导语:
上海德达医院致力于打造以心血管为特色的国际化综合医疗服务平台,特聘一批海内外心血管专业的优秀人才,旨在为患者提供高端优质的医疗服务。近日,德达医院心内科特聘专家、我国著名冠脉介入专家葛雷教授,在德达医院成功完成一例高难度右冠开口CTO病例。
病例简介
基本资料:
老年男性,主因“冠脉搭桥术后7年,活动后心慌、胸闷加重1月余”入
现病史:
患者7年前行心脏冠脉搭桥术,术后恢复顺利,长期口服降压、降脂、控制血糖及心率等药物治疗。3年前因体检行加强CT后出现大面积心肌梗死,当地医院检查结果示以跟桥血管狭窄(具体不详)。近1月余来患者再次出现活动后心慌、胸闷,发作频繁,每日多次服用硝酸甘油、速效救心丸、丹参滴丸等药物,效果不佳。
既往史:
糖尿病,高血压,高脂血症,陈旧性脑梗死
专科查体:
血压 146/72mmHg,心率71bpm,律齐,各瓣膜区未闻及明显病理性杂音,周围血管征(-),双下肢无浮肿。
入院诊断:
-冠状动脉粥样硬化性心脏病 冠脉搭桥术后
-高血压病3级(极高危)
-2型糖尿病
-高脂血症
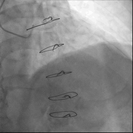
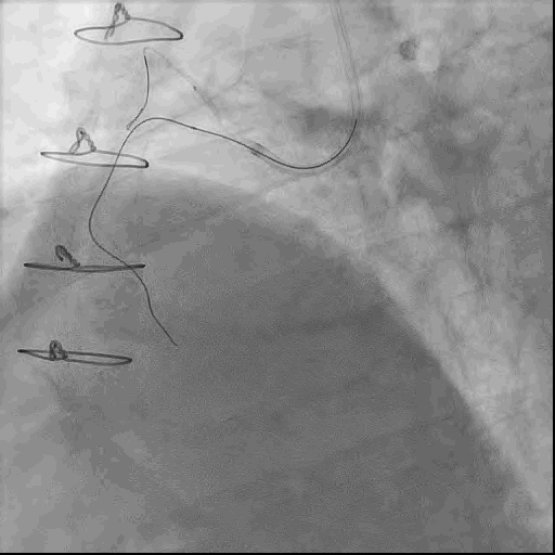
术前冠脉造影


RCA自近端齐头闭塞,无残端,远端隐约可见自身侧支形成,后三叉显影不佳


左侧LIMA-LAD、SVG-OM1桥血管通畅

右侧SVG-RCA桥血管闭塞
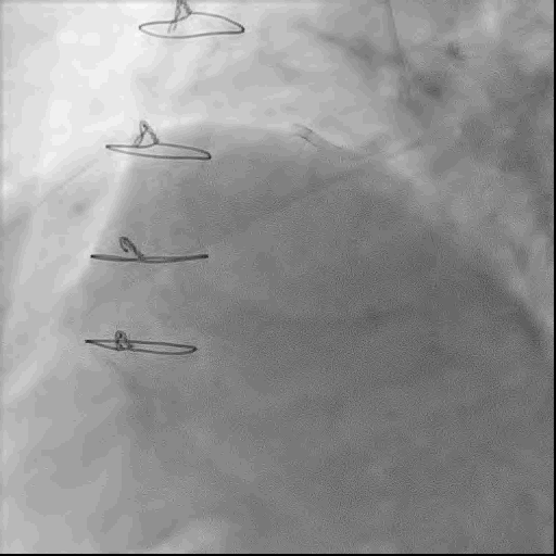
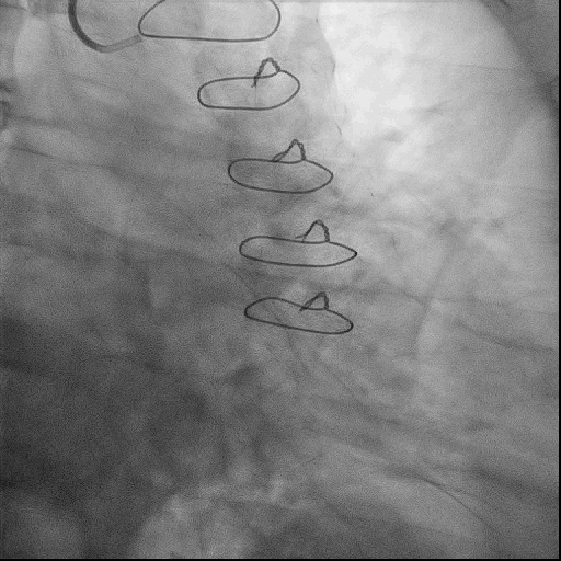
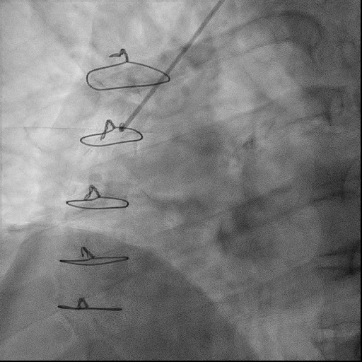
手术流程
手术策略:正向开通RCA-CTO病变。

首先置入Cosair135微导管,使用XTR导丝反复尝试无法通过闭塞段,更换UB3导丝后成功通过闭塞段。

冠脉造影提示RCA闭塞钙化负荷较重,使用球囊锚定技术,小球囊反复扩张闭塞病变。

后更换微导管送入RCA中远段,并更换工作导丝至左室后支远端。
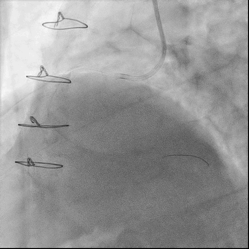
术中,球囊扩张RCA中远段后出现夹层,使用球囊压迫后复查造影TIMI血流3级,故结束手术。
术后小结:
该患者为右冠开口齐头闭塞病变,无残端,同时自身侧支形成不佳,侧支循环显影微小,提供RCA中段血流,故杜绝了逆向开通RCA-CTO病变的可能,正向为唯一策略,这使得术者处于一个非常被动的处境。葛雷教授凭借其高超的技术和丰富的经验,经过导丝升级后成功通过闭塞段开通RCA-CTO病变,显示了葛雷教授团队精湛的手术技术和默契的团队配合,同时也希望能为苦练CTO技艺的介入医师们带来一些启发。