冠状动脉CTA(CCTA)是一项比较好的冠状动脉评估手段。其优势在于让术者提前了解病变血管有无扭曲、病变段有无钙化、病变血管前后有无重要分支以及病变段是否临近心肌桥等。下面,以一例左冠状动脉前降支(LAD)中远段病变为例,来展示CCTA在药物洗脱球囊处理原位小病变血管中的指导价值……
患者信息
黄某,男,62岁,
活动后胸闷一周,
糖尿病史四年,
空腹血糖:9.1mmol/L,
糖化血红蛋白:7.8%,
LDL-C:2.97mmol/L,
心电图:正常心电图,
心脏超声:结构正常,LVEF:63%。
冠状动脉CTA





CCTA LAD病变特点:
近段血管较直
中远段血管偏细
中远段血管病变弥漫
病变段扭曲不很明显
病变段无重要分支发出
病变血管段有局灶点状钙化
处理策略:
小血管,优先选择药物洗脱球囊处理
PTCA+切割球囊+高压球囊+药物洗脱球囊



CCTA LCX病变特点:
LM前分叉正常
LCX相对较直
中段病变伴局灶点状钙化
处理策略:
PTCA+药物涂层支架(DES)
冠状动脉造影

右冠状动脉无严重狭窄

左主干前分叉处血管正常
LCX近中段病变,狭窄最重达90%


LAD中远段血管偏细,弥漫性病变,狭窄达90%
介入治疗策略
LCX,PTCA+DES;
LAD,PTCA+切割球囊+NC球囊+药物洗脱球囊
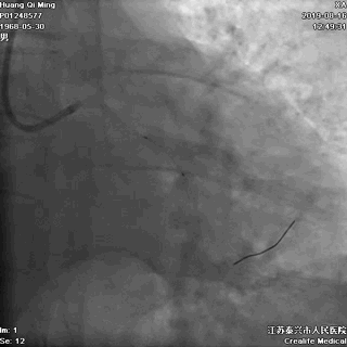
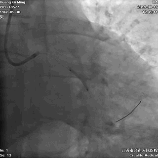
LCX PCI过程
手术器械:
7F EBU3.5
0.014” Runthrough NS
2.0*20 Maverick 球囊
2.75*23 DES
2.75*12 Quantum Maverick 球囊
3.0*8 Quantum Maverick 球囊

导丝通过病变

球囊扩张,PTCA

支架定位和植入

高压扩张使支架贴壁

LCX植入后即刻效果满意
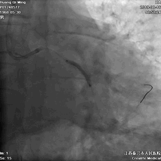
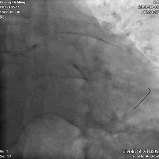
LAD PCI过程
手术器械:
7F EBU3.5
0.014“ Runthrough NS
2.0*20 Maverick
2.5*10 切割球囊
2.5*12 Quantum Maverick球囊
2.0*25 药物洗脱球囊
2.5*25 药物洗脱球囊

导丝通过病变抵达血管远段


8atm,2.0*20球囊行PTCA

8atm,2.0*10 切割球囊对斑块进行切割

16atm,NC球囊对斑块进行预处理

2.0*25 药物洗脱球囊,8atm*60秒释放药物

2.5*25 药物洗脱球囊,8atm*60秒释放药物


术后即刻效果满意
CCTA的指导价值
药物洗脱球囊最核心的操作要领:一是充分的斑块预处理,二是药物球囊迅速到达目标病变位置,从而实现最有效的药物定点释放。其中,CCTA的评估功能不容小觑。结合上面的病例,术前CCTA检查的必要性如下:
1、明确了LAD病变位于血管的中远段,比较弥漫,病变段血管整体偏细,是应用药物球囊的适应症;
2、根据CCTA检查的结果,知晓病变的情况,预先准备好相应型号的药物洗脱球囊;
3、病变段血管为局灶性钙化,提示病变的预处理应该会很顺利;
4、病变近段的血管较直,相对健康,药物球囊入路通畅;
5、左主干无钙化,前分叉正常,为选用7F指引导管和/或使用延长导管提供了机会。
一句话,CCTA提示LAD中远段的小血管病变,可以使用药物洗脱球囊处理(给术者吃了颗定心丸)。
友情提醒
不是每例患者都需要植入心脏支架
不是每例患者都适合药物洗脱球囊

人的一生走过很多路,有一条路不能拒绝,那就是成长的路;有一条路不能忘记,那就是信念的路。做CTO也是一样,每一份坚持都是成功的积累。
——葛均波院士

医生朋友们,节日快乐!