云南省阜外心血管病医院心律失常中心
郭涛、刘可、郭金锐、 郭雨龙
随着心血管类疾病的发病率不断升高,针对与之相关的心律失常、心力衰竭疾病的治疗措施-心脏植入型电子器械(CIED)的植入数量也在不断增加。CIED植入原因包括因心动过缓植入心脏起搏器,预防心源性猝死植入的心律转复除颤器(ICD)和因治疗心力衰竭植入的三腔起搏器(CRT-心脏再同步化治疗)。在植入数量不断增加的过程中,作为CIED植入中最严重的并发症之一、相关植入物感染数量亦随之递增。CIED植入后感染是一种严重的术后并发症,明显降低治疗效果和患者的生活质量,甚至因并发的败血症、感染性心内膜炎而严重危及患者的生命。经静脉拔除电极导线(TLE)是最为有效处理CIED感染并发症的手段之一。TLE的实施的手术装置包括锁定探针、扩张鞘、旋转机械扩张鞘、准分子激光鞘、捕抓器、Byrd股静脉工作站及“眼镜蛇抓捕器”等,需根据植入后患者自身情况选择相应的器械。
TLE手术中,由于拔除电极过程有可能引起静脉撕裂、心包填塞、心脏破裂等并发症,严重时有可能导致病人死亡,手术风险非常高,是心律失常类介入手术中最高级别的一类,需要完备且非常成熟的心血管内、外科、麻醉、心脏彩超、ICU等团队作为保障,因此目前在国内,有意愿并且有能力常规开展TLE电极拔除的医院仍然非常欠缺。
云南阜外医院具备非常成熟的各类CIED植入诊疗能力,该院心律失常团队在北京总院的强力支持下,具有丰富成熟的感染电极拔除技术,更能为CIED术后患者的愈后提供了全面的保障,该院已经成功为三十多位外院转诊来的患者完成了TLE手术,其中采用准分子激光技术完成2例电极拔除,采用血管内反推力牵引技术完成10例拔除,其余患者均采用直接牵引法拔除电极。
电极感染作为经静脉电极导线拔除I类适应证主要有以下几种分类:
1、所有明确CIED感染的患者,例如累及瓣膜的心内膜炎、累及导线的心内膜炎或菌血症等。
2、所有有CIED囊袋感染证据的患者,包括囊袋脓肿、器械侵蚀、皮肤粘连、慢性窦管形成,即使临床上没有静脉内导线系统受累的证据。
3、所有累及瓣膜的心内膜炎患者,即使没有明确导线和/或器械受累的证据。
4、隐匿性革兰阳性菌血症(非污染造成)患者。
按照指南推荐,出现以上几种情况的CIED患者需要接受电极导线的拔除。但是由于电极植入之后,周围组织会不断生长,包绕电极,因此植入时间越长,组织黏连度越高,赘生物越大,电极的拔除难度也就越大。根据患者的不同情况,目前可采用以下几种方式进行电极拔除:
1.直接牵引法 :使用普通钢丝或锁定钢丝
该方法适用于电极植入时间不长,组织黏连程度较低的患者,使用的辅助耗材最少。

2020年5月,在郭涛主任的带领下,心律失常中心团队常规使用直接牵引法成功为一位反复感染的起搏器患者拔除感染电极,完整取出受感染起搏系统,并同期在对侧植入新的起搏系统。该患者为76岁女性,两年前植入起搏器,近一年反复感染,此前经历了两次清创,均未能解决感染问题,病人身体和心理上都承受着很大的痛苦。此次在云阜外团队的努力下终于成功解除病痛,目前患者已康复出院。

云南阜外医院郭金锐副主任为患者分离感染起搏系统、对创口进行消毒并清理坏死组织

郭涛主任指导郭金锐主任、郭雨龙主任拔除电极

病人术前、成功拔除电极后以及重新在对侧植入起搏系统后的X影像
2.血管内反推力牵引技术:使用锁定钢丝锁定电极,并配合机械鞘进行拔除

目前,云南阜外心血管病医院采用锁定钢丝配合Evolution机械扩张鞘的方法来拔除电极。Evolution机械扩张鞘主要通过旋转鞘管远端的不锈钢刀片,来分离电极导线沿途粘连的纤维组织,而刀片的旋转是由术者操纵鞘管近端的手柄装置来实现的。为避免头端刀片损伤血管壁,该装置还包含一个外鞘管。

Evolution机械扩张鞘
2018年4月在北京阜外医院唐闽教授带领下,心律失常团队用Evolution鞘为一位86岁女性患者成功拔出了多根感染电极。该患者97年诊断为病态窦房结综合征并植入双腔起搏器。后因起搏器电池耗竭于07和16年分别进行了起搏器更换,16年更换术后患者出现左侧术口反复有黄色脓液流出的情况,17年患者术口流脓症状未好转,于是再次接受手术将囊袋移至右侧,右侧术口恢复良好,但左侧术口依旧有流脓现象,术口愈合困难。18年患者到云南阜外医院就诊后以起搏系统残留导线慢性感染收治入院,决定进行感染电极拔除,彻底根除感染源。

A、B为拔除心房电极X影像,C为拔除心室电极X影像

电极拔除手术中用到的锁定探针及Evolution鞘

北京阜外医院唐闽主任和云南阜外医院刘可医师为患者拔除感染废弃电极
3.准分子激光拔除技术:用于电极植入时间长,组织黏连程度高的电极拔除
1994年Charles L. Byrd 教授首次应用准分子激光鞘拔除起搏电极导线。1998年 Kennergren1教授首次报道了相关准分子激光鞘拔除起搏电极导线的临床经验。经过多年的发展,准分子激光鞘在国外已经广泛应用,并在临床上取得了良好的治疗效果。在准分子激光脉冲发射下,电极和其外周包裹的黏连组织、沿途血管游离开来,该技术可显著降低拔除术对心肌及外周组织的损伤,大大缩短手术时间。2015年准分子激光鞘电极拔除系统进入中国,最先在北京大学人民医院应用。

准分子激光鞘

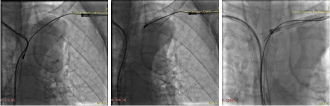
北京阜外医院唐闽教授和云南阜外医院刘可医师使用激光鞘鞘为患者拔除电极
2020年1月云南阜外心血管病医院收治一名60余岁的女性患者,该患者2011年因“病态窦房结综合征”植入起搏器,因数月前出现起搏器囊袋反复感染,需拔除整个起搏系统,术中发现植入的起搏电极和静脉粘为一体,北京阜外医院唐闽教授通过特有的钢丝锁定系统固定电极,准分子激光鞘缓慢通过狭窄的血管,到达电极和组织的粘连处,利用激光独特的光化学、光热学及机械能的销蚀作用,使电极与心肌组织分离,便成功将固定了近10余年的起搏器电极取出、成功分离了长约2cm的粘连组织,顺利拔除电极。整个手术过程不到2小时,拔除每根电极时间不到30秒,且无并发症发生。
本台手术为云南阜外心血管病医院首次使用准分子激光鞘电极拔除系统为患者拔除电极,也是西南地区首例,标志着经静脉激光鞘电极导线拔除这一新技术在我国西南地区正式落地。目前云阜外成为西南地区首家具有准分子激光鞘电极拔除系统的医院。
4.下腔静脉通路回收电极:导线脱落于心腔内或经上腔拔除困难的病例,尤其适用于电极导线损坏,无法进入锁定钢丝的患者。
如果电极导线在上腔静脉拔除当中发生断裂,将导致无法继续通过中心腔送入锁定钢丝;电极导线脱位后打结,也无法通过传统的上腔静脉途径捕捉、回收导线,旋转机械鞘及激光鞘也无用武之地。下腔回收装置如捕抓器、Byrd股静脉工作站、“眼镜蛇抓捕器”等不依赖于锁定钢丝,在上述情况下依然可以快速且成功地拔除电极。

下腔途径抓捕拔除电极
医院介绍
云南省阜外心血管病医院(以下简称医院)是2013年在国家卫生健康委主导下,由云南省人民政府与中国医学科学院阜外医院合作共建的三级甲等心血管病专科公立医院,是云南省卫生健康委直属的公益二类事业单位,中国红十字会冠名医院,昆明医科大学附属心血管病医院。
心律失常中心是内科系统成立最早的诊疗中心之一,也是省内心律失常领域唯一的专门研究机构和临床诊疗中心。心律失常中心专家团队由北京阜外医院派驻的专家及省内知名专家组成,共有主任医师(教授)2名,副主任医师2名,主治医师1名,获博士学位者4名,其余均为硕士学位。心律失常中心拥有大量先进的医疗设备,目前开设2个病区(一、二病区)。
中心全体成员在我院领导及北京阜外医院心律失常中心的大力支持下陆续开展各种心律失常的导管消融治疗及心脏起搏治疗。在心脏起搏治疗方面,除了单腔、双腔起搏器植入手术外,还涵盖了高端起搏器包括CRT-D及ICD植入手术等。在射频消融方面,涵盖了室上速、室早、房扑、房颤等各种类型心律失常的导管消融手术,其中也不乏一些疑难复杂心律失常病例及外院术后复发病例。心律失常中心专家曾为1例不满一岁的先天性房室传导阻滞患儿成功的植入心脏起搏器,其年龄之小已达省内之最。心律失常中心对心律失常治疗能力,在省内达到领先地位水平。
在教学和科研方面,心律失常中心承担了多项国家级、省级研究项目,同时也是硕士、博士培养点。在多个国内及国际学术期刊上发表多篇有较大影响的论文。此外,心律失常中心一直致力于开展各种学术会议及培训班,为全省心血管事业发展提供平台,以提升全省的心血疾病诊疗能力。
心律失常中心坚持始终以最新技术为广大患者提供最优质的服务。为了满足广大患者的需要,我中心开设心律失常专科门诊和起搏器随访门诊。
心律失常中心的诊疗范围:
1.各种类型心律失常及晕厥的诊断和治疗;
2.射频消融及冷冻消融治疗各种心律失常,包括室上速、室早、室速、房扑、房颤等;
3.心脏起搏器治疗,包括单腔/双腔起搏植入治疗心动过缓,CCM及CRT治疗心力衰竭,植入ICD预防猝死等;
4.射频消融治疗血管迷走性晕厥;
5.各种心脏起搏器的术后随访;
6.左心耳封堵术,为血栓高危的心房颤动患者预防脑中风提供新的治疗选择;
7.各种起搏器感染的治疗及电极导线拔除手术。