2019年9月6日,海军军医大学附属上海长海医院心脏外科应用MitralStith®二尖瓣瓣膜修复系统,成功为一位高龄、重症二尖瓣脱垂患者完成了经导管二尖瓣成形手术。该手术在长海医院心脏外科徐志云主任的指导下,由心外科陆方林主任团队联合北京阜外医院潘湘斌主任团队合作完成,为华东地区首例MitralStitch®二尖瓣瓣膜修复系统临床应用手术,同时也是目前国内MitralStitch®二尖瓣瓣膜修复系应用年龄最大的病例。

—————————
为耄耋患者带来生命曙光
本例手术的患者为89岁男性,5年前在轻微活动时就会感到憋闷、气喘等不适,到医院检查后发现患有“二尖瓣脱垂伴中-重度关闭不全”。这一疾病传统上需要正中开胸体外循环手术治疗,但患者的年龄已接近九旬,又合并多种疾病,STS评分手术死亡率提示外科手术高危,因此全家人奔走了全国多地,也没有一家心脏中心愿意接受这样的严峻挑战。
—————————

—————————
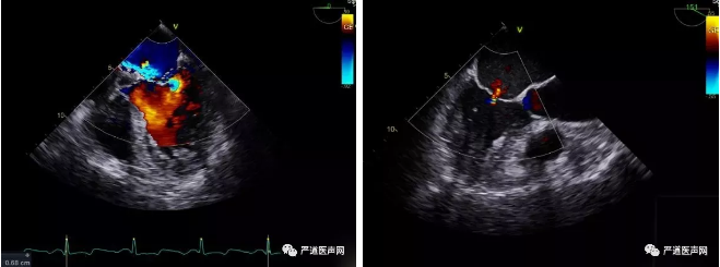
当得知上海长海医院正在进行MitralStitch®二尖瓣瓣膜修复系统的临床研究时,老人的家人找到陆方林主任,希望寻求一线希望。住院后心脏超声提示老人的二尖瓣后瓣脱垂,并已发展成重度关闭不全,瞬时反流量达35ml,左心也已扩大。经过全面的评估后,心脏团队和核心实验室认为该患者适合临床研究入组,可接受MitralStitch®系统手术治疗。完善术前准备和知情告知后,老人终于如愿入选临床研究。手术团队于患者肋间行3-4cm小切口,术中操作在单纯超声引导下进行,过程平稳顺利,从器械导入到完成人工腱索植入,仅耗时约10分钟,术后二尖瓣反流量由大量反流转为微量反流,瞬时反流量不超过2ml,瓣膜功能即刻恢复正常。老人术后第一天就回到了普通病房,第二天就可以下床活动了。这也是目前国内MitralStitch®二尖瓣瓣膜修复系统应用的年龄最大的病例。老人及家属在术后表达了深切的感激之情,表示MitralStitch®二尖瓣微创修复的“中国方案”为重症二尖瓣反流患者带来了新的生命曙光。
—————————

心超术前术后对比
—————————
长海医院心外科徐志云主任对MitralStitch®二尖瓣瓣膜修复系统的优异表现给予了高度评价,认为该产品通过植入人工腱索的方法治疗二尖瓣脱垂,治疗效果更接近正常心脏的生理状态,远期效果值得期待。产品设计巧妙、操作简便、稳定性高,手术创伤小且无需X光引导,特别适合传统外科手术高危的二尖瓣脱垂伴关闭不全患者。有理由相信,MitralStitch®二尖瓣瓣膜修复系统今后将成为二尖瓣介入治疗领域发展的领航者。

海军军医大学附属长海医院心脏外科借力军改新风,开拓创新、锐意进取,在科主任徐志云教授领导下,通过“瓣膜病微创治疗团队”陆方林教授、宋智钢教授以及全科同仁不懈努力,在瓣膜病介入治疗领域积累了丰富经验,取得了丰硕成果:2017年9月,成为全国最早成功开展经股动脉主动脉瓣膜置换术(TAVR)的心脏外科中心之一;2018年9月,完全自主研发、拥有自主知识产权的经导管三尖瓣置换系统“LuX-Valve”成功进行首例救治性临床试验,并即将开始多中心确证性临床研究。2019年9月,MitralStitch®临床试验手术的成功,标志着长海医院心脏外科“瓣膜病微创治疗团队”又增加了新型的“重武器”,在二尖瓣介入治疗领域开辟了新的“战场”,也标志着心脏外科及其“瓣膜病微创治疗团队”不断地完善、成熟和默契。正如术后徐志云主任说的那样:心脏外科医生对心脏瓣膜疾病的丰富临床经验,结合上飞速发展的材料科学和介入技术,将为更多重症瓣膜病患者带来新的希望!