自2020年6月16日北京阜外医院正式开展首例及第2例FIM入组后,北京安贞医院和上海长海医院分别于6月30日和7月1日也成功完成首例入组。2020年7月12日,由海军军医大学附属上海长海医院心血管外科徐志云、陆方林团队连续成功完成LuX-Valve®经导管三尖瓣置换系统多中心临床研究2例入组。继而三尖瓣介入治疗临床研究也在各中心全面铺开,为患者重启“生命之门”。

陆方林教授团队手术操作中
第一例患者为73岁女性,25年前接受了“二尖瓣机械瓣置换术+三尖瓣成形术”,3年前出现活动后胸闷气促、头晕和双下肢水肿等症状,并逐渐加重。由于患者还伴有房颤等多种合并症,求治多家医院,都被告知风险太大,无法手术治疗。最终患者和家属慕名来到上海长海医院心脏外科。
长海医院心外科徐志云、陆方林团队综合该患者CT、超声检查结果,对该患者的情况进行了充分的评估和讨论,决定采用LuX-Valve®瓣膜系统对患者进行微创治疗。手术于7月12日上午在长海医院导管室进行。根据术前CT的测量结果,选择使用JS/TTVI-30-55型号的LuX-Valve®瓣膜。只需在患者右侧第五肋间开一个小孔,经右心房穿刺,在心脏不停跳的情况下,用导管将介入瓣送入右心室,反复调整瓣膜位置,最终超声确认无瓣周漏后对瓣膜进行锚定。术后超声和造影显示瓣膜位置良好,无明显反流。

瓣膜植入前右心室造影

瓣膜植入后右心室造影
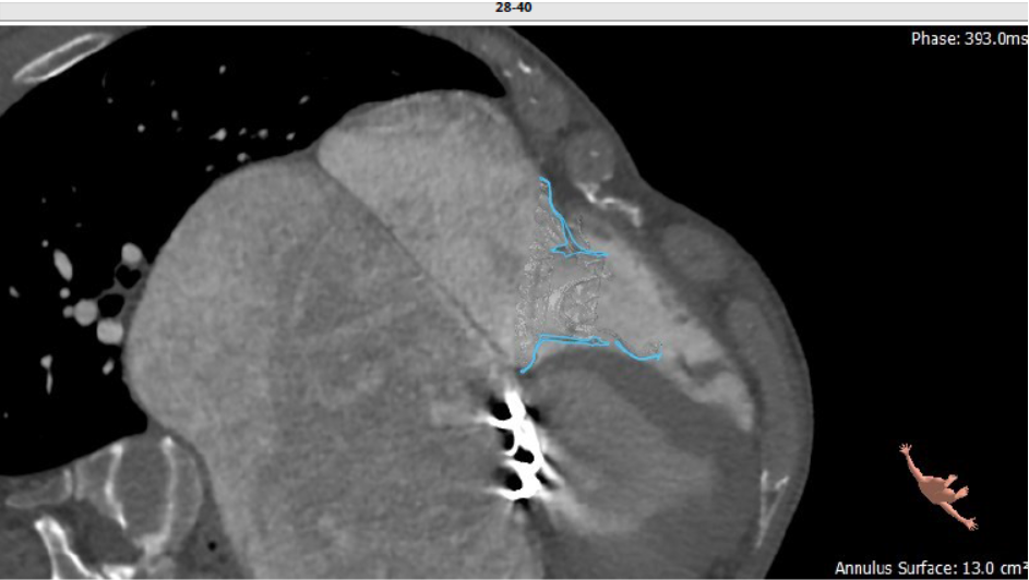
第二例患者为56岁男性,25年前接受了“主动脉瓣+二尖瓣机械瓣置换术”,约18年前出现三尖瓣关闭不全,近年来复查彩超示三尖瓣反流逐渐加重伴轻微黄疸、双下肢水肿,虽长期服用利尿剂治疗,但效果越来越差。长海医院心外科徐志云、陆方林团队综合该患者CT、超声检查结果,对该患者的情况进行了充分的评估和讨论,决定采用LuX-Valve®瓣膜系统对患者进行微创治疗。手术于7月12日下午进行,由于病人左心房扩大压迫右心房,心室游离壁距离瓣环中心仅29.8mm,再加上室间隔与瓣环夹角过大,手术操作有一定难度,瓣膜锚定也需要相当的经验。




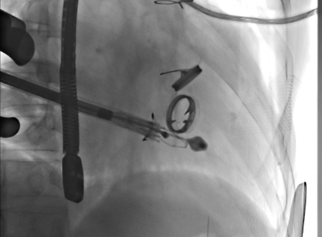
根据术前CT的测量结果,选择使用JS/TTVI-28-40型号的LuX-Valve®瓣膜。陆方林教授用导管顺利将介入瓣送入右心室,过三尖瓣瓣环到达右心室,精准地控制着输送系统,最终和超声确认无瓣周漏后对瓣膜进行锚定,术后超声和造影显示瓣膜位置良好,几乎无反流。

瓣膜释放过程中

瓣膜植入前右心室造影

瓣膜植入术后右心室造影
这两例患者回到监护室后,当天均拔除了气管插管,恢复良好。充分体现了上海长海医院心外科徐志云、陆方林团队的技术与高精实力,团队协作娴熟默契,瓣膜植入过程不到10分钟,手术获得圆满成功。
LuX-Valve®经导管三尖瓣置换系统简介

LuX-Valve®经导管三尖瓣置换系统是海军军医大学附属长海医院心外科徐志云、陆方林团队与健世科技共同研发、拥有完全自主知识产权的第一款经导管介入三尖瓣置换装置,主要用于重度三尖瓣关闭不全、经临床评估为不适合外科手术的高风险患者,其设计理念和关键技术在国际上均处于领先地位。就目前临床试验研究现在一共完成8例,中国医学科学院阜外医院3例,首都医科大学附属北京安贞医院1例,海军军医大学第一附属医院上海长海医院4例。极大地推动了我国瓣膜置换技术领域的长足发展。对于手术结果和技术普及有着积极意义,为广大重度三尖瓣患者带来福音!