一、什么是STEMI?
STEMI,由ST段抬高型心肌梗死的英文首字母组合而成,指的是胸痛患者检查的心电图上至少有两个以上相邻导联的ST段出现弓背样抬高。有时,单凭一份心电图就可以诊断“急性心肌梗死”。急性心肌梗死是一非常高危的疾病,一旦发生需要及时救治。否则,患者就可能会发生致残甚至死亡的结局。
临床上还有一种情况,称之为“变异型心绞痛”,表现为胸痛发作时的心电图相关导联ST段抬高,多见于冠状动脉痉挛。给予血管扩张药物后症状会明显缓解,心电图上抬高的ST段也能迅速恢复。今天,咱们讨论的STEMI,不包括变异型心绞痛。
胸痛患者检查的心电图上相关导联的ST段不抬高,就可以排除急性心肌梗死吗?非也!ST段不抬高,并不能完全排除急性心肌梗死,它可能是急性非ST段抬高型心肌梗死(NSTEMI),或者是其它高危疾病,这,将会在以后的胸痛培训中述及。
下面,以2020-7-24晚上成功救治的1例胸痛为例,一起来学习什么是STEMI。

上图,源自“旬邑县胸痛救治群”的截图
主诉“间断性胸痛3天,再发1.5小时”,患者自行来旬邑县医院胸痛中心就诊。这一主诉直接引导了首诊医生郑高朋大夫的警惕:心绞痛演变成了急性心肌梗死?他立即进行了床边心电图检查,在最短的时间内获得了患者的心电图信息。

上图,微信群上传的心电图
上传到微信群的心电图提示:下壁导联ST段抬高,Q波形成。心电图诊断:急性下壁心肌梗死。
急性心肌梗死,顾名思义,指的是冠状动脉发生了急性闭塞。部分患者在胸痛发生后的30分钟内就可能会出现心电图的改变。所以,遇上胸痛的患者,首诊大夫得及时完成床边心电图检查,及时拍图上传微信群,及时启动微信会诊。这样,大家就可以及时识别出急性心肌梗死,区域协同救治就由此开始,这一点非常重要。
当然,由于胸痛发生后患者就诊时间的不同,病变血管的部位不同,不同患者心电图的表现是不完全一样的。遇上了不典型的心电图也不要紧,首诊医生只要拍照上传,提供病史,大家一起来研读心电图,一起来建言献策,这就实现了微信远程会诊。

上图,感人一幕:医务人员冒雨转移患者去导管室

上图,导管室准备就绪
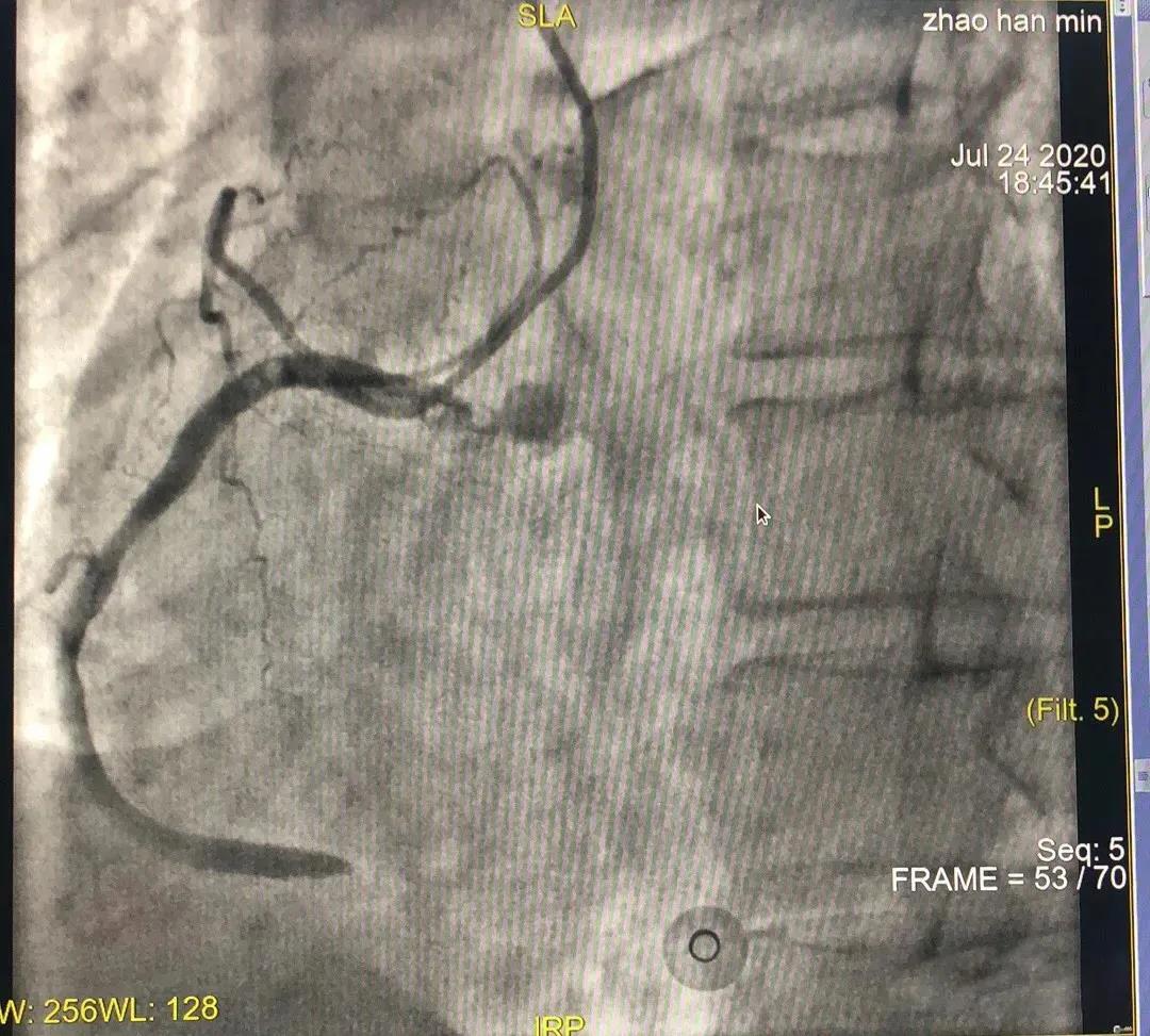
胸痛优先!确诊为STEMI的患者,需要紧急救治。患者迅速转移至导管室,很快就完成了冠状动脉造影检查:

上图:右冠状动脉造影检查,提示血管急性闭塞
冠状动脉造影检查提示:右冠状动脉急性闭塞。其下游被其供血区域的心肌发生缺血坏死;患者出现胸闷胸痛出汗,严重者甚至还会发生休克、心脏停跳以及心室颤动等;心电图也出现了相应的改变,这就是急性ST段抬高型心肌梗死(STEMI)的典型表现。
及时发现问题,还得及时解决问题。解决问题的方法就是要尽快开通闭塞的血管,恢复心肌的血液供应。接下来,心内科团队立即进行了介入治疗。

上图,从冠状动脉内抽得的血栓

上图,开通血管后的右冠状动脉,远段血管供血范围较大

上图,血管开通后的心电监护截屏
血管开通后,患者胸闷胸痛的症状迅速缓解,生命体征也趋于平稳。

上图,血管开通后即刻复查的心电图
术后复查的心电图提示:之前抬高的ST段基本回落至基线水平,提示心肌再灌注治疗的效果非常好。
二,缩短STEMI患者再灌注治疗的时间,从首诊医生开始
1、患者首诊于乡镇卫生院
高危胸痛疾病,包括急性冠状动脉综合征、主动脉夹层、张力性气胸以及肺栓塞等,需要大家及时识别,及时处置。首诊医生脑海中只要有了高危胸痛的概念,将来再遇胸痛患者,他/她就会及时主动地去完成床边心电图检查,就可以在第一时间内明确患者是不是STEMI。一旦确诊,救治就要提速。
不管你是在土桥镇,在底庙镇,还是在马栏镇卫生院工作,以后再遇胸痛或者腹痛的患者,首诊医生都得在第一时间内完成床边心电图检查,拍照上传至微信群,这样,就可以实现区域协同救治。
确诊为STEMI的患者,首诊医生要在第一时间内呼叫120联系患者转诊;做好医患沟通工作,交代病情危重,交代患者有发生猝死的风险。尤其要告知到:急性心肌梗死要就近治疗,核心治疗是心肌再灌注,推荐首选急诊手术开通堵塞的血管。
如果患方拒绝介入手术,或者存在转诊时间较长以及导管室占台等情况时,首诊医生一定要告知到患方还有静脉溶栓这一再灌注治疗策略。发病在12小时内的STEMI,无静脉溶栓禁忌的,鼓励在有条件的乡镇卫生院就地实施静脉溶栓。静脉溶栓后再转诊。
2、患者首诊于村卫生室
有的村医朋友担心:我们没有心电图机,该怎么办呢?村卫生室的朋友们,没有心电图机,您也不用担心。您如果怀疑到面前的患者可能是急性心肌梗死,建议患者不要慌张,嘱其平躺下来,给予必要的处置;立即拨打120,救护车上就可以完成心电图检查。提醒村医朋友们,遇上疑似“急性心肌梗死”的患者,考虑到患者途中的安全,一定要说服患者乘120救护车前往最近的胸痛中心就诊。
急性心肌梗死这一疾病非常凶险,发病的早期患者可能就会有休克、高度房室传导阻滞、恶性心律失常,甚至心跳呼吸骤停等风险。患者如果自行来院,途中安全得不到保障。而且,一旦发生了上述险情,患者很难自救。120救护车上备有心电图机、心脏除颤器、呼吸机,有的还备有心肌梗死标志物检测等设备。车上除了抢救设备外,还备有静脉溶栓的药物以及其它抢救药品。而且,随车人员都是熟练掌握了包括心肺复苏等急救技术的医护人员。120救护车,实际上就是一座移动的小型医院。鉴于转运途中的风险,推荐所有疑似和确诊STEMI的患者,一定要乘120救护车来胸痛中心。
3、患者呼叫120救护车来医院
胸痛患者拨打120,120要尽可能快些发车。随车人员抵达后,马上进行问诊和体格检查。生命体征不稳定的,及时给予抢救。发生心跳呼吸骤停的,及时进行心肺复苏。车上完成心电图检查,及时拍照上传微信群。微信会诊后确诊是STEMI的,救护车上嘱患者嚼服“急救一包药”。车上进行医患沟通,告知其病情危重,闭塞的血管需要尽早开通,首选急诊介入手术。患方同意手术的,立即在微信群回复,同时电话联系县医院胸痛中心。值班大夫确认后一键启动导管室。符合绕行急诊条件的,绕行急诊直达导管室。
如果患方拒绝介入手术,或者存在距离较远、交通拥堵,以及导管室占台等特殊情形时,发病12小时内的STEMI,无静脉溶栓禁忌的,推荐在120救护车上进行静脉溶栓。
4、患者自行来胸痛中心就诊
胸痛患者自行来县医院就诊时,急诊分诊人员一定要引导其去胸痛中心就诊。首诊医生要在10分钟内完成床边心电图检查,同时拍照上传至微信群;确诊是STEMI的,不需要等待心肌标志物检测的结果,安排患者嚼服“急救一包药”;交代病情危重;符合急诊手术指征的,口头沟通急诊手术事项,同时电话联系心内科急会诊。
患方拒绝介入手术,或者存在导管室占台等情况,首诊医生一定要告知到患方还有静脉溶栓这一再灌注治疗策略。发病在12小时内的STEMI,无静脉溶栓禁忌的,鼓励在急诊中心就地进行静脉溶栓。
三、缩短STEMI患者再灌注治疗的时间,从心内科会诊医生开始
患者自行来胸痛中心就诊,确诊是STEMI,沟通后患方同意介入手术方案的,为了节约时间,心内科会诊大夫可以启动微信远程会诊,有急诊手术指征的一键启动导管室,安排患者绕行CCU进行手术。遇有导管室占台或者出现其它情况不能保证及时开展急诊介入手术的,心内会诊大夫指导急诊值班医生就地进行静脉溶栓;遇有STEMI患者生命体征不稳定,需要现场急会诊的,一定要在10分钟内抵达现场指导抢救。
患者呼叫120来医院,或者乡镇卫生院呼叫120转诊患者来胸痛中心,急救人员要及时上传患者信息至微信群(包括简要病史、生命体征以及心电图等),心内科会诊大夫及时阅读微信信息,及时给予回复。确诊是STEMI,符合急诊介入手术指征的,远程指导患者在车上嚼服“急救一包药”;车上进行病情沟通和急诊介入手术沟通。患方同意手术的,一键启动导管室;导管室提前进行手术准备,努力创造绕行急诊的条件,患者直达导管室。
患者抵达导管室后,手术医生要再次评估病情,再次医患沟通,讲明疾病风险和手术利弊,落实书面沟通签字或者电话录音。特殊情况除外,反对不签字就手术。为了节约时间,可以由一位医生负责跟患方家属进行沟通和签字,其余人员积极准备手术。千万不要因为沟通时间太长从而耽误了抢救和治疗的时间。
确诊是STEMI,鼓励先手术后付费:推荐由会诊大夫电话至住院处,获得患者的住院号。手术间隙安排患方家属去完善住院手续。这一点,相当重要。千万不要因为没有人办理住院手续就不手术;千万不要因为患者没有带钱就不办住院;千万不要因为久等住院手续而没有及时送患者去导管室;更不要因为等钱住院才办理住院手续。
患者独自一人自行来院,确诊为STEMI的,术前签字可以由患者本人完成。及时电话联系患者家属,做好电话录音。千万不要因为久等家属到来,或者因为电话沟通时间太长,浪费掉宝贵的救命时间。
患者一人自行来院,发生了室颤致心跳呼吸骤停,复苏后患者神志不清,确诊是STEMI需要急诊手术,但是,患者无法自行履行手术签字的,电话请示医院医务科领导或业务院长,同时积极联系患方家属,可以先组织抢救和急诊手术。千万不能因为家属不在,因为无人签字,或者因为久等患方家属,耽误了宝贵的救治时间。
为了保证120急救系统、急诊中心以及导管室工作的无缝衔接,心内科会诊医生务必保持24小时手机开机,保持手机信号通畅;时刻关注微信群的动态信息,及时回复微信群的信息;时刻关注导管室运行的状态,实时掌握手术团队的手术应急保障能力。
四,缩短STEMI患者再灌注治疗的时间,从全民科普开始

上图,心肌梗死宣传语
急性心肌梗死发病的直接原因是因为供应心脏本身的血管(冠状动脉)发生了急性闭塞,心肌发生了坏死。如果不及时开通血管,恢复心肌的血液供应,患者将会非常危险,有的甚至还会丧命。所以,开通血管非常关键。无论是选择急诊介入手术,还是选择静脉溶栓,时间都是最最重要的,当然要越快越好。发病后立即就诊,呼叫120前来就诊,不要舍近求远,一定要看急诊,倾听医生的建议等,期待群里的微友们经常去给身边的群众讲。大众科普,全民科普,平时科普到位了,患者治疗的依从性也就提高了。以后一旦面临急性心肌梗死,患者就会及时就诊,就会就近就诊。确诊是STEMI的,患方就可以从速接受再灌注治疗方案。时间就是心肌,时间就是生命。宝贵的救命时间,要分秒必争啊。

上图,李煜诗词欣赏
本文内容来自《旬邑县胸痛救治群》培训内容记录整理