药物涂层球囊(DCB)的临床应用,让“介入无置入”理念照进现实。
RESTORE ISR China和RESTORE SVD China系列研究结果为全新一代药物涂层球囊RESTORE DCB在支架内再狭窄和小血管病变中的应用提供了有力的证据支持。也因此,国内越来越多心血管介入医师对于RESTORE DCB在冠脉病变介入治疗的疗效和安全性越来越有信心。
2020年1月,北京医院孙福成教授团队完成一例具有代表性的RESTORE DCB治疗支架内再狭窄的病例。术后,孙福成教授和大家分享了RESTORE DCB的临床应用体会。
No.1
更好的通过性,为我们提供更有力的“利器“
孙福成教授所在的北京医院自2015年开始在临床中使用DCB,五年多的时间里,积累了上千例DCB介入治疗的经验。新一代药物涂层球囊RESTORE DCB在国内上市后,孙福成教授和团队率先完成了近10例介入治疗。
“RESTORE DCB通过性非常好,有点像过支架的感觉,通过病变非常的顺畅。”这是孙福成教授对RESTORE DCB的第一印象。
在孙福成教授应用RESTORE DCB的病例中,有一例让他印象最为深刻。
“这可以说是一例非常极端的病例,患者前降支钙化病变,近端原来放过支架,中远端又有钙化,我们预扩张后用药物球囊,一开始其实没有想用RESTORE DCB,但我们用之前的药物球囊系统调整了几次也不能到位,刚好RESTORE DCB在我们中心试用,所以就选择了一个类似的型号,没想到(RESTORE DCB)非常顺利的到达了病变部位。”
这一次无心的比较,让孙福成教授和团队非常明显地感受到了RESTORE DCB在通过性方面的优势。
No.2
RESTORE CHINA为“介入无置入”临床实践带来更多信心和可能
回顾DCB临床应用的发展历程,孙福成教授表示,一开始DCB最主要用于支架内再狭窄,国内外的相关临床研究也是围绕支架内再狭窄开展的,因此我们也可以看到,现在无论是欧美指南,还是中国指南,均已将DCB推荐为支架内再狭窄的首选治疗方法。
随着de novo病变临床研究的开展以及临床经验的积累,DCB在原发病变中的使用也越来越广泛,不单是在一些小血管病变中,在分叉病变、大血管病变中的应用也越来越多。
“我们中心也经历了这样一个过程,从开始仅应用于支架内再狭窄,到小血管病变,分叉病变,到现在在一些原位大血管病变中使用的也非常多。”
在DCB的循证医学证据方面,孙福成教授认为,RESTORE China系列研究是这两年最让大家振奋和欣喜的代表性临床研究。
在RESTORE ISR China RCT研究当中,240例患者分别使用RESTORE DCB与SeQuent Please药物球囊治疗支架内再狭窄,9个月造影随访显示:两者的晚期管腔丢失相似,结果分别是0.38mm和0.35mm,差异不具有统计学意义。而且1年的靶病变失败率,两组之间也没有显著差别。
在RESTORE SVD China RCT当中,RESTORE DCB对比新一代咗他莫司洗脱支架Resolute Integrity治疗参考血管直径2.75mm及以下的原发病变效果良好,RESTORE DCB并不逊色于药物洗脱支架。1年临床事件发生率相当,都处在很低的水平。TCT2019大会上公布的2年随访结果显示:RESTORE DCB组的靶病变失败率(TLF)仅为5.2%。
基于RESTORE ISR China和SVD China两个RCT研究的结果,国家药品监督管理局批准了RESTORE DCB申请的两个适应证——治疗支架内再狭窄以及参考血管直径2.00mm~2.75mm的冠状动脉原发病变。
孙福成教授认为,RESTORE DCB的两个适应证不同于此前其他药物球囊的单一适应证,这为拓展“介入无置入”的临床实践提供了有力的依据。
病例介绍
病史
· 男性患者64岁。
· 胸痛2年,加重再发1月。
· 2019-1-21因心绞痛行冠状动脉造影,于pLAD 90%狭窄处置入XIENCE 3.5-18mm支架;dLCX两处75%狭窄,置入XIENCE 3.0-28mm支架;RCA-PLA 75%狭窄长病变,RCA-PDA 50%狭窄。
· 2019年术后心绞痛症状缓解,常规药物治疗。
· 随时间推移再发心绞痛发作,持续5分钟,来我院治疗。
· 高血压史6年,药物治疗;高脂血症史6年,服用瑞舒伐他汀10mg/d;控制尚可。
· 肺结核史。
· 吸烟史40年,10支/日,未戒烟。
入院检查
· 常规心电图: 正常;
· 血生化
Cr 75umol/L;
TC 3.35mmol/L;
LDL 2.01mmol/L;
cTnI 0.01ng/ml;
· UCG
· 心室壁运动正常,未见二尖瓣返流;
· LVEF 65%;
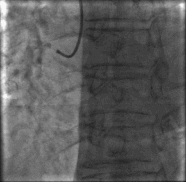
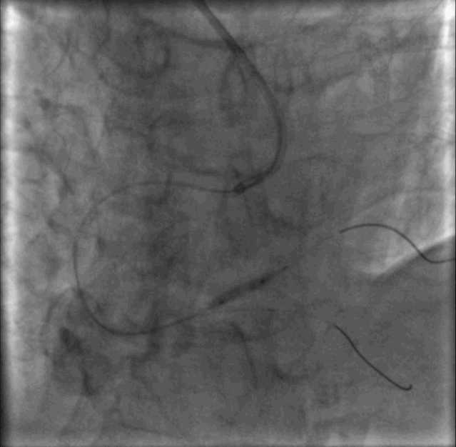
冠状动脉造影
RCA-PLA弥漫长病变,50%~80%狭窄。


介入治疗——预处理1
右桡动脉入路, 6F AR1.0 导引导管, BMW PTCA导丝。
2.5-20mm半顺应性球囊以10ATM扩张RCA-PLA靶病变,狭窄减轻,未见夹层。



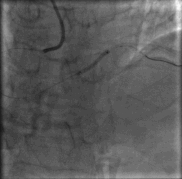
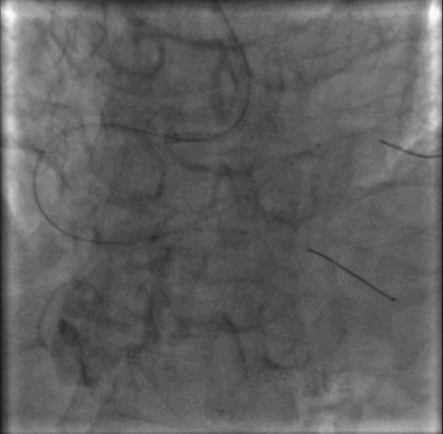
介入治疗——预处理2
2.5-13mm棘突球囊以8-10ATM扩张RCA-PLA靶病变, 狭窄进一步减轻,未见夹层。



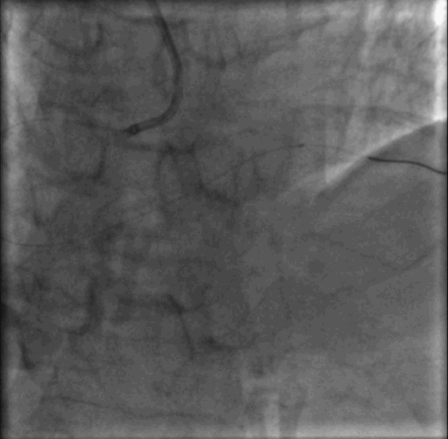
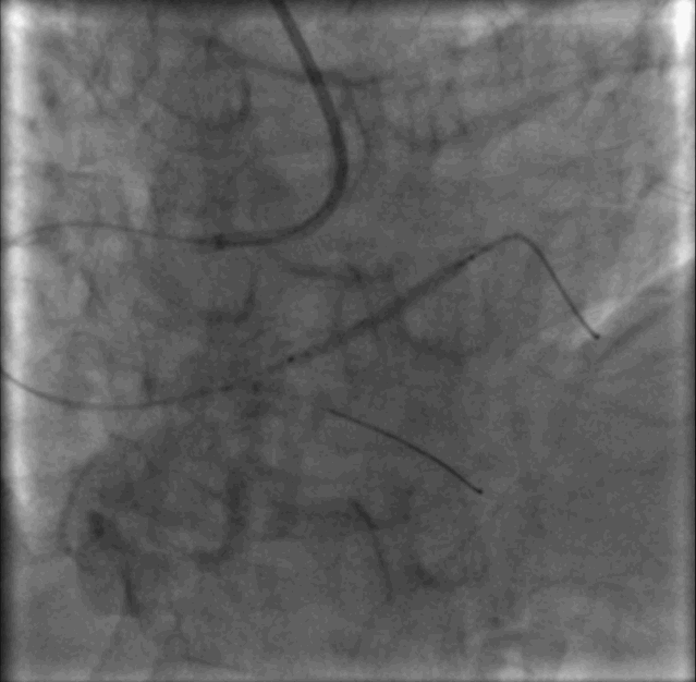
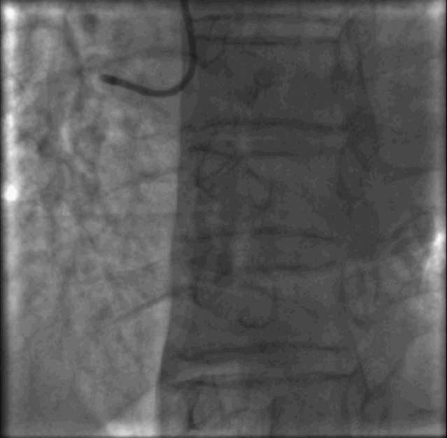
介入治疗——介入无置入
2.5-30mm, 2.75-15mm 两枚药物涂层球囊RESTORE DCB依次扩张RCA-PLA靶病变,贴壁时间45秒~60秒。


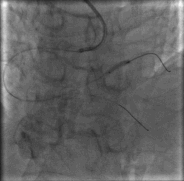
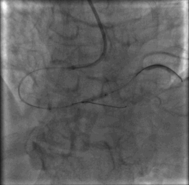
介入治疗——DCB介入无置入
继续观察5分钟,复查冠脉造影未见夹层及弹性回缩,患者未诉不适,生命体征平稳。


介入治疗术前、术后对比

术后用药
术后症状消失
术后2天出院
常规药物治疗
DAPT1个月
随访持续中
No.3
合理的预处理,是保证预后的关键
孙福成教授还结合丰富的临床经验,和大家分享了DCB操作过程中的技巧和注意事项。
他认为,DCB在支架内再狭窄的处理和原发病变的处理过程略有差别。“支架内再狭窄的处理,不管是再次置入支架,还是使用DCB,都特别棘手,有些病人还是会发生二次狭窄。”
孙福成教授指出,根据韩国的相关试验和临床观察,在支架内再狭窄患者的处理中,如果近期效果好,远期效果往往也更令人满意。因此,对支架内再狭窄的患者应尽量使用腔内影像学工具准确的判断再狭窄的原因,根据不同原因进行相应的预处理,预处理效果越好,使用DCB后的预后就越好。
对于原发病变的处理,孙福成教授的直接体会是如果预处理的好,很多病例甚至不需要置入支架。但是如何把原发病变的预处理做的更令人满意?孙福成教授近年来一直在思考和致力去解决这个问题。
“怎么把病变处理的既没有严重夹层,又尽可能做到残余狭窄最小?这在小血管病变中的处理相对容易,但是3.0mm以上的大血管中如果预处理有严重夹层,急性闭塞的风险比较高,这也是很多术者不愿意使用DCB处理大血管病变的原因。”
对于如何做好病变的预处理,孙福成教授的体会是:采用球囊逐渐升级的预处理技术。有时候不是一个球囊就能做好预处理的,可以先用小的球囊,压力低一点,逐渐增加压力。另外也需要一些特殊的球囊,如切割球囊、双导丝球囊等。
最后,孙福成教授还指出,不同的DCB有不同的特性,在使用的过程中,要考虑DCB的通过性和涂层自身的特点。之前的DCB通过性欠佳,且要求在很短的时间内到位,而RESTORE DCB通过性较好,而且只要不扩张起来,并没有输送时间的限制,未来也有机会可能做一些术式上的创新。