2020年4月8日,南宁市第一人民医院刘杰主任团队成功完成了南宁市级医院首例经导管主动脉瓣置换术(TAVR),这也是国内首例HIV阳性患者TAVR手术。

手术专家
病史资料
患者:男 64岁
主诉:反复劳力性气喘1年余,加重四月,晕厥1次”
患者19年2月开始出现无明显诱因下出现气喘不适,伴胸闷,从事劳动时晕眩一次意识丧失前往柳州市第一人民医院心脏超声诊断为“主动脉瓣重度狭窄”
患者因病情加重于2020年03月27日广西医科大学一附院就诊
冠脉CTA+腹主动脉CTA+胸部CT平扫+增强
检查结果:
主动脉瓣及二尖瓣增厚、钙化;
两肺炎症并两侧胸腔少量胸腔积液。
前降支近段钙化斑块并管腔轻度狭窄约10%,前降支中段心肌桥。
既往史:
2型糖尿病
获得性免疫缺陷综合征(HIV感染)
入院诊断结果:
主动脉瓣重度狭窄并轻度关闭不全
二尖瓣、三尖瓣轻度反流
CT影像筛查

瓣环平面测量
找到窦底(二叶瓣 )
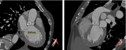
确定瓣环平面周长79.9mm
直径25.4mm

确认冠脉风险,左右冠高度尚可,冠脉平面

窦部大小

左室流出道:
Min: 22.7mm
Max: 32.9 mm
Average: 27.8 mm

心室大小

STJ

升主动脉

体位选择
选取合适的投射角度,三个窦底部在一个平面上,同时无冠窦在最低点
可以术中造影确认角度是否合适

钙化评估

股动脉入路情况
根据术前评估为type2二叶瓣,极重度钙化,左右窦左无窦有钙化粘连,窦部较小,术中需要囊扩张确认冠脉情况。考虑到瓣上结构瓣膜预选L29,直径满足要求,主动脉弓锐角,术中过弓谨慎。
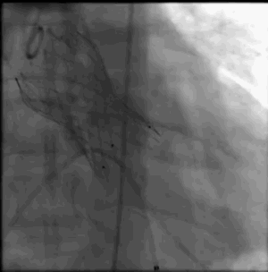
术中影像

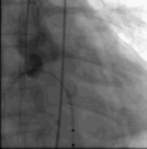
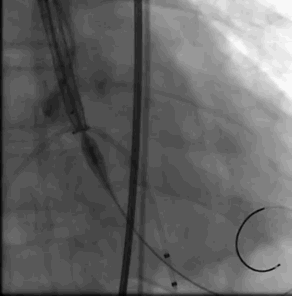
主动脉根部造影

导丝跨瓣

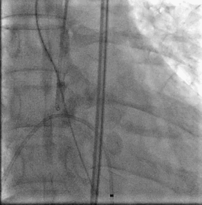
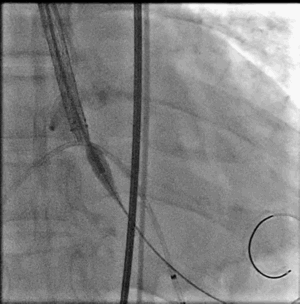
选择BaIt23球囊进行预扩

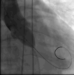
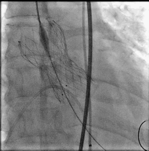
结合术前CT判断和术中影像判断,最终决定植入L26号venus A瓣膜。采取标准位置释放。
一开始可以将ring释放到mark点往下2mm处,暂停释放张力,造影观察位置,此时仍可以轻松上下调整
继续释放支架开始贴壁,此时血压还没完成下降,支架仍未完全开花
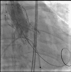
可以进行造影,观察位置

继续释放支架此时支架开花,血压下降到60以下时,可进行120-140起搏释放
建议此时释放速度无需过快,以便第一术者有间隙调整瓣膜位置,第三术者固定导丝
释放到血压开始回升停起博,造影,拉回辅路猪尾

继续释放完瓣膜,注意三个T头脱勾后撤出输送系统,交换猪尾到心室,进行根部造影

根据支架形态,此次选择BaIt23球囊后扩

瓣膜释放完成左右冠显影良好 瓣膜最终形态
L26号瓣膜释放,BaIt23预后扩,几乎无瓣周漏,压差解除