中南大学湘雅二医院TAVR团队于2016年底率先完成中南地区首例经导管主动脉瓣膜置换术(TAVR),此后在周胜华主任,方臻飞主任、唐建军主任带领下,团队发展迅速,短时间内掌握TAVR技术,成为国内为数不多能够独立完成TAVR的团队之一。迄今为止,中南大学湘雅二TAVR团队总共完成逾60例TAVR,其中团队独立完成40余例,在TAVR技术上积累了丰富的经验。

中南大学湘雅二医院团队
经典病例 3
病例特点:
三叶瓣,极重度钙化,瓣叶增厚,左无钙化粘连,瓣叶冗长,冠脉开口处瓣叶均有明细钙化,且对侧钙化团块存在,冠脉风险高,术中植入瓣膜前进行冠脉保护,颈动脉入路。
病 史 资 料
患者资料:
男性、68岁
临床表现:反复气促5年,胸闷胸痛3年,加重半月
现病史:
患者5年前无明显诱因出现劳累后气促、无明显胸闷胸痛、无发绀、无咽喉部喘鸣、咳嗽、咳痰等,休息后好转,未就医。后发作次数逐渐增加症状加重。就诊于外院,行心脏彩超提示:“主动脉瓣重度狭窄伴轻度关闭不全”,建议手术治疗,患者拒绝。2年前患者出现劳累后气促,伴胸闷、左侧心前区针扎样疼痛不适,胸痛无放射,持续数秒后可自行缓解,就诊于我院,完善彩超诊断同前,左心室功能下降,建议患者手术治疗,患者仍拒绝,半月前患者症状加重,夜间阵发性呼吸困难,遂就诊于我院,门诊拟“心脏瓣膜病”收入我科。自起病以来精神饮食睡眠较差,二便正常,体重无明显减轻。
既往史:
16年前因“血管病变”服用阿托伐他汀及血塞通等药物,发现“高脂血症”15年。
个人史:
无吸烟饮酒史。
查体:
脉搏:78次/分;血压:109/74mmHg;全身皮肤粘膜未见黄染,无颈静脉怒张,肝颈静脉回流征阴性,双肺呼吸音清,双肺叩诊清音,双下肺可闻及湿罗音。心前区无隆起,心尖搏动位于第五肋间锁骨中线外0.5cm,未触及细震颤,心界向左扩大,心率78次/分,律齐,心音无明显增强或减弱,主动脉瓣听诊区可闻及收缩期吹风样4/6级杂音。腹部平软,未见腹壁静脉曲张,全腹无压痛及腹肌紧张,肝肋缘下未触及,双下肢无浮肿。
诊断:
1、瓣膜性心脏病 主动脉瓣重度狭窄并关闭不全 心功能IV级高血脂
2、高血脂症
实验室检查:
TNTsh:40.93pg/ml;NT-proBNP:5200pg/ml;WBC:4.9*109/L;RBC:4.06*109/L;HGB:127g/L;Plt:222*109/L;N:4.03*109/L;L:0.56*109/L;HCT:37.1%;TP:58.6g/L;ALB:34g/L;TBIL:17umol/L;CKMB:11u/L;Cr:67.4umol/L;PT:11.9sec;INR:1.05;FDP:1.89ug/ml;
辅助检查:
心脏彩超:LA46mm,LV62mm,RA30mm,RV33mm,AO39mm,PA23mm,IVsd13mm,LVPWd13mm,EF37%;主动脉瓣流速:4.8m/s,最大压差93mmHg,平均压差47mmHg,舒张期流3.7m/s;1.主动脉瓣狭窄(重度)并关闭不全(轻度);2.左室增大、室间隔及左室后壁增厚;3.室壁运动弥漫性减弱,欠协调;4.升主动脉增宽;5.二尖瓣、三尖瓣、肺动脉瓣反流(轻度);6.左心功能进退。
胸片:
心影增大,双上肺血管稍粗,双侧少量胸腔积液,符合心力衰竭。
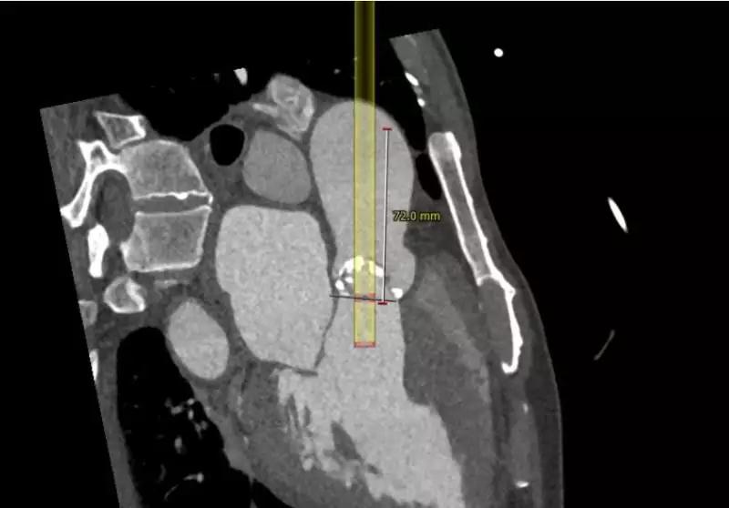
全主动脉CTA评估:
符合瓣膜性心脏病(主动脉瓣病变),升主动脉扩张;冠脉散在钙化并管腔狭窄,双侧胸腔积液。
手术风险评估:
STS:1.527%;EUROscore:4.51%;低危患者,符合手术指征,强烈拒绝外科手术,要求行TAVR手术。
CT分析:





颈动脉入路输送系统模拟情况
手术策略:
建议术中球囊扩张确认冠脉风险,瓣膜型号推荐VenusA-Valve29号瓣膜,备选VenusA-Valve26号瓣膜。
手术过程:
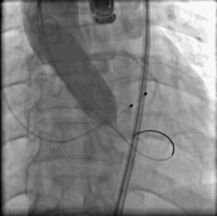
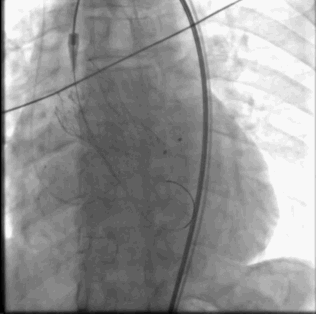
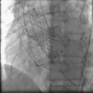
术中常规肝素抗凝。选取右侧股动脉为主路,穿刺左侧股动脉指引右侧行微穿刺,植入18F血管鞘。穿刺右侧颈内静脉植入右心室心尖临时起搏器。完成主动脉根部测压126/66mmHg,行主动脉根部造影。使用5F JR4导管带直头导丝成功跨瓣。交换猪尾导管测左室压力209/2mmHg。交换超硬导丝入左室,沿导丝送入CVB23*45mm球囊跨主动脉瓣,右室超速起搏180bmp,球囊扩展主动脉瓣并行主动脉根部造影评估球扩效果及冠脉风险。提示右冠脉显影欠佳,穿刺右侧桡动脉植入6F血管鞘,送JR4 GC至右冠脉口,沿GC送runthrough导丝至右冠脉远端,沿导丝送maverick2.0*20mm球囊至右冠脉内保护。沿加硬导丝送入VENUS A 29瓣膜及输送系统成功跨瓣,以左侧股动脉猪尾导管送至主动脉窦底部做标记,右室超速起搏120bmp,精准定位并释放瓣膜,期间反复猪尾造影确定瓣膜位置,撤出输送系统。复测主动脉根部压力125/55mmHg,左室心尖:125/10mmHg,主动脉根部造影左右冠显影清晰。在造影下缓慢退出股动脉长鞘,缝合并加压包扎双侧股动脉,术闭。
术中视频:

主动脉根部猪尾造影左右冠显影正常

球囊预扩造影右冠显影不明显右冠保护


瓣膜释放

瓣膜释放完成左右冠显影良好撤出保护

瓣膜最终形态
术后随访:
术后患者早期脱机,心电图:窦性心律,一度房室传导阻滞,左束支传导阻滞。复查床旁彩超无明显瓣周漏。术后7天出院。术后用药:阿托伐他汀、阿司匹林、氯吡格雷、螺内酯。术后一月复查,心功能2级,心电图窦性心率,PR间期略延长。心脏彩超未见明显瓣周漏,瓣膜开放良好,无明显压差。
专家点评:
患者5年前出现心衰症状,2年前出现心绞痛。根据流行病学调查AS患者一旦出现晕厥、胸痛、呼吸困难等症状后2年内死亡率高达50%。入院时患者心功能IV级,心衰难以控制,STS评分8.7%,外科极高危。患者为三尖瓣,极重度钙化,瓣叶冗长,导致较高的冠脉风险。在术中球扩时确认冠脉风险,右冠脉未显影,遂采用右冠脉保护措施。通常球囊导丝保护可以起到较好效果,必要时可采用预埋支架的方式保障冠脉开口血流,一旦出现闭塞,可扩张支架挤开瓣膜。