导语:
上海德达医院是一家以心血管为特色的综合性外资医院,自开业以来,秉承着“以患者为中心,以医务人员为本”的宗旨,致力于为更多的患者带来优质的医疗服务。近日,我国复杂冠脉介入领域著名专家葛雷教授,作为德达医院特聘专家,在德达医院完成一例高难度CTO+分叉病变。

葛雷教授手术现场
病例简介
基本资料:
老年女性,主因“反复咽部紧缩感1年,再发加重20天”入院
现病史:
患者1年前开始反复出现后活动后咽部紧缩感,偶有胸闷,休息可缓解,未诊治。20天前症状再发加重,行冠脉造影示RCA近段40%狭窄,近中段弥漫性狭窄伴钙化,狭窄30-60%,中远段可见一95%狭窄,RCA发出侧支供应LAD远端;LM开口无明显狭窄,中远段狭窄60%,累及回旋支开口狭窄75%,累及LAD开口50%;OM开口狭窄约60%。行RCA药物球囊扩张术,术后规律口服替格瑞洛、阿司匹林、琥珀酸美托洛尔缓释片、阿托伐他汀、单硝酸异山梨酯等药物治疗,但症状仍反复发作。
既往史:
高血压
个人史:
无吸烟、饮酒史
专科检查:
心率59bpm,各瓣膜区未闻及明显病理性杂音;周围血管征(-);双下肢浮肿。
辅助检查:
-心脏超声:LVEF 71%,左室舒张功能减退,三尖瓣反流(少量)
-颈动脉超声:双侧颈动脉分叉处斑块形成,血流通畅
入院诊断:
-冠状动脉粥样硬化性心脏病 不稳定型心绞痛 PTCA术后 心功能II级(NYHA分级)
-高血压病2级(极高危组)
-颈动脉粥样硬化
术前冠脉造影




RCA近中段弥漫性狭窄伴钙化,狭窄30-60%,RCA远端发出广泛侧支供应LAD远端
手术流程
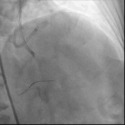
手术策略:左冠冠脉造影示LM中远段狭窄60%,累及LCX开口狭窄75%;LAD发出D1后齐头闭塞,无残端,远端微小侧支循环形成,显影差。患者逆向侧支循环显影差,故选择正向策略。

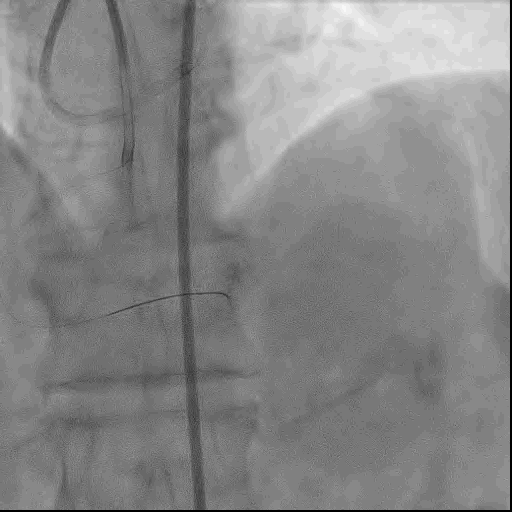
首先送入双腔微导管,依次尝试使用XTR导丝、UB3导丝、Gaia3导丝后成功通过闭塞段,影像学反复定位确定导丝位于血管真腔内。后更换为Cosair微导管并送入UB3导丝,通过闭塞段到LAD远端。
使用球囊反复扩张LAD后远端血肿形成,TIMI血流1级,使用小球囊进行压迫止血,压迫1分钟后LAD血流改善。
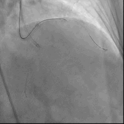
再次行冠脉造影提示LM到LAD仍有80%的残余狭窄,LCX开口狭窄70-80%,为真性左主干分叉病变。

故采用DK-CRUSH策略于LAD和LCX分别植入支架,术后复查冠脉造影可见LAD及LCX开口无残余狭窄,血流良好。
术后小结:
● 术前冠脉造影提示LAD齐头闭塞,无残端,逆向的侧支循环显影也较差,故逆向策略暂不考虑,首选前向策略。术者通过反复更换导丝及导丝升级成功通过LAD闭塞段。
● LAD-CTO病变开通后LAD开口残余狭窄80%,同时LCX开口狭窄程度也较重,约70-80%,为真性左主干分叉病变。对于这种类型的分叉病变,首选双支架策略。术者选择了DK-CRUSH策略,于LAD和LCX分别置入支架,术后复查造影LAD和LCX也确实得到了明显的改善。