中国,北京——2019年8月,上海微创心通医疗科技有限公司(以下简称“微®心通”)自主研发的VitaFlow®活力流经导管主动脉瓣膜系统(以下简称“VitaFlow®瓣膜系统”)和敖广™瓣膜球囊扩张导管上市首周,在中国医学科学院阜外医院成功完成了3例植入,手术由中国医学科学院阜外医院心内科吴永健主任和宋光远医生、罗彤医生、牛冠男医生主刀。

1
第一例手术的患者是一位86岁男性,间断胸闷症状2月,入院后超声提示主动脉瓣重度狭窄并少中量反流,平均跨瓣压差60mmHg,收缩期峰值流速4.9m/s,最大压差96mmHg。术前CT评估主动脉瓣环22.6*28.5mm,周长80.2mm,面积498.8mm2,右侧股动脉为主入路,应用24mm微创心通敖广球囊预扩张,植入27mm微创心通Vifaflow瓣膜,术后造影提示无瓣周漏,超声提示主动脉瓣跨瓣无压差。



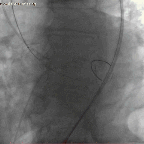
术前影像




2
第二位患者是一名84岁男性,因发现心脏瓣膜异常12年,胸闷气短5年入院。曾于我院就诊,超声心动图提示主动脉瓣重度狭窄,2年前行经导管主动脉瓣球囊扩张术,术后患者仍有气短症状反复发作。此次入院后超声心动图提示主动脉瓣球囊扩张术后、主动脉瓣重度狭窄并少量反流,主动脉瓣平均跨瓣压差97mm,收缩期峰值流速6.3m/s,最大压差158.8mmHg。患者高龄、虚弱、消瘦(BMI仅18lg/m2),术前CT评估患者呈带嵴二叶瓣,L-R融合,主动脉瓣环21*29.6mm,周长80.6mm,面积494.7mm2,瓣上多平面测量结果如下。

右侧股动脉为主入路,应用20mm微创心通敖广球囊预扩张,植入24mm微创心通Vifaflow瓣膜,但术中造影提示瓣膜打开不理想,遂应用20*40mm球囊后扩张,术后造影提示无瓣周漏,超声提示主动脉瓣跨瓣压差仅2mmHg。



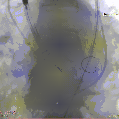
术前影像







3
第三位患者是一位84岁女性,因间断头晕伴气短2年,加重1年入院,超声心动图提示主动脉瓣重度狭窄,左室壁肥厚,节段性室壁运动减低,主动脉瓣平均跨瓣压差91mmHg,收缩期流速 m/s,瓣口面积 0.6cm2。患者合并房颤、慢性肾功能不全、贫血。完善CT检查,测得主动脉瓣环 21*25mm,周长71.3mm,面积399.2mm2,患者三叶瓣,钙化分布较均匀,结合瓣上多平面分析方法,选择经左侧股动脉,应用微创心通 20*40mm敖广球囊预扩张,并成功植入Vitaflow 24mm主动脉瓣膜。术后超声提示收缩期流速1.7m/s,较术前明显下降。



术前影像





吴永健主任在术后采访中对VitaFlow®瓣膜给予了高度评价:“VitaFlow®瓣膜系统在今天的手术中整体表现非常好。它采用的电动手柄,在全球也是首创,和传统的手动手柄是完全不同的使用体验,释放稳定,同时可以一个人操作,使术者能够将更多的精力放在瓣膜的控制上。”

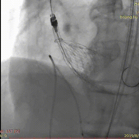
VitaFlow®经导管主动脉瓣膜系统
——————
同时,针对敖广™瓣膜球囊扩张导管,吴永健主任也给予了认可:“以前我们也使用过一些球囊,但是都不合适用在TAVR手术中,今天使用的这款球囊,在充盈的时候非常稳定没有滑动,这是个非常好的特点。同时它的扩张力很大,能够有效扩开狭窄病变,这对后续瓣膜释放的稳定非常重要的。这款国产的球囊非常好。”

敖广™瓣膜球囊扩张导管
——————
主动脉瓣狭窄是老年人中最常见也是最严重的瓣膜病之一,随着患者年龄的增长,患病率显著升高。在西方国家,主动脉瓣狭窄在65岁及以上的人群中发病率约为2%,在85岁及以上的人群中发病率约为4%,若不及时干预,患者中位生存期为2至3年。经导管主动脉瓣置换术(TAVR)是近年来用于临床的介入治疗手术,该疗法设计之初,旨在为那些不能耐受外科主动脉瓣置换术的高危重症主动脉瓣狭窄患者提供较为理想的替代治疗方案。近来,研究结果显示,TAVR疗法的适应证已经涵盖整个风险范围,包括不适合手术的患者,处于高风险或中等风险的患者,以及低风险患者。截至2018年底,中国已有超过20个省开展了TAVR手术,手术例数累计超过两千例。
VitaFlow®瓣膜系统是由微创®心通自主研发。该产品上市前临床试验由葛均波院士组织实施,中国医学科学院阜外医院、复旦大学附属中山医院、浙江大学附属第二医院、四川大学华西医院等全国十一家医院共同完成。2019年7月10日,VitaFlow®瓣膜系统获得国家药品监督管理局(NMPA)颁发的注册证,正式在国内上市。