南方CTO青年·实战课堂 | 心预见 看造影——第六期病例造影
2020-06-03 10:29

“聚未来 伴成长——南方CTO青年联合美敦力面向全国CTO介入医生,推出CTO青年·实战课堂,系列课程推广后获得了网友纷纷点赞。第六期课程:陈竹君教授:LAD开口CTO经典病例讨论将于6月3日本周三上线,本期病例又有哪些亮点呢?”
◆◆◆
主讲专家:

◆◆◆
● 病例资料
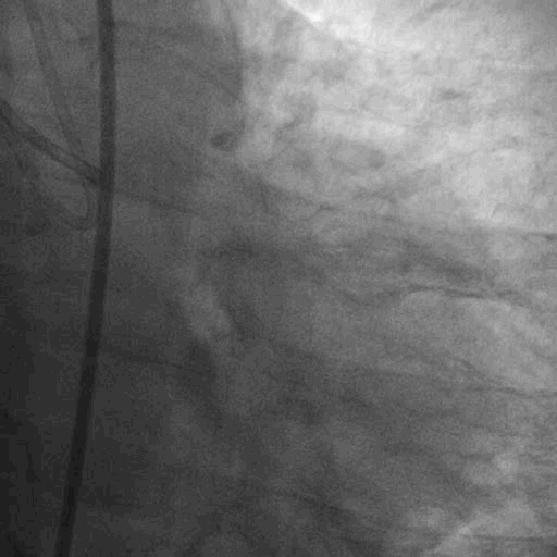
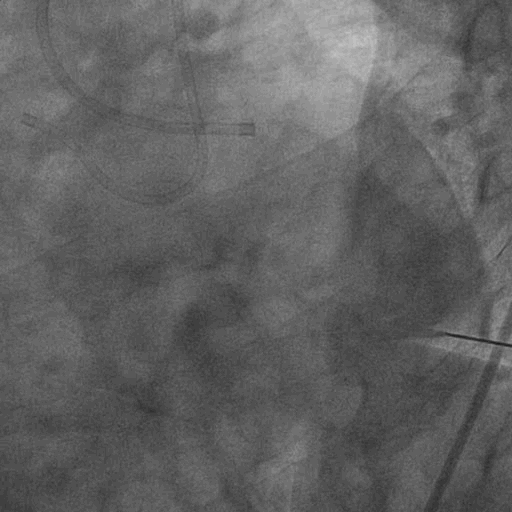
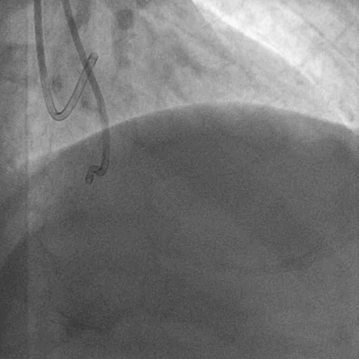
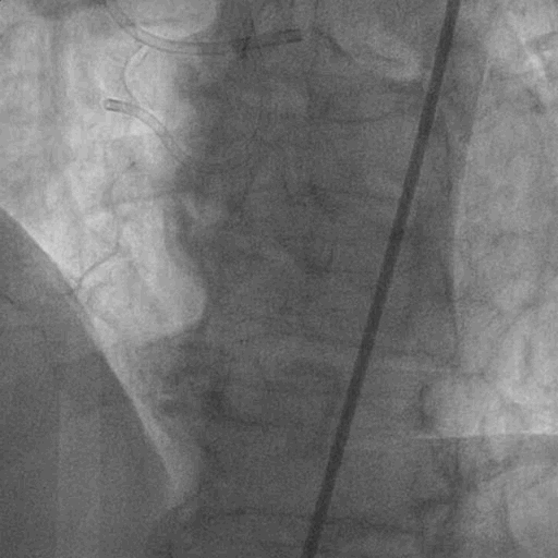
心预见·看造影
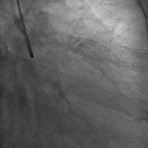
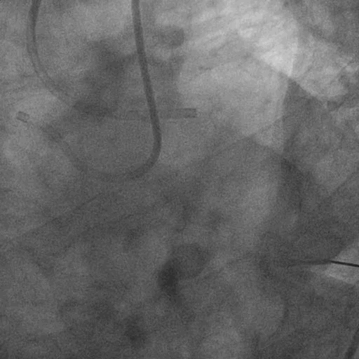
CASE 1
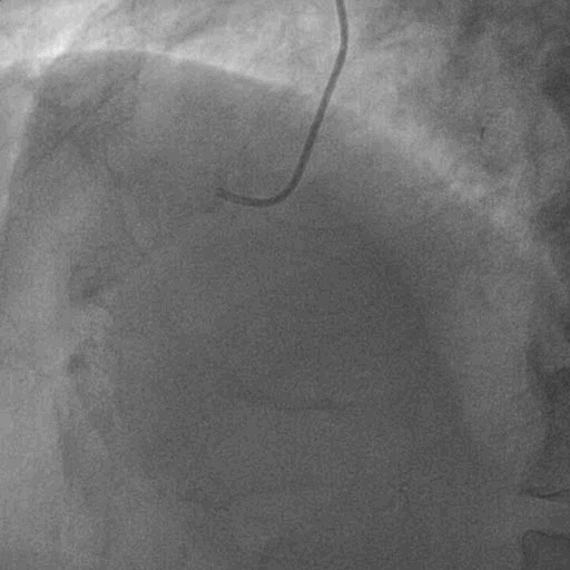
术前造影:


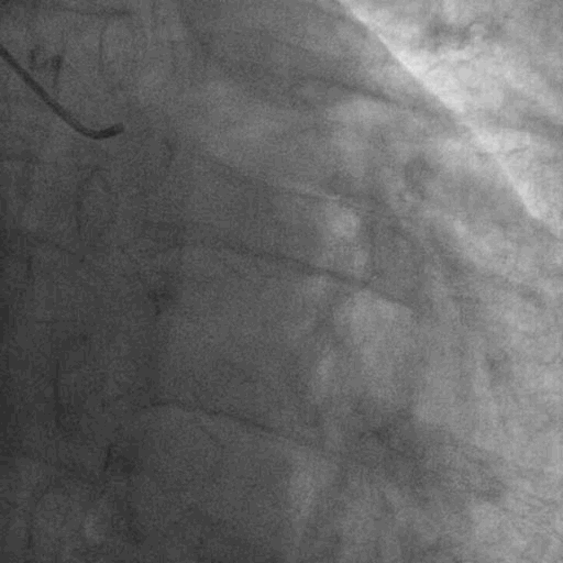
双侧造影:


CASE 2
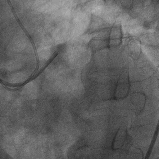
左冠造影:



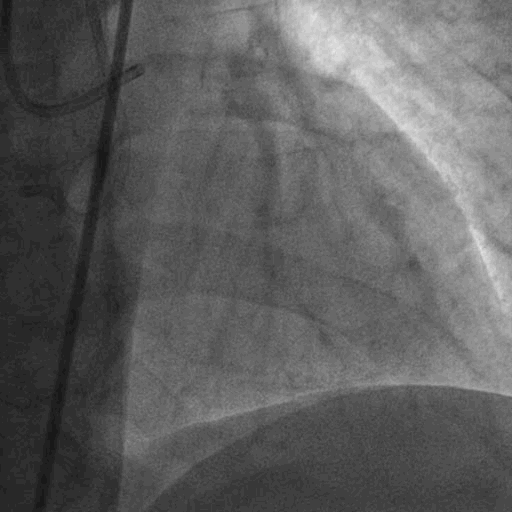
右冠造影:


双侧造影:


● 思考
1.导丝和微导管的选择方法
2.正逆向尝试失败之后,还有什么其他技术选择?
课程上线时间:6月3日本周三 19:00

定制课堂,深度教学
为南方CTO青年·实战课堂而生