严道医声网
严道医声网
严道脑血管网
严道医学网
学院
课程
文章
会议
下载
关于我们
搜索
登录
/
注册
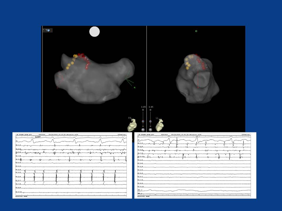
房颤的心外膜消融
詹贤章
2015-07-24 13:45
自动播放
阅读数: 1102