日前,中国首例治疗心衰的心房分流器植入术患者在武汉协和医院完成了术后3个月的随访检查,取得了良好的治疗效果。该项技术由中华医学会胸心外科分会心衰专业委员会主任委员董念国教授、中国医师协会心血管内科医师分会结构性心脏病专业委员会主任委员吴永健教授、中国医师协会心力衰竭专业委员会主任委员张健教授联合牵头实施,该项研究已进入FIM研究阶段,牵头单位武汉协和医院及阜外医院目前已成功入组7例慢性心衰患者。该器械由医生团队及工程师共同主导研发、武汉唯柯医疗科技有限公司承担生产,具有完全自主知识产权。
2016ESC根据左室射血分数(LVEF)进行心衰分类,LVEF≥50%定义为射血分数保留的心衰(HFpEF),LVEF<40%为射血分数降低的心衰(HFrEF),LVEF40-49%为射血分数中间状态的心衰(HFmrEF),不同于HFmEF到HFrEF的治疗,目前HFpEF没有一种药物证实能够降低死亡率,并且HFpEF和HFrEF有相似的死亡率,因此,寻找一种器械治疗HFpEF成为临床上一中新的思路。2014年开始多种无源植入的心房分流器用于临床,在治疗HFpEF方面取得了理想的临床效果,包括Corvia Medical的IASD、V-Wave Ltd.的V-Wave和Occlutech的AFR等。中国尚无该类植入器械的研究,本例是中国自主研发的D-Shant心房分流器临床应用近期疗效的首次报道。
68岁女性,二尖瓣机械瓣置换+左心房折叠术后13年,7年前无诱因出现气喘、胸闷、头昏等症状,在当地医院诊断“心力衰竭”,一直规范抗心衰药物治疗,近几年逐渐消瘦,3个月前上症加重并纳差,进食后及呕吐,不能睡眠。心脏彩超提示:左室舒张功能减低(III级,限制性充盈障碍),二尖瓣置换术后瓣膜功能良好、巨大左房伴血流淤滞、三尖瓣重度关闭不全,二尖瓣E/A 1.4,E/e'>15,LVEF 74%,左心房容积1260ml,左心房直径13.9cmx16.6cmx20.4cm。查体心脏恶液质,体重35kg,极度消瘦,胸部正中陈旧性手术瘢痕,心尖搏动位于脐部左侧,全身无水肿。BNP 238pg/mL,白细胞1.97×109/L,血红蛋白99g/L,血小板109×109/L。胸片心影明显增大,心胸比1.0。CT:双侧慢支,肺气肿,双肺少量条索条片影,不排除合并肺水肿,双侧少量胸腔积液,心影明显增大,肺动脉增宽。冠状动脉粥样硬化,多发钙化斑块、轻度狭窄,钙化积分156,巨大左房(左右径20.9cm×前后径11.6cm×上下径15.4cm),血流缓慢充盈欠均。动态心电图:房性心动过速(2:1-4:1下传)与房颤交替出现,III°房室传导阻滞瓣交界性逸搏心律,双源性室性早搏(全天102个、三联律11阵次),ST-T改变。六分钟步行距离325米。堪萨斯心肌病问卷得分57.27分。心肺运动试验:峰值摄氧量(VO2max)/体重10.2ml/min/kg,百分预计值44%,无氧阈(VO2@AT)/体重 9.7ml/min/kg。头颅CT:左颞叶、右枕叶软化灶可能,双侧基底节腔隙性脑梗死。

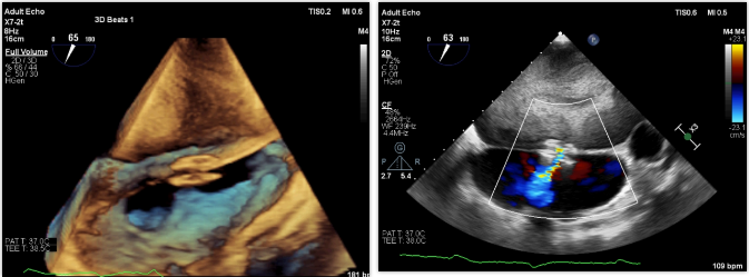
手术在全麻下进行,右心导管检查肺动脉压25/13(17)mmHg,肺小动脉楔入压22/11(15)mmHg(使用Fogarty取栓导管测量),右心房压12/6(8)mmHg,全肺阻力411dyn·s·cm-5,肺血管阻力48dyn·s·cm-5,心输出量3.3L/min,心指数2.5L/min,Qp/Qs=1。X线加食道超声引导下经皮房间隔穿刺成功后送入预塑形左房导丝(武汉唯柯医疗 伦理批件:武汉协和2020-0165号)建立轨道,选择8mm外周动脉高压球囊(波士顿科学)对房间隔进行扩张,送入9F专用输送系统(武汉唯柯医疗 伦理批件:武汉协和2020-0165号),体外充分排气后送入20-6mm心房分流器至房间隔处支撑此前球囊撕开的不规则房间隔造口,透视及超声下观察分流器形态位置良好,分流器孔径约6mm,左向右分流流速0.8m/s,三尖瓣反流减轻至中度。术后右心导管测量肺动脉压27/11(16)mmHg,左心房压15/6(9)mmHg,右心房压13/4(7)mmHg,全肺阻力234dyn·s·cm-5,肺血管阻力105dyn·s·cm-5,Qp/Qs 1.38,心输出量4.1L/min,心指数3.1L/min,顺利完成手术。
术后患者即饮食恢复,未再呕吐,活动后胸闷气喘症状几乎消失,术后一般体力活动基本不受限制。纽约心功能分级II级,三个月随访显示六分钟步行距离406米,较术前↑。堪萨斯心肌病问卷得分77.27分↑。心肺运动试验:峰值摄氧量/体重14.6ml/min/kg↑,百分预计值63%↑,无氧阈 12.5ml/min/kg↑。心脏超声检查:分流孔直径约6mm,左向右分流流速1.4m/s,左心房容积1050mL↓,三尖瓣轻-中度反流↓,流速2.7m/s。右心导管检查:测量肺动脉压28/13(27)mmHg,左心房压14/6(9)mmHg,右心房压12/3(6)mmHg,全肺阻力273dyn·s·cm-5,肺血管阻力196dyn·s·cm-5,Qp/Qs 1.32,心输出量4.3L/min,心指数3.2L/min。

HFpEF治疗一直以来是临床上的难点。HFpEF 患者往往比 HFrEF 患者年龄大,随着人口老龄化,这种疾病的患病率越来越高。我国心力衰竭(心衰)流行病学调查的最新结果显示,在我国年龄≥35岁居民中HFpEF的加权患病率为0.3%,年龄65~74岁的心衰加权患病率为1.1%,年龄≥75岁的加权患病率为1.4%,估计HFpEF人群约320万。虽然HFpEF患者整体病情、合并症可能轻于HFrEF,但住院率和死亡率相似。
非常遗憾的是针对HFpEF患者进行了几项药物临床试验均未达到其主要终点。在RAAS抑制剂方面,无论是ACE抑制剂、血管紧张素受体阻滞剂或者盐皮质激素受体拮抗剂(MRA)均未能证实改善HFpEF患者预后和降低心血管病死率。近年来植入性房间隔分流装置用于HFpEF患者治疗的多项早期研究报道显示了其良好的安全性和有效性,初步的随机对照研究结果显示该技术手术成功率高,器械及操作并发症和死亡率很低,患者活动耐量增加,NYHA心功能分级降低,运动时肺毛细血管楔压降低,死亡率、再住院率低于假手术组。因此,植入分流器治疗HFpEF是目前可行的方式之一。
本例患者严重左室舒张功能障碍导致的心力衰竭,左房极度扩大,心脏恶液质,白细胞水平低下,凝血功能紊乱,外科手术风险极大。理论上再次左心房折叠手术虽然可减少心房容积,但无法改善左心室舒张功能不全,目前的指南未建议单纯左心房折叠手术,其意义和效果也存在争议。植入心脏分流器左心房分流减压是缓解左心房压力是唯一可行的方式,即通过经皮介入微创的方式在房间隔植入一枚分流装置,在不明显减少左心排量和明显增加右心负荷的基础上降低左心房压力,从而改善心衰症状及预后。本例患者术前巨大左心房压迫周围脏器组织,通过心房分流器缓解左心房压力从而有效缓解心房对食管及胃的压迫,患者术后即开始正常饮食,并且通过减轻左心房压力缓解了肺静脉压力-降低肺小动脉楔入压力-降低肺动脉压力-降低右心室压力负荷术后肺动脉压力较术前没有明显改变,达到了预期。
术前主要研究者曾发生一场关于病理生理和解剖学的争论,主要研究者中有人提出房间隔造口后房水平左向右分流必然会增加右心室容量负荷,右心增大会进一步扩大三尖瓣瓣环,使得原本不堪重负的三尖瓣反流进一步恶化。另外的研究者认为心脏彩超没有观察到三尖瓣本身的病变,患者因为左心房高压而引起的肺动脉压力升高最终引起右心室压力负荷过重,才是产生三尖瓣反流的原因,即左心相关肺动脉高压引起的三尖瓣功能性反流。结果显示三尖瓣术后即刻反流明显减少,证实了功能性三尖瓣反流理论。
D-Shant心房分流器是镍钛合金编织的形状记忆金属器械,现有孔径分为4mm/6mm/8mm/10mm四种规格,相比国际上其他已进入临床的产品如IASD、v-wave、AFR等,其设计特点主要是器械可任意时间回收更换及结构稳定性能进一步提高,并且强化了分流器腰部支撑力,以避免腰部支撑力不足和变形出现早发或迟发分流孔闭塞。流行病学统计中国心力衰竭现患人群约有1370万,发病率达1.3%,患者活动耐量差,生存率低,往往每年需反复住院,虽然不断有新药物治疗出现,但一直以来存在依从性差、达标率低的问题,传统器械治疗价格昂贵,推广较为缓慢,多数患者病情并没有得到有效控制。老年患者可能患有需要不同药物治疗的多 种合并症棳而器械治疗可以避免药物依从性等问题。
未来这项技术有望能成为心力衰竭的一种经济、安全、有效的治疗方式,进而改变中国广大心衰患者的生存现状。