2020年7月8日下午两点,华中科技大学同济医学院附属协和医院(以下简称“武汉协和医院”)心外科董念国教授团队顺利完成一例启明医疗Venus-A瓣膜急诊植入手术。
董念国教授在前一台TAVR手术刚刚结束时接到通知,一例老年主动脉瓣重度狭窄患者循环不稳定,病情危重,需急诊手术。
患者在刚进入杂交手术室时血压低至39/29mmHg,随即呼吸心跳停止,紧急胸外按压,按压下血压最高55/40mmHg。

胸外按压下铺单
情况紧急,来不及建立体外循环,董念国教授考虑目前主要矛盾在于主动脉瓣极重度狭窄,左心室血液无法进入主动脉,循环崩溃,应该尽快打开主动脉瓣,指示先迅速穿刺进行球囊扩张打开狭窄的主动脉瓣,抢救患者生命。

按压下穿刺
手术团队迅速消毒铺单、气管插管,助手预装26mm Venus-A瓣膜,同时仅靠胸外按压产生的微弱股动脉搏动进行穿刺,穿刺成功后迅速置换大鞘。
由于持续胸外按压下病人身体晃动及视野遮挡,术者沉着冷静,在短暂的按压间歇下成功完成导丝跨瓣,置换超硬导丝后送入23mm球囊,在无辅路造影、无起搏情况下成功进行球囊扩张。
扩张后患者为电机械分离状态,再次使用肾上腺素后患者心律部分恢复,频繁出现室速室颤,继续胸外按压、反复电除颤,同时建立辅路,快速将介入瓣膜导入主动脉根部,在按压间歇一次造影定位后即快速释放瓣膜。

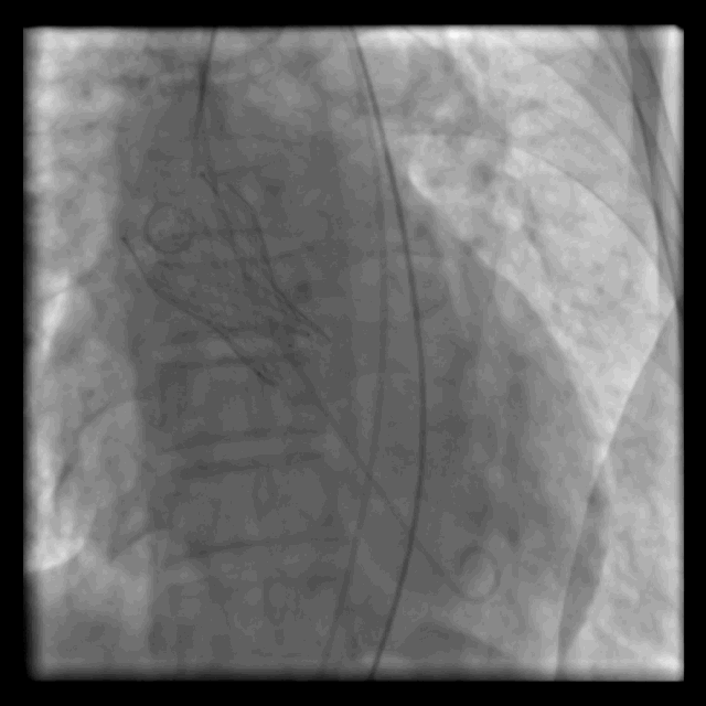
按压下观察心率血压恢复情况
释放瓣膜后患者心律恢复为窦性心律,血流动力学逐渐趋于平稳,再次造影无明显瓣周漏,跨瓣压差5mmHg,瓣膜位置理想。

心率恢复后造影
手术当晚患者清醒后脱机拔管,无神经系统定位体征,2日后顺利转出ICU,无并发症出现,目前患者已顺利出院。
如此惊险的病例充分体现了董念国教授领导的TAVR团队过硬的心理素质、良好的操作技术和强大的团队配合能力。
术后,董念国教授对于Venus-A 经导管主动脉瓣置换系统也给予了高度评价,该瓣膜设计巧妙,支架收腰可避免冠脉风险,径向支撑力强对于重度钙化病例能良好成型,最大程度上降低了支架压缩带来的瓣膜压力梯度增加,MARK点精准定位,为快速释放保驾护航,非常适合于中国人主动脉瓣狭窄的病变特点。