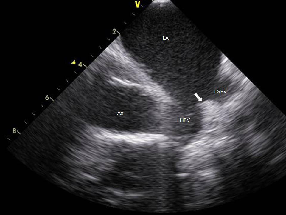
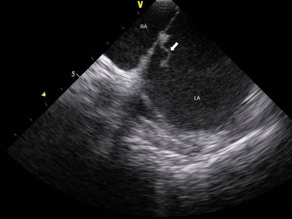
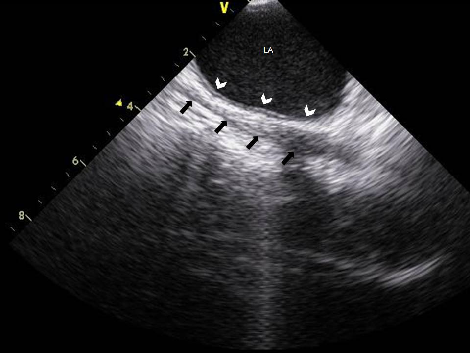
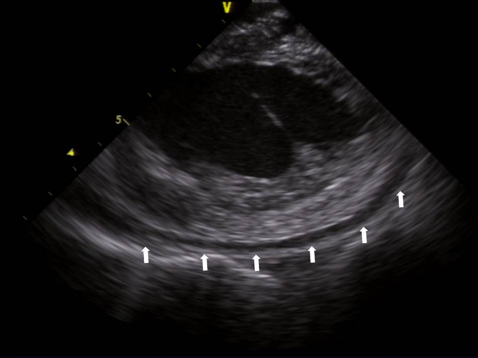
Use of ICE to Eliminate Radiation During AF Ablation
2015-07-24 13:06