(梅州市人民医院钟志雄教授团队)
2020年07月04日,梅州市人民医院导管室正在进行一场“惊心动魄”的手术,这是全球首例的一站三式手术:经颈动脉TAVR+TEVAR+经皮球囊主动脉缩窄血管成形术(Percutaneous ballon angioplasty of coarctation of the aorta,PBACA )。梅州市人民医院党委书记、院长兼心血管病中心主任钟志雄教授表示,这台手术可以用三个字总结:“奇”、“难”、“首”。
奇
患者71岁男性,临床诊断主动脉瓣重度狭窄,重度主动脉缩窄伴胸主动脉瘤,据查阅相关文献,未经治疗的先天性主动脉缩窄患者大多在30岁前死亡,如此高龄且重度主动脉缩窄患者尚能生存在国际国内异常罕见。
难
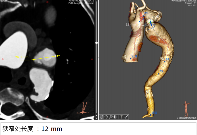
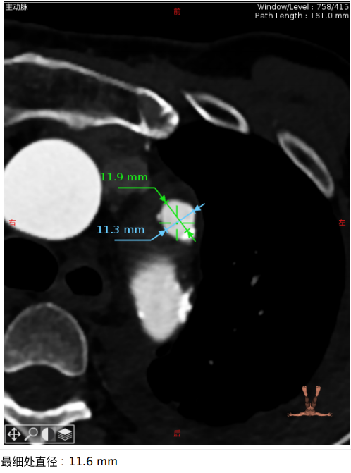
患者CT结果显示:主动脉瓣属于Type0型二叶瓣,重度狭窄并钙化,整个主动脉段非常扭曲,且在胸主动脉段有严重缩窄合并巨大主动脉瘤,双侧下肢动脉入路狭窄。同时,患者术前心脏超声提示心功能值(EF)仅17%,手术风险极高,国内外并无可供参考的手术方案和经验分享。
首
针对这位患者的特殊病情,在术前的多学科会诊中,我院结构性心脏病学组的钟炜教授首次提出“一站三式”的手术方案,即经颈动脉主动脉瓣置换术(TAVR)联合胸主动脉腔内修复术(TEVAR)联合经皮球囊主动脉缩窄血管成形术(PBACA)同步开展。
术前,梅州市人民医院心血管病中心团队在钟志雄教授带领下对术中各项风险进行了全面评估,对TAVR、TEVAR以及PBACA的先后顺序和各个步骤进行了充分探讨,确保手术安全。在整个手术过程中,结构性心脏病学组的钟炜教授团队与外周血管病学组的李存仁教授团队默契配合,凭借精湛的技术和临危不乱的气度,历经8小时,克服了种种困难,手术取得圆满成功。
患者介绍:
患者为71岁男性,临床诊断主动脉瓣重度狭窄,主动脉缩窄伴胸主动脉瘤,慢性支气管炎合并肺气肿,冠状动脉粥样硬化。
心脏超声:主动脉重度钙化并重度狭窄、轻度关闭不全,主动脉峰值流速4.57m/s,平均跨瓣压差为51mmHg,峰值跨瓣压差为84mmHg,反流面积3.3cm²,EF值:17%。
CT分析结果:


图示:瓣环、左室流出道、主动脉窦、升主动脉、窦管结合及瓣上结构部大小。






手术过程:

分离并切开右颈总动脉,植入大鞘建立通路

使用24mm球囊进行预扩张
由于患者的主动脉根部扭曲程度很大,猪尾导管无法置于无冠窦底,钟炜教授在释放时通过精准控制输送系统和适时造影,最终完美完成了瓣膜的释放。

主动脉根部扭曲程度大

猪尾很难到达主动脉根部,释放难度大

植入VitaFlow TAV 27的瓣膜,进行定位释放

瓣膜释放完成,封堵效果良好

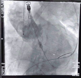
3228-200胸主动脉支架定位

胸主动脉支架释放后造影
由于患者年龄较大,主动脉严重缩窄合并主动脉瘤,主动脉结构较为脆弱,所以李存仁教授决定在胸主动脉覆膜支架植入后再对缩窄部位进行球扩。这样,已经植入的支架能够起到一定的保护作用,在支架的限制下,球囊既充分扩开了狭窄部位,又避免了过度扩张对主动脉造成的损伤。

使用球囊28mm*40mm扩张

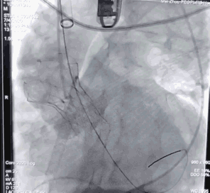
植入弹簧圈进行填充封堵内漏

“一站式”手术完成

钟炜教授团队正在行经颈动脉TAVR术

梅州市人民医院心血管病中心团队合影
本次一站式微创治疗,不仅证明了经颈动脉TAVR+TEVAR+PBACA治疗主动脉瓣狭窄合并主动脉疾病的可行性,更体现了梅州市人民医院心血管病中心团队丰富的治疗经验以及永不言弃,坚持到底的医者仁心。同时,也是梅州市人民医院一直坚持学科建设专业化所取得的又一丰硕成果。
本例手术要点:
1. 在这个年龄段,合并有如此严重的主动脉瓣狭窄、主动脉缩窄以及主动脉瘤的患者极为罕见,需要仔细制定手术方案以及考虑术中所有可能出现的状况;
2. 患者主动脉根部非常扭曲,猪尾导管很难正常放置在无冠窦底,故在TAVR手术中释放瓣膜支架时需要术者结合造影及时调整输送系统的位置,小心释放;
3. 由于患者的主动脉根部较为脆弱,故先放置了胸主动脉覆膜支架起到一定的保护作用,再使用球囊扩开缩窄位置同时避免了过度扩张可能对主动脉根部造成的损伤;
4. 由于患者的主动脉非常弯曲,且合并缩窄,本次手术使用了经颈动脉TAVR,据悉该例手术为全球首例一站三式“经颈动脉TAVR+ TEVAR+PBACA“手术。