰稿疏忽,导致在8月13日20:48于严道医声网公众号发布的文章《浙大二院成功完成国内首例DMR经股静脉二尖瓣瓣膜修复手术》部分信息描述不准确,特此更正。

王建安教授、刘先宝主任手术中

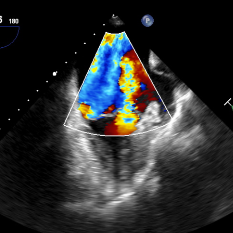
术前TEE

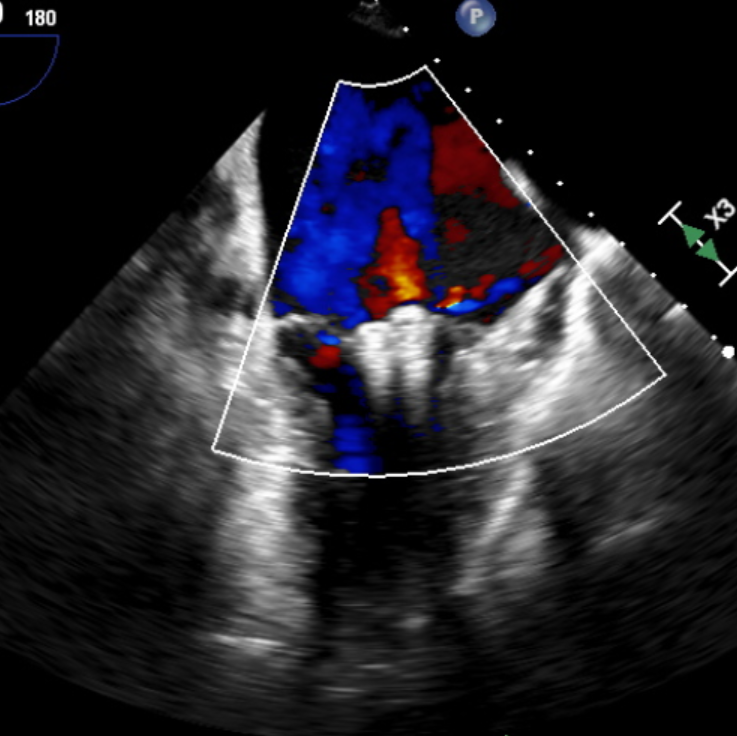
术后即刻TEE
浙江大学医学院附属第二医院王建安教授术后表示:二尖瓣反流是最为常见的心脏瓣膜病变,高龄高危二尖瓣反流患者的治疗一直是心血管领域的热点和难点。DragonFly™产品采取的经股静脉经房间隔途径,可以应用于治疗包括FMR和DMR两类二尖瓣反流。相对于二尖瓣2区脱垂,1区和3区的脱垂解剖结构更复杂、治疗难度更大。本例患者的二尖瓣脱垂区域位于P1区,应用DragonFly™产品治疗后取得了很好的手术效果,证明二尖瓣缘对缘修复术式适用于二尖瓣各个解剖区域的脱垂病变,期待未来有更多的患者受益于这项技术。