2020年7月29日上午09:00,CHINA VALVE(HANGZHOU)的第五日,在1号演播厅正在进行的Global Live Demo环节,由复旦大学附属中山医院葛均波院士团队应用上海捍宇医疗科技有限公司研发的经心尖二尖瓣夹合器系统(ValveClamp)成功为一位高难度、极重度二尖瓣反流高龄患者植入2枚夹合器,该例手术是Valve Clamp第二次采用双夹植入术式,术后即刻反流完全消失。
此次手术的成功,显示了Valve Clamp强大的手术效果及优越的器械性能,再次证实了Valve Clamp对病变解剖挑战较大的患者同样能实现理想的治疗效果。

葛均波院士团队手术演示中
本例患者是一名70岁男性,术前超声心动图显示二尖瓣后叶冗长(前叶长度26mm,后叶长度20mm),瓣环前后径32mm,后叶p2关闭脱垂、连枷(脱垂宽度16mm,反流面积23.5cm2)。如此广泛的脱垂,使用国外同类产品完成经导管二尖瓣修复也是有极大挑战,经葛均波院士团队评估,多学科充分讨论后决定为该患者实施Valve Clamp二尖瓣夹合术。


手术由心内科周达新教授、潘文志副主任医师、心外科魏来教授、超声心动图室潘翠珍教授、李伟主治医师共同完成。
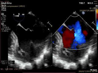
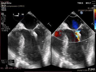
首先在食道超声引导下,植入1枚IIIs型二尖瓣夹合器,释放后显示二尖瓣后叶仍有脱垂连枷,反流为轻中度,为改善患者远期疗效,遂再次植入1枚IIs型二尖瓣夹合器于A2P2的后瓣残余分流处,复查超声显示二尖瓣反流完全消失(0级),整个手术切口出血量几乎为零,手术取得圆满成功。


CHINA VALVE(HANGZHOU)线上主持人包括国外著名的瓣膜专家Scott Lim及Hasan JILAIHAWI均为首次观看Valve Clamp手术演示,他们对该器械性能及手术印象深刻,手术结果令人赞叹!

导管室与线上多位主持专家连线互动
Valve Clamp是我国自主研发的首个进入上市前临床试验的二尖瓣微创介入治疗器械,其手术是一种“在跳动的心脏上”完成的超微创手术,该手术具有创伤小,无需心脏停跳及体外循环等特点,故安全性更高,尤其适合于无法耐受传统外科手术的老年患者。
目前Valve Clamp已在复旦大学附属中山医院、浙江大学医学院附属第二医院、中国医学科学院阜外医院、广东省人民医院、空军军医大学西京医院、四川大学华西医院、武汉亚洲心脏病医院、首都医科大学附属北京安贞医院、华中科技大学同济医学院附属协和医院、北京大学第一医院等国内十余家权威的心脏中心开展。
我们期待更多的二尖瓣疾病患者可以接受此项微创治疗。
(供稿:复旦大学附属中山医院 周达新、潘文志)