“启明杯” “TAVR最强音”病例大赛启动以来,获得了全国各中心的踊跃投稿。疫情当前,各位临床专家们对TAVR的热情不减。今天就为大家带来广东省人民医院高难度病例分享。

病例特点
1、Type1二叶瓣 极重度钙化
2、接近90°横位心
3、主动脉血管扭曲弯折
病史
患者:男 82岁
主诉:胸闷 心悸 2月余
现病史:主动脉瓣钙化 重度狭窄并轻度返流 继发升主动脉扩张 轻度二尖瓣返流 左室舒张功能减退 主动脉 双侧髂动脉 股动脉硬化 微量心包积液
既往史:冠心病 二支病变 PCI术后
体格检查: BP 95/63 mmHg 心率 60次/分 心律齐
心超:EF 61% 跨瓣压差 100mmHg(峰值)62mmHg(平均)

病例分析&手术策略
瓣环平面测量
定位两个窦底
瓣环平面周长82.5mm,直径26.3mm
(二叶瓣/极重度钙化)


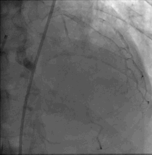
确认冠脉风险
冠脉高度尚可,冠脉平面无可见瓣叶
对侧距离大于30
确认冠脉情况


瓣叶分型
根据瓣环的截面分析,
二叶瓣Type1,极重度钙化,可见右无有钙化脊
可根据术中球囊扩张决定
是否Down size

球囊选择
根据瓣环平面/钙化程度、瓣叶分型可以初步选择26/23球囊
8*40球囊预扩,20球囊再次预扩可以进一步确认支架型号


体位选择
选取合适的投射角度,两个窦底部在平面上,同时无冠窦在最低点
可以术中造影确认角度是否合适
横位心 接近90°


钙化评估
1.钙化极重度,右无冠窦存在钙化脊,支架会偏向左冠窦
2.二叶瓣容易发生瓣膜移位,此病例可以尝试进行高位释放
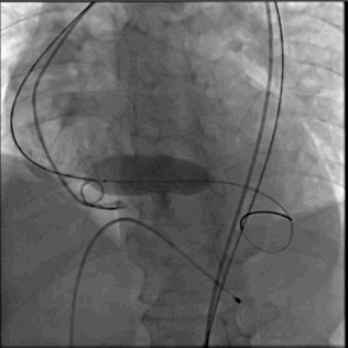
3.主动脉弓弯折扭曲,建议使用 snare

入路评估
1.股动脉直径可使用22F大鞘
2.在入路直径大于6mm且无扭曲的条件下,优先选择右侧股动脉


手术过程
球囊预扩
大小球囊依次预扩

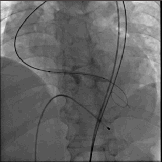
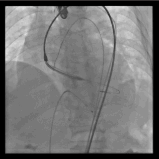
输送系统到位
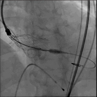
圈套器snare 协助输送系统安全准确达到预计区域,猪尾主动脉根部造影确认系统和窦底的相对位置,调整重置锚定区


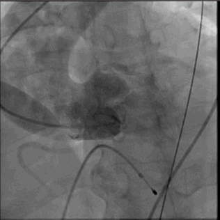
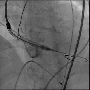
瓣膜释放
VenusA 26支架,高位 释放
1.ring释放到mark点往下2mm处,造影观察位置(此时仍可以调整位置)
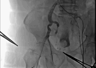
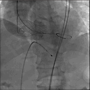
2.瓣膜释放瓣架打开 瓣架开始附着在钙化区 高速起搏 血压下降 系统保持相对稳定

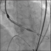
3.支架开始贴壁,血压开始恢复,支架下部锚定区固定,停止起搏 。
4.造影观察冠脉情况 瓣叶运动工作 是否PVL 返流等

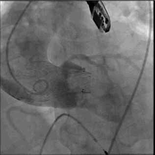
5.完全释放瓣膜
6.猪尾导管拉回 放置新的人工瓣膜工作区域上方造影

7.瓣膜支架未完全打开,返流 PVL均存在,决定后扩

8.支架展开形态良好 返流大幅度减少
9.仅在钙化严重,窦交界区域有PVL,符合术前预估

术后随访(一周)


术后讨论
Q1:二叶瓣 合并 横位心 极大增加手术难度
Q2:针对此病例采取 标准位 稍高位 释放
专家点评
二叶瓣TAVR手术 对术者技术要求很高,对释放位置把控更精确
横位心解剖病例增加手术并发症 成功率等不可控因素,需要格外小心
团队配合是手术成功的利器