中国人民解放军总医院心内科TAVR团队于2011年2月完成全军首例经导管瓣膜置换术(TAVR),此后在陈韵岱主任,刘长福主任带领下,团队迅速发展,短时间内掌握TAVR技术。目前已成功治疗多名合并多脏器功能障碍的高危高龄患者,平均手术年龄在75岁以上,是迄今为止国内少数可独立完成TAVR团队之一。
经典病例
病例特点:
三叶瓣,瓣叶钙化中度,疑似瓣叶交界有部分粘连,瓣叶较为冗长,冠脉开口处可见部分瓣叶,主动脉根部角度较大。升主动脉和主动脉弓可见钙化,胸主动脉较为扭曲,横位心。
病史资料
患者资料:
患者男性,89岁,高龄男性,身高:165cm,体重75Kg。既往脑卒中,阵发性房颤病史。NYHA心功能IV级。STS评分:11.2%。近半个月出现胸闷、气短,双下肢浮肿,轻度活动即觉喘憋明显。心脏超声提示:主动脉瓣重度狭窄,AV最高流速4.2m/s,AV平均跨瓣压差49mmHg,LA48mm,LV53mm,EF:47%。重度主动脉瓣狭窄,双房增大。
血常规:WBC7.99*109/L,HGB117g/L,RBC4.41*109/L,PLT:248*109/L。BUN:11.71mmol/L,CR:96.2mmol/L, UA:602.3umol/L,NT-ProBNP9531pg/ml。
ECG:II、III、avF导联ST段轻度压低。
CT评估:
术前CT相关测量值:主动脉瓣环(长径)29.8mm,主动脉瓣环(短径)22.9mm,左室流出道 27.2mm,主动脉窦管交界处 31.5mm,升主动脉 38.5mm,主动脉瓣环距左冠状动脉开口距离 14.2mm,主动脉瓣环右冠状动脉开口距离 16.7mm,三叶瓣,瓣叶钙化中度,疑似瓣叶交界有部分粘连,窦部结构较大,冠脉开口较高,瓣叶较为冗长,冠脉开口处可见部分瓣叶,需要球囊预扩时造影确认冠脉风险,主动脉根部角度较大可能用到SNARE抓捕器。升主动脉和主动脉弓可见钙化,胸主动脉较为扭曲,过导丝需要轻柔谨慎尝试通过,避免产生夹层,必要时可能用到多根超硬导丝和长鞘。左右股动脉直径均可,但左右股动脉穿刺点均有钙化在侧后壁,穿刺时需谨慎处理。





术前团队讨论:
1.患者超声提示跨主动脉瓣血流速度 4.2 m/s, 跨主动脉瓣平均压差 49 mmHg,NYHA心功能分级IV级,结合患者临床症状有行主动脉瓣置换指征;患者临床评估为外科手术高危;患者影像学评估:主动脉瓣环内径、主动脉窦宽及窦高、升主动脉内径符合TAVR手术要求,虽然冠脉开口可见瓣叶,但冠脉窦较大,考虑冠脉堵塞风险不大,术中可球囊扩张时造影评估,可以选择直径29mm瓣膜,备26mm瓣膜;LCX远端重度狭窄,考虑患者冠脉右优势,LCX远端较小,且病人高龄,考虑术后抗栓治疗及出血风险,不再处理冠状动脉。患者降主动脉迂曲,考虑术中置入另一加硬导丝,牵拉迂曲主动脉,以改善通过性。横位心情况考虑若瓣膜无法通过主动脉开口,备用Snare圈套器辅助通过。
2.术中麻醉:采用静脉复合麻醉,在保持一定镇静深度的基础上,辅以局部麻醉药完成各项有创操作及手术,术毕尽快拔管。
3.围手术期药物治疗:予以双抗血小板聚集、调脂、利尿、抗感染治疗。
4.患者围手术期脑血管事件高风险,合理抗栓治疗。
手术过程 STEP BY STEP挑战高难度
1.辅路穿刺上6F鞘建立血管通路。
2.微穿刺针穿刺主路造影确认穿刺位置在股动脉血管中心。
3.两把porglide预缝合。上6F鞘建立血管通路。
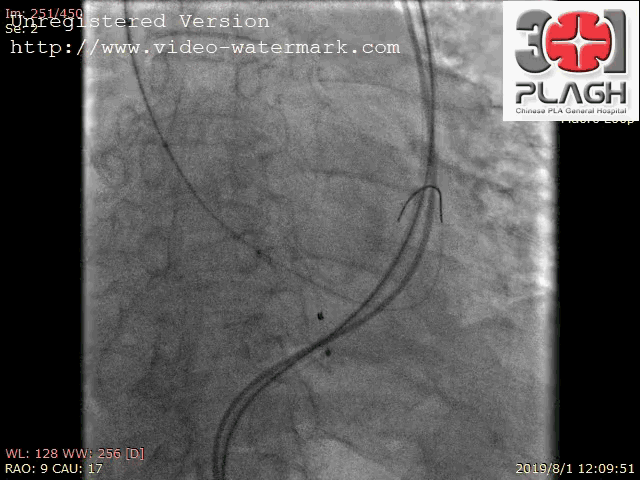
4.辅路上J型导丝6F猪尾导管至无冠窦窦底行主动脉根部造影。

根部造影
5.主路上J型导丝,沿J型导丝送入AL2导管至窦底,交换260cm直头导丝跨瓣。
6.跨瓣成功后,AL2导管跟进左心室,但由于降主动脉成角扭曲消耗了导管长度,且该患者瓣环与水平面角度较大接近横位心,AL2导管坐在无冠窦窦底导管头端只能勉强跨过主动脉瓣膜位置。

跨瓣交换导丝
7.交换J型导丝送入猪尾导管,同样由于降主动脉角度过大和横位心问题猪尾导管经多次调整仍无法进入左心室,导管有效长度已完全进入大鞘内。
8.运用双导丝技术,将左侧辅路猪尾导管内置入一根Lunderquest超硬导丝,尽量将降主动脉血管扭曲部分拉直,让猪尾导管的操控性更好可以送的更深。
9.推送主路猪尾导管进入左室,横位心的原因导管坐在无冠窦窦底,进入左室深度较浅,始终保持头端上翘的姿态。沿导管送入已塑形的Lunderquest超硬导丝,调整导丝无法到达心尖位置,始终顶在心室侧后壁。此处心肌较薄弱,导丝如在此位置球扩或释放瓣膜极易造成心肌损伤甚至穿孔所以放弃尝试。
10.经讨论首要问题还是解决降主动脉扭曲问题。COOK长鞘?院内库存最大只有7F球囊无法通 PASS! 先心病房间隔穿刺鞘 14F 95cm 长度过长,内径足够球囊通过但球囊长度只有100cm 配套Y阀只有12F,容易出血,操作不便,PASS!左心耳封堵长鞘 14F 75cm 很适合,就它了。
11.主路更换长鞘,推送长鞘至升主动脉,重新跨瓣交换超硬导丝,调整导丝位置至心尖部。CT提示左冠开口水平可见瓣叶,有一定冠脉风险,担心降主动脉扭曲程度较大瓣膜输送器可能无法通过,同时降低扩张后产生中重度反流的几率,所以选择20mm小号球囊预扩张,打左冠切线位观察瓣叶运动情况。

球扩
12.20mm球囊预扩后峰值压差50mmHg流速3m/s,反流情况基本没有变化。瓣叶对左冠灌注没有影响。
13.继续做?到此为止?
14.经反复讨论还是在可控范围内迈出一步勇敢的尝试一下。毕竟之前已经付出了那么多的努力。最终方案:一、根据CT提示装载Venus A L29 瓣膜,实验输送器是否可通过降主动脉扭曲位置。如可以通过,继续用23mm球囊预扩张植入L29瓣膜。二、如过无法通过,首要保证患者安全,手术结束缝合下台。
15.撤出长鞘更换20F大鞘,沿超硬导丝送入输送器。缓慢通过扭曲位置,经过几次调整最终顺利到达升主动脉。
16.经过尝试方案一可行。撤出输送器,进行23mm球囊预扩张,左冠切线位再次确认冠脉风险。

球扩
17.无冠脉风险,沿超硬导丝送入瓣膜系统,跨瓣时通过推拉导丝动作,顺利跨过狭窄的大角度瓣膜。根据猪尾最低点定位释放。

根部定位
18.前三分之一缓慢释放,待瓣膜前端张开行120pbm起搏,降低左室压力提高瓣膜稳定性。

释放
19.前三分之一定位好之后,中间三分之一快速释放至瓣膜工作区域,停起搏。超声测量流速2m/s观察瓣膜位置良好无瓣周漏不影响二尖瓣功能。

释放
20.后三分之一缓慢释放,轻轻向内推输送器。顺时针旋转旋钮至瓣膜与输送器完全脱离。

释放
21.将输送器拉到降主,胶囊腔复位,撤出体外。
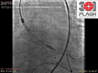
22.最后造影

最后一枪
23.收紧预埋的proglide缝线闭合主入路。辅入路降主造影评估没有狭窄渗血。降主扭曲部分无夹层。闭合辅入路下台。

入路造影
术后管理:
术后进行监护治疗,并予以补液扩容、抗感染治疗,床旁超声提示人工瓣膜形态位置良好,未见心包积液、主动脉根部血肿。患者于术后24小时拔出临时起搏器,并下床活动和康复训练。术后药物治疗方面:予以阿司匹林、氯吡格雷抗血小板。患者于术后第7天出院,并告知术后1个月、6个月及1年完成常规门诊随访,完成化验和心动超声检查,1个月和1年建议复查主动脉增强CT评估人工瓣膜形态位置及亚临床血栓情况。
专家点评:
该病例为有症状的重度主动脉瓣狭窄患者,高龄患者。临床评估为外科手术高危,外科换瓣风险极高,符合TAVR手术适应征,无明显禁忌。该患者经严格术前评估,适合行TAVR,并选择Venus-A 29 mm瓣膜置入。
该患者虽然合并多种心血管合并症及非心血管合并症,年龄较大,但患者无严重肺基础疾患等,且心脏射血分数尚可。因此,术中采用静脉复合麻醉,术后即刻即拔除气管插管,恢复良好。
该患者术前CT评估可见明显的胸主动脉迂曲和横位心,明显增加操作难度,术前我们建立了完善的操作预案,通过加硬导丝改善迂曲角度,增加通过性,较顺利的完成了手术过程。
术后由心脏瓣膜病团队各成员进行协作管理,主要内容包括:瓣膜功能定期监测、合并症管理、监测心律失常及心肌梗死事件、改善生活方式及减少不良心血管事件因素、合理抗栓治疗、口腔管理及预防性应用抗生素、患者宣教及综合护理、心脏康复及适量运动。术后抗栓策略,终身服用阿司匹林75~100 mg,同时在六个月内结合氯吡格雷75 mg。该患者虽有LCX远端重度狭窄,考虑患者冠脉右优势,LCX远端较小,且病人高龄,考虑术后抗栓治疗及出血风险,不再处理冠状动脉。
