2020年06月02日,浙江大学医学院附属第二医院王建安书记、心内科副主任刘先宝教授及其团队在各科室的通力协作下,应用“杭州方案”的创新技术成功完成一例Type0型二叶式主动脉瓣重度狭窄伴严度钙化患者TAVR手术,为患者重启“生命之门”。

中国主动脉瓣狭窄患者的主动脉瓣二叶畸形(BAV)比例高于西方国家,而且往往合并严重钙化。BAV主动脉瓣狭窄,因具有不均匀且重度钙化、多种瓣叶形态、主动脉根部存在较大角度、合并升主动脉病变等解剖难点,一直以来是经导管主动脉瓣置换术(TAVR)治疗的一大严峻挑战。浙江大学医学院附属第二医院王建安书记及其团队积极探索BAV治疗经验,所提出的“杭州方案”创新技术,根据球囊腰征评估瓣环上结构,依据瓣环上结构选择瓣膜尺寸,适度高位释放,有更少的瓣周漏,更低的起搏器植入率,对突破中国TAVR手术的治疗难题有着重要的意义,更为BAV主动脉瓣狭窄的患者重注生命新动力。
术前评估
患者为76岁男性,主因“半年内反复晕厥四次”入院。
心脏彩超
主动脉瓣重度狭窄伴轻度关闭不全,主动脉瓣PGmean:46mmHg,Vmax:4.72m/s,瓣口面积0.88 cm²,LVEF: 62.6%,二尖瓣少量返流,三尖瓣少量返流。
主动脉根部CTA

术前CT
Type0型二叶式主动脉瓣,重度钙化(HU850:968),钙化非对称性分布。瓣环周长82.7mm,周长径26.3mm,升主动脉平均直径44.3mm,窦管结合部平均直径36.9mm,左室流出道平均直径25.3mm,左冠开口15.6mm,右冠开口16.7mm。
手术过程

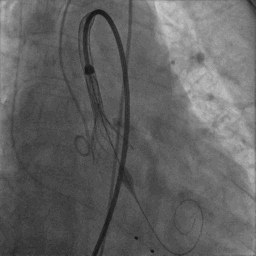
根据“杭州方案”,选择23mm NUMED球囊进行预扩,充分扩张后可见轻微腰征,无明显冠脉阻挡。依此瓣环上结构选择TaurusElite™ AV26主动脉瓣进行植入。


TaurusElite™可回收输送系统平稳柔顺的完成过弓、跨瓣并到位。


首次释放时,受自身瓣叶挤压,人工瓣膜略有下滑,造影后有轻中度瓣周漏,后对人工瓣膜进行回收。


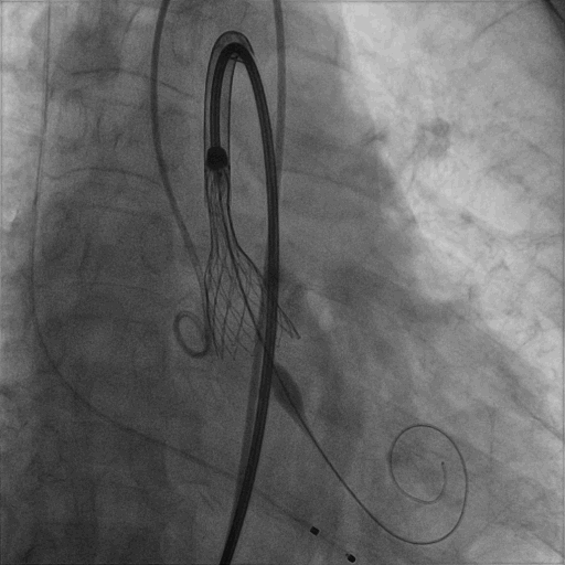
部分回收后,对人工瓣膜重新定位并释放,位置理想且基本与瓣环齐平。

术后即刻TTE显示
主动脉瓣少量瓣周漏,PGmean:7 mmHg,Vmax:1.97m/s,瓣口面积:1.9mm²,LVEF:70.8% 。
本例手术充分体现浙江大学医学院附属第二医院心脏瓣膜中心的精湛技术与高精实力,团队协作娴熟默契,瓣膜植入过程不到10分钟,手术获得圆满成功。再次印证“杭州方案”对二叶式主动脉瓣狭窄TAVR手术是安全且有效的治疗策略。术后王建安书记对TaurusElite™经导管主动脉瓣系统的瓣膜平衡的综合表现及可回收性能给予高度评价。
TaurusElite™经导管主动脉瓣系统简介

TaurusElite™经导管主动脉瓣系统正在进行上市前多中心临床试验。该产品保持TaurusOne®瓣膜的原有设计,通过对输送器结构的创新性设计,进一步改进输送系统的过弓和跨瓣的表现,同时实现瓣膜释放的可回收功能,再次定位重新释放,以期最大程度的解决TAVR手术中“定位难”的问题及满足TAVR手术中对于精准释放方面的需求,对于手术结果和技术普及有着积极意义。
TaurusElite™经导管主动脉瓣系统对于股动脉入路条件相对不理想的患者,通过系统自带的内联导管鞘,减小创口面积以及外周血管并发症。