从“心”出发,为生命而创新
2020年8月1日,浙江大学医学院附属第一医院心脏团队应用MitralStitch®二尖瓣瓣膜修复系统成功为一位高龄、重度二尖瓣脱垂患者完成了经心尖二尖瓣修复手术,该手术同时为全国首例应用MitralStitch®完成的二尖瓣“缘对缘+腱索”修复手术。作为中国二尖瓣介入治疗领域的首创微创介入治疗方法,该手术在浙大一院心外科马量主任、李伟栋主任及其团队联合北京阜外医院潘湘斌主任团队的紧密协作下完成。

为耋寿患者带来生命曙光
该例患者为73岁男性患者,主因“活动后气促十余年,加重二十余天”入院,诊断为重度二尖瓣关闭不全。患者的超声心动图提示二尖瓣后叶脱垂、腱索断裂并伴有重度二尖瓣反流(4+)。经过多学科团队的全面评估和反复讨论论证,马量主任、李伟栋主任及其团队认为该患者外科开胸心脏手术风险大,经心尖MitralStitch®微创二尖瓣修复手术是该患者的最佳治疗方式。手术在患者全麻状态下进行,术中于患者肋间行3-4cm小切口,经心尖穿刺送入器械,于二尖瓣A2区和P2区分别植入人工腱索完成缘对缘修复,并于P1区完成人工腱索植入,术后即刻二尖瓣反流量由重度(4+)变为无反流(0),二尖瓣瓣膜功能即刻恢复正常。手术操作在单纯超声引导下进行,手术过程平稳顺利,仅耗时25分钟。患者术后康复顺利,第2天便可自己下床活动,出院前复查超声心动图显示二尖瓣反流量为(0+),手术效果极佳。此次手术的成功标志着MitralStitch®确证性临床研究在浙大一院正式开展。

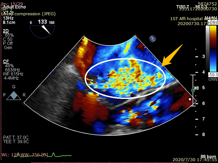
术前:大量彩色反流

术后:0反流

患者与浙一心外医护团队合影
术后浙大一院心外科马量主任对MitralStitch®的优异表现给予了高度评价,他表示“此次通过MitralStitch®一站式治疗方案,为患者同时进行了二尖瓣“缘对缘+腱索”修复,手术效果非常理想,远期效果值得期待”。MitralStitch®独特的功能设计真正做到了一套器械可行两种手术方式提供三套临床解决方案。MitralStitch®的器械设计巧妙、操作便捷、稳定性高,并且通过微创介入的方式,手术创伤小,特别适合于传统外科手术高危的二尖瓣关闭不全患者。我国每年有约80万患者因为高龄、心功能差,合并其他脏器功能障碍等原因无法耐受传统的心脏外科手术而无法得到有效救治,MitralStitch®给这些患者带来了福音和希望,填补了二尖瓣疾病治疗领域的巨大需求,给更多患者和医生提供了普惠化、一体化的解决方案。
浙大一院心脏微创瓣膜团队-开启二尖瓣反流治疗新领域
浙大一院心脏大血管外科为浙江省首批国家临床重点专科,是浙江省最大的结构性心脏病诊治中心和带头学科,2019年复旦医学学科排行榜华东地区前五。年完成心脏手术1600余例(占浙江省心脏手术比例约25%),年完成微创瓣膜手术300余台,名列全国第4。
浙大一院心外科微创瓣膜团队锐意进取,团结奋进,不断向高难度、高技术含量的医疗技术发起挑战,在微创介入瓣膜领域不断突破,自2016年成功完成了全省首例经外科主导的TA-TAVI(经心尖途径导管内主动脉瓣膜置换术)以来,开创多项全国或全省首例。目前是浙江省唯一,全国为数不多的能同时开展经心尖和经股动脉TAVI的心外微创瓣膜中心。2019年度TAVI手术量在华东地区心外科位列前3位,全国前15位。
浙大一院心脏大血管外科微创瓣膜团队将迎难而上、再接再厉,未来MitralStitch®系统将为更多患者提供安全可靠的二尖瓣瓣膜修复方案。造福更多危重心脏瓣膜病患者。