Axone™是一种创新的超细左室四极起搏电极导线,其直径仅有0.4毫米,是目前市场上的标准左室电极导线直径的四分之一
3个月随访结果显示出产品良好的位置固定稳定性、电参数性能及生物相容性
近日,微创®心律管理发布了其自主研发的Axone™起搏电极导线动物模型临床前研究结果,该研究结果以学术海报的形式发表在2020年美国心律学会年会(Heart Rhythm Society 2020)的电子目录中[1],该研究的第一作者是法国鲁昂大学医院的Frederic Anselme教授。

Axone ™超细左室四极起搏电极导线
目前,将左室电极导线植入冠状静脉系统的目标靶静脉中起搏左心室仍是心脏再同步化治疗(CRT)所面临的主要挑战之一。Axone™是微创®心律管理正在研发中的一种创新的超细左室四极起搏电极导线,其直径仅有0.4毫米,是目前市场上的标准左室电极导线直径的四分之一,更利于通过非常狭窄和迂曲的静脉。Axone™起搏电极导线将能够围绕左心室,并同时在多个不同位点进行起搏,达到更好的再同步效果。

Axone ™起搏电极导线植入示意图
此次动物模型临床前研究共在6条狗体内植入Axone™起搏电极导线,所有6例植入都取得了成功,3个月随访结果显示出产品良好的位置固定稳定性、电参数性能及生物相容性。

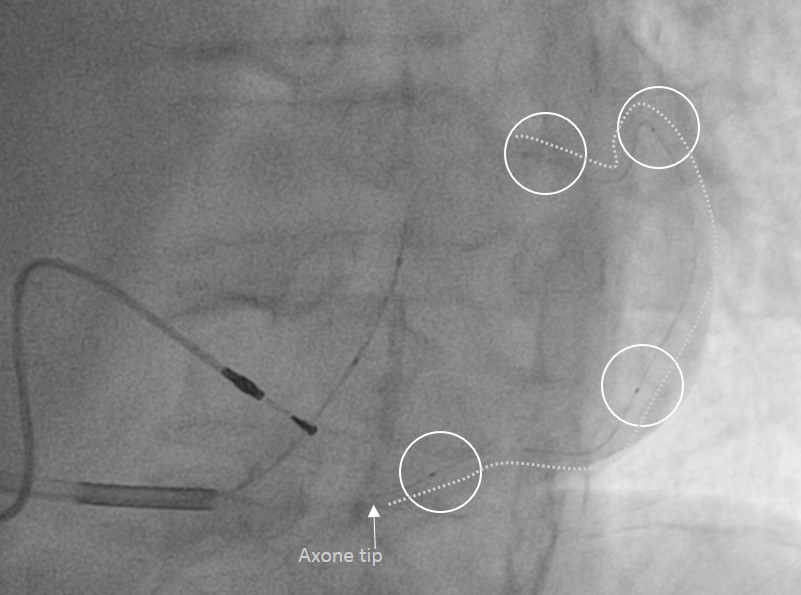
Axone ™起搏电极导线在人体内急性期性能的临床研究手术中穿过冠状静脉系统
专家点评
中华医学会心电生理和起搏分会候任主任委员、中华医学会心电生理和起搏分会心力衰竭器械治疗工作委员会主任委员、中国医学科学院阜外医院华伟教授介绍该研究到:心脏再同步疗法(CRT)是心力衰竭治疗的I类指南,能有效改善慢性心力衰竭患者的症状、提高生活质量,降低心衰住院率和全因死亡率。尽管近年来技术不断创新,但仍因为靶静脉分支不能达到,导线不能稳定固定,心肌瘢痕、左起搏位点集中、膈肌刺激、左室导线脱位等原因使得CRT植入不成功或术后无反应,制约了该疗法的进一步发展和普及。这次在美国HRS2020学术年会电子目录中一项动物实验结果中展示的Axone™左室电极导线前部直径只有1.2F,这比目前市场上在用的4-5F直径的同类导线要细70%以上,这会更容易通过狭窄和迂曲的分支静脉,达到靶静脉远端,甚至还可以通过进入交通支来更好的固定导线。且Axone™又是四极电极导线,优秀的通过性可以使得4个电极将左心室激动延迟区域整个“围绕”起来,采用多位点起搏模式激动整个延迟区域达到双室同步起搏,提高CRT反应率。我们希望尽早看到的Axone™电极导线全面、完整和长期的研究结果,并早日正式应用于真实临床,提高CRT植入成功率和术后反应率,进一步推动CRT疗法的临床发展。
目前,微创®心律管理正在进行Axone™起搏电极导线在人体内急性期性能的临床研究,并计划在今年底之前启动其长期性能的临床研究。Axone™起搏电极导线一旦成功应用于临床,将有望为心力衰竭患者提供更优化的心脏再同步化治疗解决方案。
创领心律医疗负责在中国销售微创心律管理品牌的产品。
参考资料:
[1]2020年美国心律学会年会电子目录网址:https://cslide-us.ctimeetingtech.com/hrs20/attendee/eposter/poster/417