严道医声网
严道医声网
严道脑血管网
严道医学网
学院
课程
文章
会议
下载
关于我们
搜索
登录
/
注册
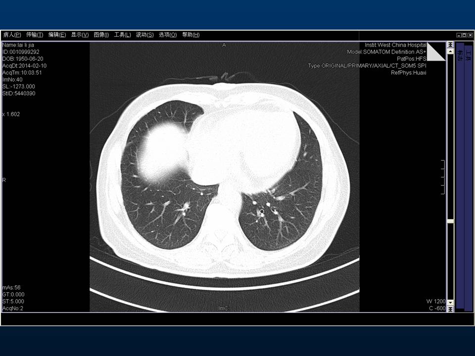
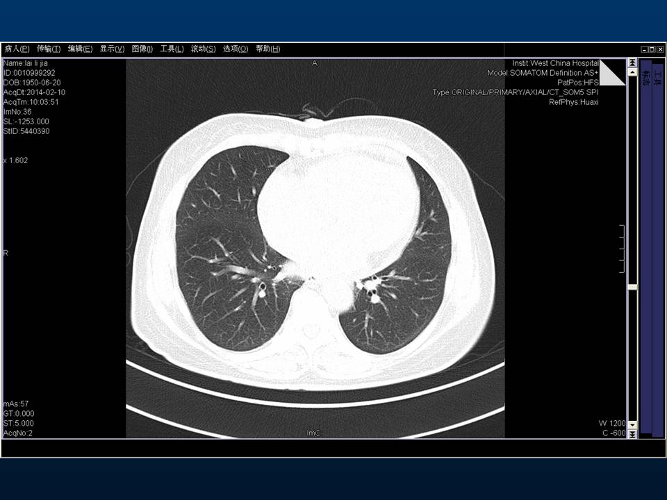
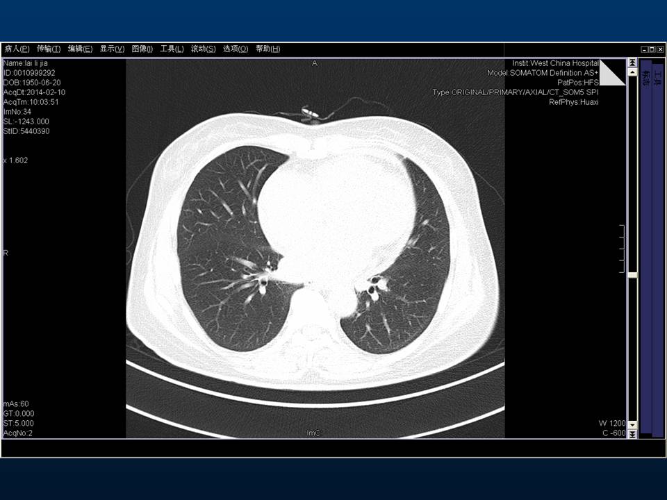
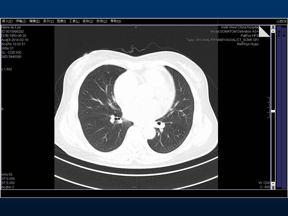
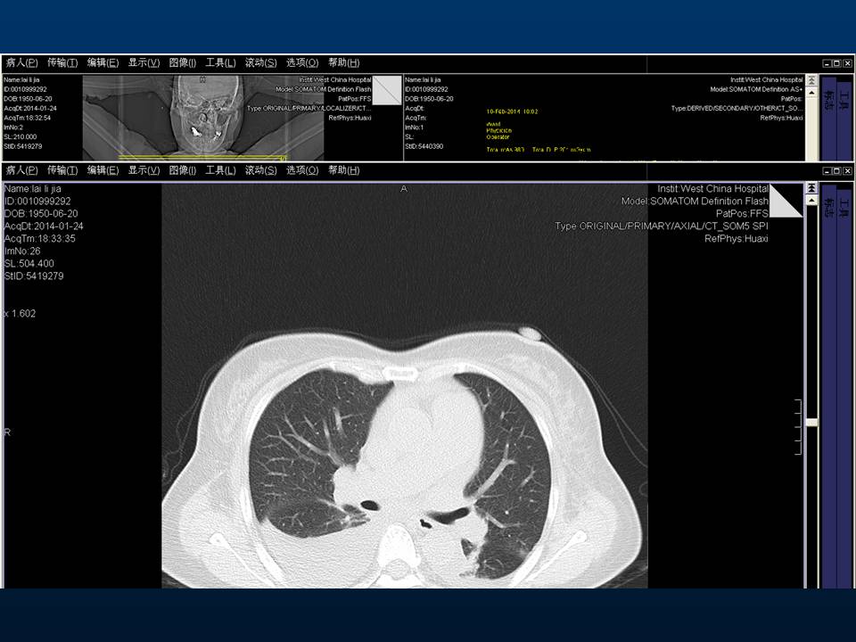
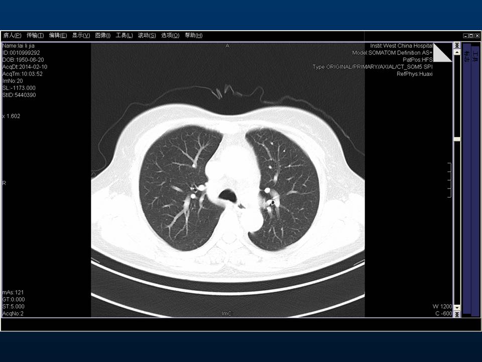
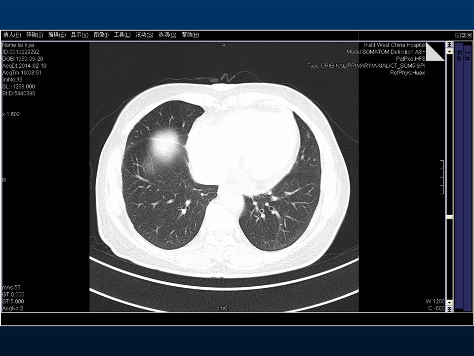
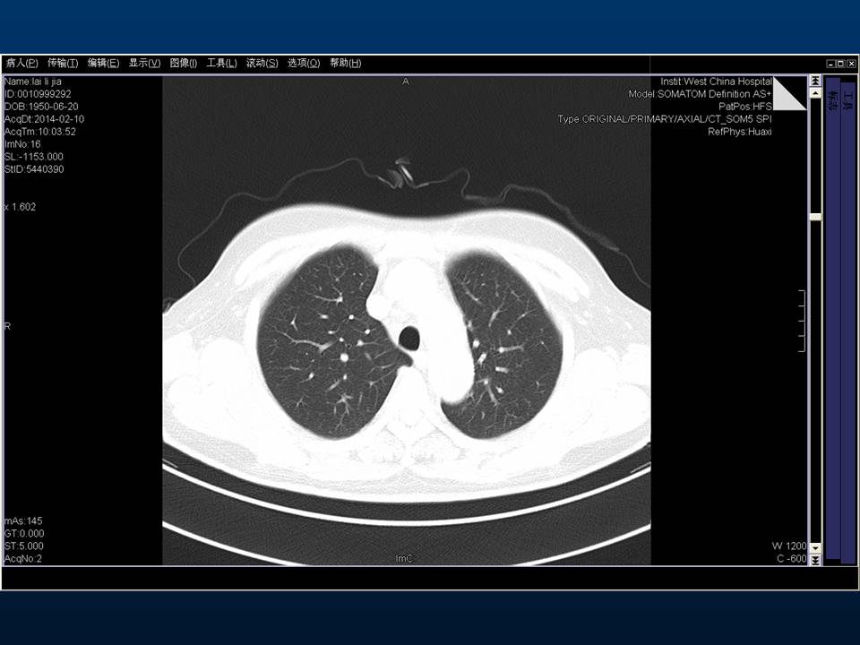
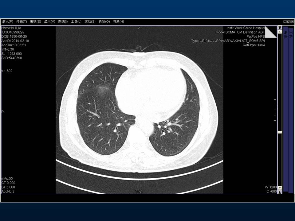
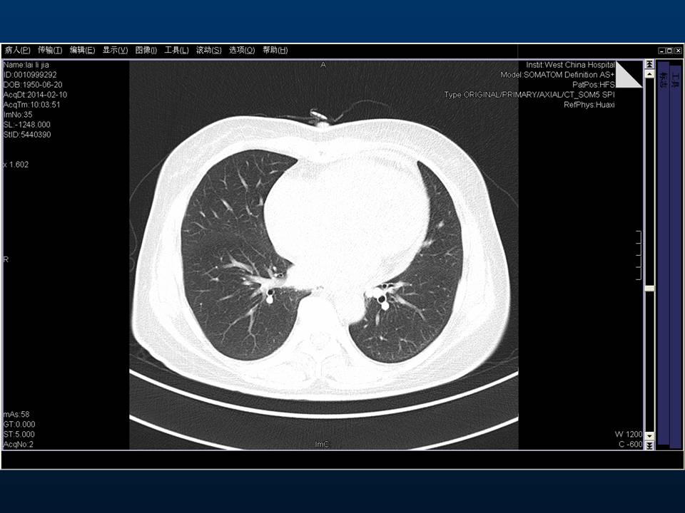
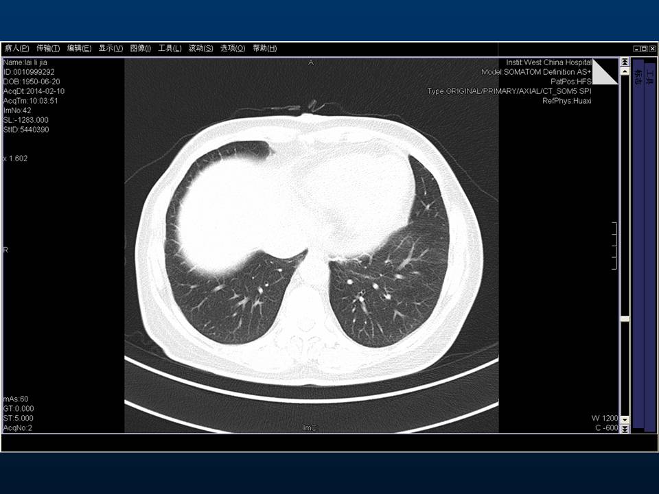
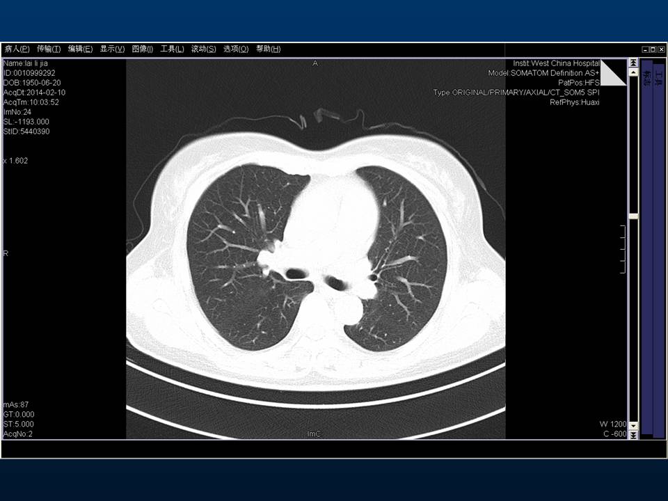
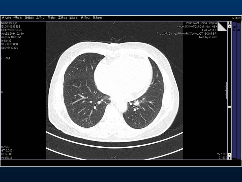
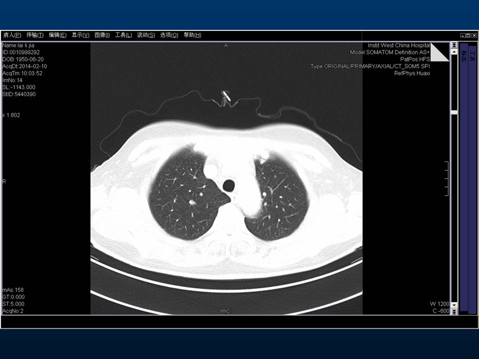
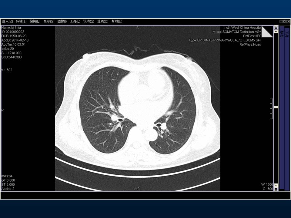
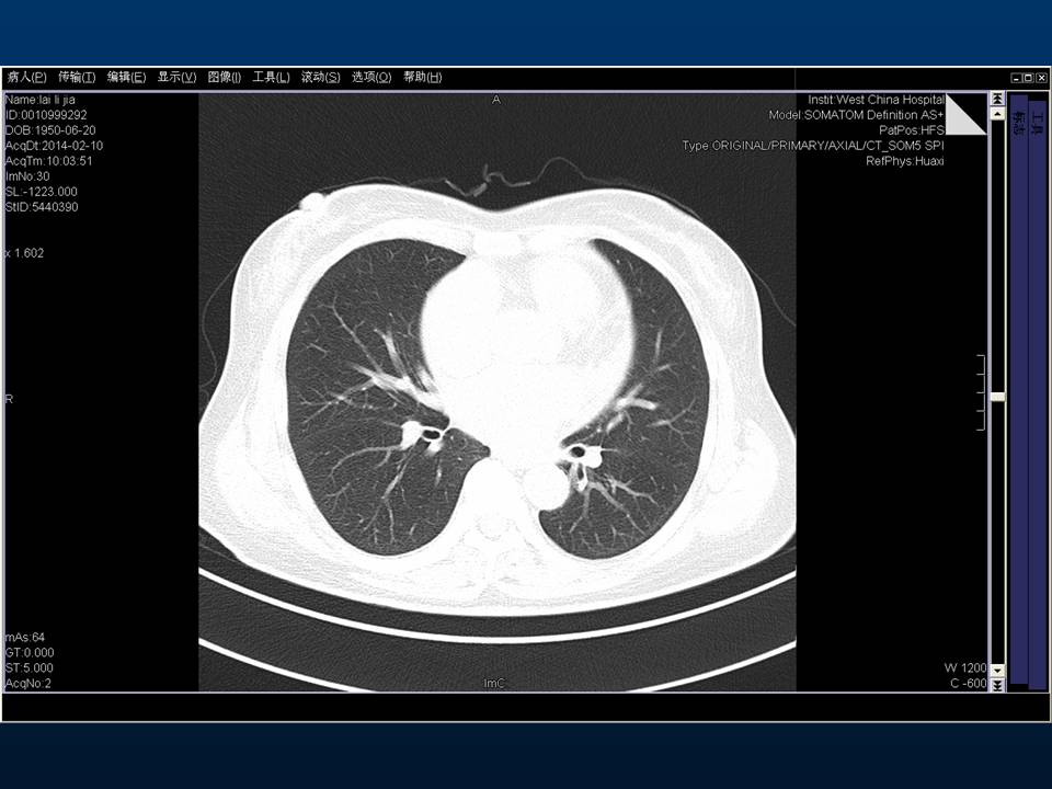
心房颤动(扑动)与“心衰”一例特殊病例报道
杨庆
2015-07-24 16:16
自动播放
阅读数: 1111