严道医声网
严道医声网
严道脑血管网
严道医学网
学院
课程
文章
会议
下载
关于我们
搜索
登录
/
注册
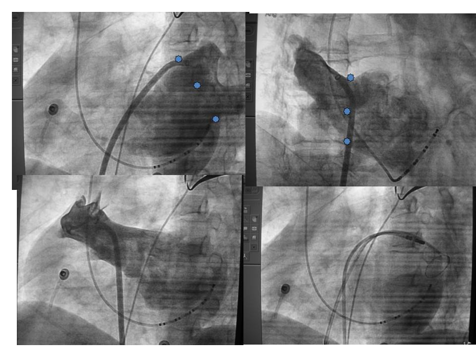
动态融合 实时准确
李学斌
2015-07-24 13:34
自动播放
阅读数: 908