
CHINA VALVE (HANGZHOU) Warm Up Webinar Series第三期将于2020年5月8日19:00-20:30正式开启。
本期活动特邀广东省人民医院罗建方教授、浙江大学医学院附属第二医院王建安教授担任活动主席。特邀广东省人民医院李捷教授、北部战区总医院徐凯教授分享冠脉风险TAVR病例。特邀天津市胸科医院陈庆良教授、中南大学湘雅二医院方臻飞教授、四川大学华西医院冯沅教授、首都医科大学附属北京安贞医院刘巍教授、浙江大学医学院附属第二医院刘先宝教授、南昌大学第一附属医院彭小平教授、厦门大学附属心血管病医院王斌教授、中国医学科学院阜外医院王旭教授、新疆医科大学附属第一医院杨毅宁教授担任讨论嘉宾,共同探讨冠脉风险TAVR病例治疗策略。(排名不分先后,按姓氏拼音排序)
严道医声网将同步进行网络直播,敬请期待!

精彩病例,提前预习!
病例1
病史资料
男,74岁
主诉:发作性胸痛胸闷9年,加重1个月。
现病史:患者9年前劳累时出现胸痛胸闷,休息后可改善。无气短,无出汗,无恶心呕吐,无黑蒙,无晕厥。1月前上述症状加重,无余殊。
既往史:糖尿病病史20年,否认高血压病史。
术前检查:血压107/68mmHg,心率81次/分,主动脉瓣听诊区可闻及3/6级收缩期喷射性杂音,心尖部可闻及3/6级收缩期喷射性杂音。
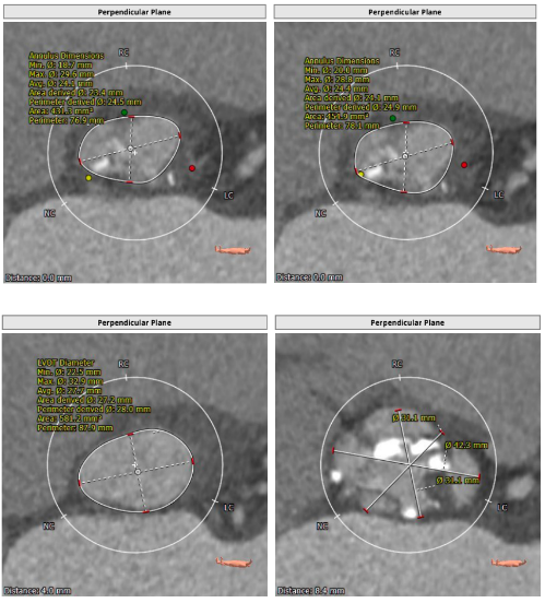
心脏彩超提示:主动脉瓣钙化,重度狭窄伴轻度返流,有效主动脉瓣瓣口面积指数0.27cm2/m2,平均跨瓣压差24mmHg,EF39%。

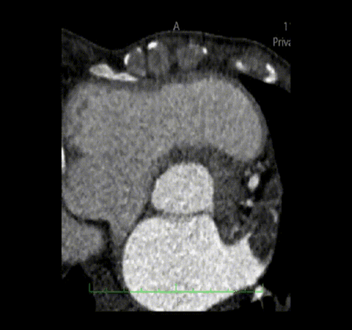
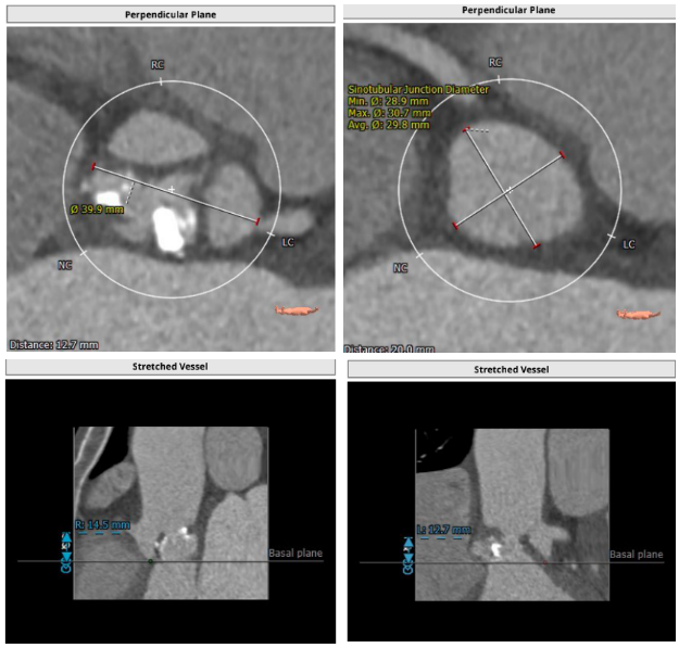
解剖结构
主动脉根部解剖动态图:

主动脉根部解剖:


血管入路解剖:


病例2
病史资料
男,64岁
主诉:反复活动后气促2年,加重1周。
现病史:2年前患者活动后气促,当地医院就诊考虑心肌梗塞,予CAG后未行PCI治疗。1月前患者上述症状加重,于当地医院就诊,心超提示主动脉瓣狭窄并关闭不全。
既往史:冠心病史两余年,否认高血压史,否认脑梗塞史,否认慢支肺气肿病史。
心脏彩超提示:主动脉瓣钙化,重度返流并中度狭窄,主动脉瓣瓣口血流速度3.6m/s,平均跨瓣压差25mmHg,EF59%。

解剖结构
主动脉根部解剖动态图:

主动脉根部解剖:




血管入路解剖:

投票二维码

欢迎扫描上方二维码
参与投票和提问互动
到时邀请与大咖面对面
共同线上讨论