

心脏再同步化治疗(CRT)是改善心衰患者心功能,提高生活质量的非常重要的疗法。但是CRT手术左室电极植入也是充满了挑战,例如患者的冠状窦开口异常,或者CS开口朝下,或者静脉狭窄,又或者会遇到近端有瓣的棘手情况。近日,在广东省中医院就遇到了这么一个案例,那么陈秋雄主任所在的心律失常团队是怎么处理的呢?

疫情肆意,CRT为心衰患者温情守护
受新冠疫情肆虐影响,使得部分心衰病人就医受限,饱受煎熬。初夏时节,74岁的高龄心衰患者来到了广东省中医院就诊,今年年初,该患者在当地医院接受了心衰药物优化治疗。但是这半年以来,急性心衰反复发作,心衰症状未得到缓解。在疫情稍微好转之后,患者当即赶来广东省中医院,寻求更好地心衰治疗方案,希望可以好好治一治自己的“心病”。
患者诊断
经详细检查发现:
1.心超显示:显示左室舒张末径89MM,左室收缩末径81MM,EF值20%
2.心电图:提示窦律 LBBB QRS 210ms,I度房室传导阻滞

患者诊断小结:
扩张型心肌病、窦律 完全性左束支阻滞LBBB QRS 210MS,EF值20%
符合CRT-D疗法一类适应证。

治疗方案:
陈秋雄主任根据检查结果,和患者详细沟通后,最终选择心脏再同步(CRT-D)疗法方案,该疗法可有效缓解心衰症状,提高生活质量。2020年6月19日,陈秋雄主任带领心律失常团队为患者植入了美敦力兼容四极导线CRT-D VIVA XT Quad起搏器。

美敦力CRT-D VIVA XT Quad起搏器拥有的AdaptivCRT™生理性起搏功能,每分钟不间断地评估患者的房室传导状况,帮助心衰患者获得更好地CRT治疗效果。
手术亮点
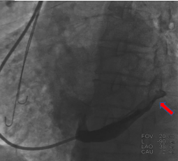
1.冠状窦开口异常如何处理?
患者冠状窦开口异常,常规利用电生理十极寻找,无法进入cs,可以利用冒烟的方式确认开口位置,也可以利用患者之前的冠脉造影像来大概确认cs开口位置。

图三 冒烟寻找确认CS开口
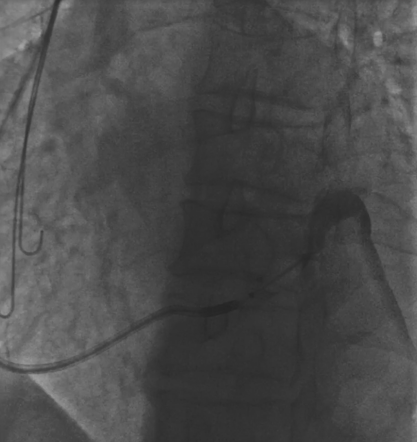
2. CS开口朝下如何解决?
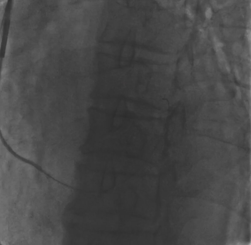
确定开口位置之后,发现CS开口朝下,首先尝试利用AL1+泥鳅导丝寻找冠状窦,反复几次均无法进入,更换AL2+泥鳅成功进入冠状窦。

图四 AL2+泥鳅进入冠状窦
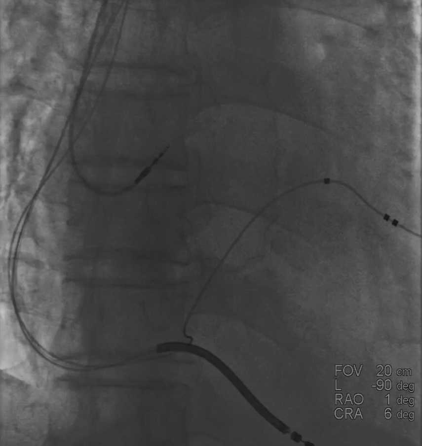
3.静脉狭窄、近端有瓣,电极如何进入?
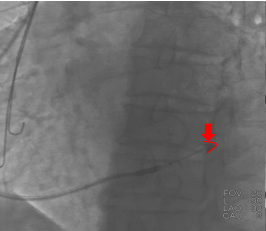
鞘管进入窦口之后冒烟显示静脉有部分狭窄,球囊造影的时候也出现阻力,造影显示近端有瓣,无法通过电极,最终利用球囊扩张,让电极顺利通过静脉瓣。


图五&六 造影发现有静脉瓣

图七 预扩球囊扩张血管
4. 可选择静脉分支少之又少怎么办?
患者静脉造影显影,可选择的分支静脉不多,后侧静脉长且粗,适合选择左室四极导线。

图八

图九 最终影像
手术亮点总结
1.如果在术中遇到患者冠状窦开口异常,无法进入CS时,可采用冒烟的方式确认开口,或冠脉造影确认CS开口位置。
2. 若患者CS开口朝下,可首先尝试AL1+泥鳅导丝寻找冠状窦,若多次尝试仍无法进入,则可更换为AL2+泥鳅导丝
3. 当遇到患者静脉狭窄、近端有瓣,可运用球囊扩张,从而使得电极顺利通过静脉瓣
4. 当患者的静脉状况不好,可用的分支静脉极少,则可考虑后侧静脉植入四级导线。
小结
本例CRTD患者是强指证患者,虽然手术过程一波多折,但最终植入的靶静脉也较为理想,患者出院前彩超也有所改善EF从20%上升至27%,症状也明显好转。CRTD是较复杂的起搏器植入手术。术前选择合适的患者以及左室电极置入理想的位置都是术后临床有效果的关键。植入手术过程应根据患者的情况作出有利于患者的最佳策略,同时选择合适的工具和方法,但也要考虑患者的耐受性,尽可能的减少手术时间。

CRT:治疗心力衰竭的有效方案
团队简介
广东省中医院大院心律失常科位于广东省中医院大德路总院26楼,以美国南加州大学医学院医疗中心心内科博士后的陈秋雄主任为学科带头人,科室主任是陈文生医生,专业从事心血管疾病的诊治,尤其是心律失常相关疾病的诊治及研究工作。我科具备完善的心律失常诊治手段,如食道电生理检查及心内电生理检查等,心脏电生理导管室引进国际上最先进的Carto和Ensite三维标测系统、CardioLad多导电生理系统、飞利浦大型C臂血管造影X线机等设备,开展心律失常的射频消融术,永久人工心脏起搏器植入术,体内自动除颤器植入术,房缺、室缺及左心耳封堵术、冠脉造影及各种冠脉介入治疗术。实行医、教、研一体化发展,构建学术水平国际化、医疗技术最优化的联合诊治和研究平台,是国家第一批房颤中心挂牌单位。
充分发挥我院传统中医、中药学的技术特色和独特优势,由全国各名老中医、被誉为“中医泰斗”的邓铁涛教授、中国科学院陈可冀院士、著名中医黄春林教授为学术带头人,以“中西医师各自专攻特长,中西医学联合诊治病人”为科室特色,为病人提供个体化、最优化的中西医治疗方案。
心律失常科设有病床24张,高级职称3人,博士研究生导师1人,主治医生1人,博士1人,硕士4人。