二尖瓣反流(Mitral Regurgitation,MR)是最常见的心脏瓣膜疾病,以往MR治疗最有效的手段是心外科二尖瓣修复或置换手术,但因为心功能差、高龄、合并症多等高危因素而无法耐受手术,很多重度患者未得到有效治疗。当前国际上微创二尖瓣介入治疗技术方兴未艾,这方面产品国内目前尚属起步阶段。
二尖瓣介入治疗分为介入修复和介入置换两大类。目前二尖瓣介入修复产品已经有MitraClip,Cardioband和NeoChord等产品在国外上市,但二尖瓣介入置换技术的研制难度远高于介入修复器械。
2018年11月,在中国医学科学院阜外医院胡盛寿院士领导下,由潘湘斌教授团队在云南阜外医院成功完成了第一例经导管二尖瓣MitraFix®系统临床植入手术并在中国胸心血管外科临床杂志报道。
2019年6月,潘湘斌教授团队又在全超声引导下完成了MitraFix®的首次FIM研究。患者术后恢复情况良好,已完成1、3个月和6个月术后随访。
阜外医院结构性心脏病中心潘湘斌教授介绍,MitraFix®二尖瓣介入置换系统由阜外医院和上海以心医疗器械有限公司联合研发,是全球首个 “全超声引导”的经导管二尖瓣置换产品,其临床植入获得成功,标志着 “无放射线结构性心脏病介入治疗技术”又在世界范围内完成了一个具有里程碑意义的全球首创术式,是中国原创器械在经导管二尖瓣置换领域的重大突破。其研究报道已经被JACC: CARDIOVASCULAR INTERVENTIONS在线刊发。这也是中国医疗团队首次在国际顶级医学专业期刊报道由中国原创的介入二尖瓣置换产品。
MitraFix®瓣膜的支架采用独特的单框架结构,有利于减少对左室流出道的影响。MitraFix®瓣膜采用牛心包瓣叶,其独有的镍钛合金框架设计将固定和防漏功能合二为一,有利于减小瓣膜压握后的尺寸和柔顺性。瓣膜依靠心室侧的两排共12个锚定爪与心房侧的D型伞状结构共同作用以达到稳固的锚定效果。这个设计同时也使得其压握后的直径小于其他同类产品。
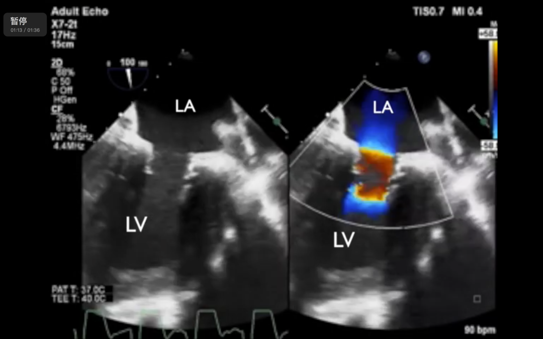
MitraFix®的输送系统中内置了2个标示旋转方向和进入深度的超声标记,可以在超声影像中清晰地显示出与瓣环的相互位置关系。整个释放过程无需精确捕捉瓣叶或瓣下结构,因而对操作和定位精度的宽容度较大,这也是该产品只需依靠超声影像引导即可完成植入过程的主要原因。
潘湘斌教授指出,MitraFix®是能够以同一个瓣膜同时适用于经心尖和经股静脉输送系统的二尖瓣介入置换产品。其输送系统拥有独一无二的全超声引导设计,使得产品仅需要超声影像引导就可以完成植入定位,在超声下可以实时监测瓣膜状态,操作简便,学习曲线短。
同时,由于其使用全超声引导,可以减少对于杂交手术室的依赖,并减少对医生和患者的放射线损伤。大量临床患者可以无需转诊到大型医院,在市级医院即可得到及时有效的治疗,也使更多的医疗团队能为广大患者提供服务。



