

病例资料
女性,36,阵发性胸闷胸痛2年
2年前(二胎 孕28周)开始出现劳力性心绞痛,症状持续1-2分钟可缓解,外院心电图I、II、AVF、V3-6导联ST段水平压低0.1-0.3mv,产后1周情绪激动后突发剧烈胸痛,持续约5分钟左右缓解,后外院就诊超声提示室间隔心尖段及下壁心尖段节段性室壁运动异常,此后间断活动时气短一年余。4月前外院复查心电图提示V1-3导联Q波形成,CTA提示:LAD近中段闭塞,左心室心尖部心内膜下心梗,室壁瘤形成,胸部大血管增强MRI未见明显异常,SPECT:双侧颈动脉、椎动脉、上肢动脉、髂动脉、下肢动脉、腹主动脉及肠系膜上动脉主干、肾动脉起始部未见明显狭窄,右锁骨下动脉斑块。
既往:高脂血症2年、银屑病史10余年
实验室检查
血沉、CRP、ASO阴性
TnI阴性
D2聚体、BNP阴性
炎症因子阴性
自身免疫抗体谱阴性
明确缺血证据PET/CT -hibernating myocardium

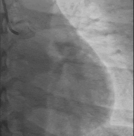
MRI 室壁瘤

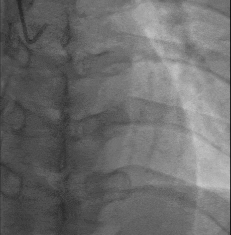
2019-1 CTA 无严重钙化

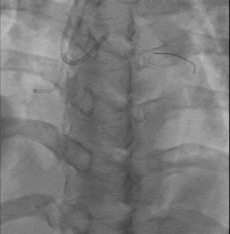
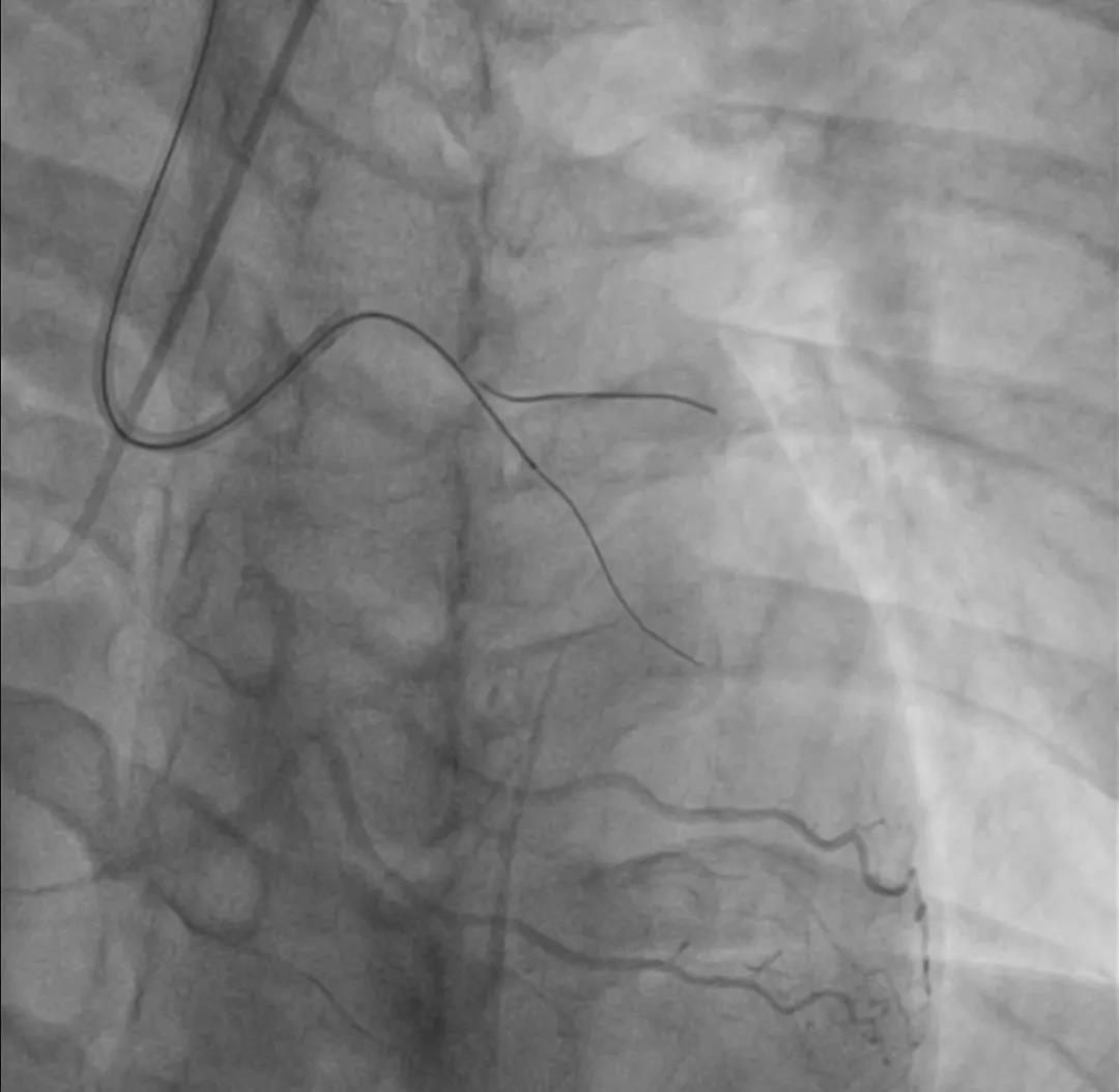
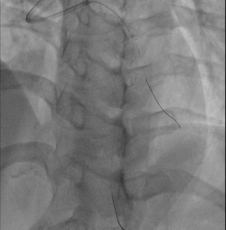
造影




治疗策略
青年女性,合并银屑病,已排除大动脉炎等风湿免疫疾病活动期,SPECT存在冬眠心肌,血运重建指征明确
PCI vs. CABG:PCI 成功把握较大,相对创伤小,可以首选
DES vs. DEB:LAD病变弥漫,考虑合并银屑病,ISR风险高,首选尝试DEB,但对操作要求高,尽量避免内膜下走形,避免形成较大夹层或血肿必须补救性支架植入
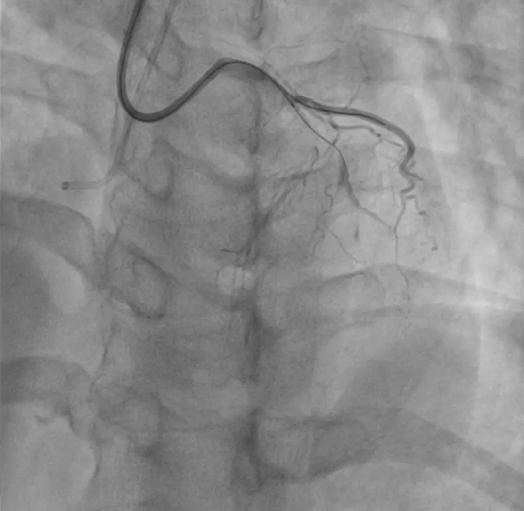
单支病变 LAD-CTO策略
两段闭塞 J-CTO score = 2(blunt tip/bending angle>45°)
无明显钙化,闭塞节段较短,首选对侧造影支持下正向策略
EBU3.0+Finecross微导管+XT-R做初始尝试
必要时升级导丝硬度
注意第二段闭塞成角
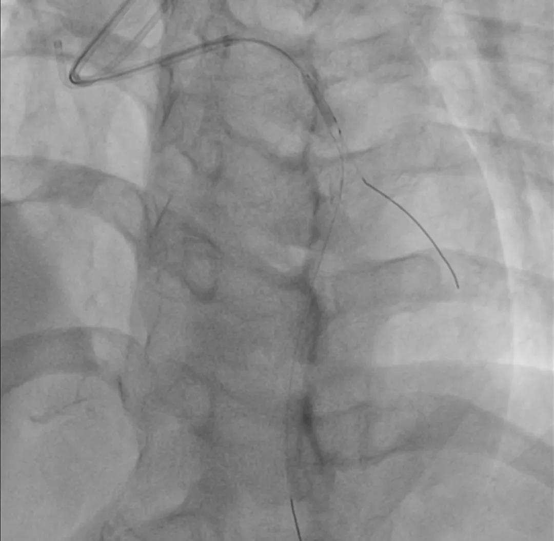
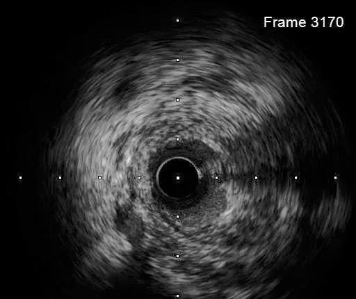
IVUS评估后决定是否行DEB

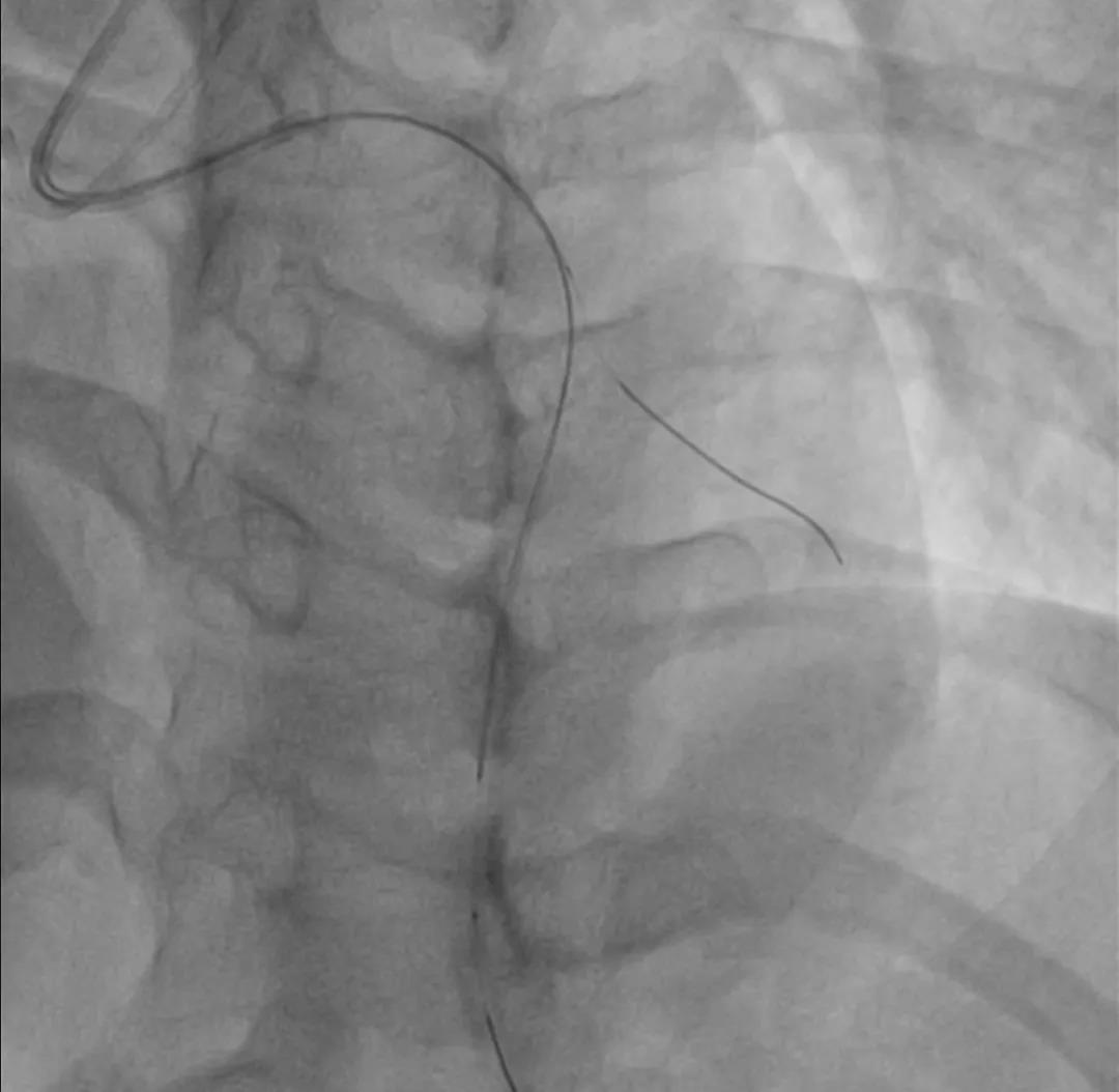
操作过程 XT-R顺利通过第一闭塞段

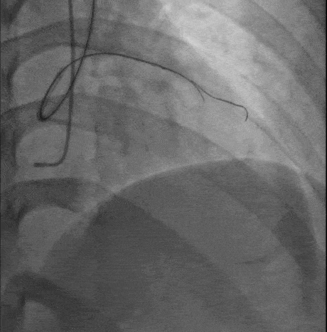
第二段病变通过困难角度过大更换XT-A仍通过失败 交换双腔微导管+Gaia-2


Gaia-2进入内膜下微调进入真腔交换工作导丝进行IVUS检查

IVUS-1

远段直径2.2*2.4mm

对角支处局限血肿
充分预扩
Score flex 2.0*10mm 10atm
Quantum 2.5*20mm 10atm


IVUS-2 预扩张后小夹层和血肿

Dia开口

Dia近段

LAD闭塞段

LAD近段

LAD开口
DEB bingo 2.5*30mm 10atm 结果满意

IVUS-3




