逆向技术常用于顺向技术失败或者顺向技术十分困难的CTO患者,通过对侧或者同侧侧枝循环血管所形成的交通血管,进入闭塞病变的远端,再通过各种不同的方式对闭塞病变进行干预。逆向侧枝通过是逆向技术最大的难题,第二十二届全国介入心脏病学论坛(CCIF 2019)召开期间,空军军医大学西京医院李妍教授从逆向侧枝的选择和评估、逆向导丝的选择和操作手法等方面对逆向侧枝通过技巧进行了详细讲解,进一步促进了该技术的普及、规范和提高。
逆向侧枝的评估与选择
逆向侧枝通过步骤包括侧枝分析读图、导丝通过侧枝、微导管通过侧枝、微导管及导丝到达CTO远端纤维帽。其中,掌握侧枝读图分析要领,对侧枝进行正确的评价和选择是保证侧枝通过成功的重点。侧枝读图的要点主要包括侧枝类型、侧枝分级、侧枝入口成角、侧枝迂曲程度以及侧枝出口成角等五个方面。
逆向侧枝分型
逆向侧枝类型包括SVG/LIMA、穿隔支、心外膜通道,其中心外膜通道约占10%,是最难以处理的类型,其迂曲最严重、穿孔风险最高、导丝通过难度最大,而且不能进行球囊扩张。因此,逆向侧枝一般优先选择穿隔支而不是优先选择心外膜侧枝。

逆向侧枝分级
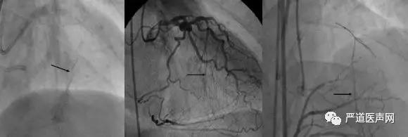
逆向侧枝可以分为CC0、CC1、CC2三级。CC0为供体动脉与受体动脉之间无明显连接;CC1为连续线性连接;CC2为峡部侧枝分叉尺寸较小。逆向侧枝通过应避免血管内迂曲成角、螺旋状、钙化等,其最佳类型为可以通过微型导管清晰显示CTO远端血管,包括CC1和CC2分级。

CC0级(左) CC1级(中) CC2级(右)
逆向侧枝分级
逆向侧枝类型
给右侧冠状动脉(RCA) CTOs病变提供逆向侧枝的类型,按照出现频次依次为LAD穿隔支-PDA(72%)、AV支-PL支(50%)、桥血管(19.3%)、LAD心外膜-PDA(14.5%)、LAD-RV支(11.6%)以及RA支-RCA远端(9.1%)等6种类型。
给LAD CTO病变提供逆向侧枝的类型,按照出现频次依次为PDA-穿隔支-LAD(52.3%)、RV支-LAD(26.8%)、OM支-对角支(22.9%)、对角支-LAD远端(20.9%)、RA支-LAD(17.6%)以及LAD近端-LAD远端自身侧枝(15.7%)等6种类型。
给LCX CTO病变提供逆向侧枝的类型,按照出现频次依次为对角支-OM支(右优势 32.9%、左优势 27.3%)、PL支-AV支(右优势18.4%、左优势36.4%)、桥血管(右优势18.4%、左优势 9.1%)、OM支-OM支(右优势10.5%、左优势18.2%)、PDA-OM支(9.2%)以及RA支-LCX远端(8.0%)等6种类型。

侧枝通道评价
理想的逆向侧枝通道应具备直径大、清晰可见,钙化迂曲较少、迂曲处无分支、通道连续的特点,严重扭曲成角、入/出口夹角大或显示不清、迂曲处有较多分支,是开通失败的最主要原因。可以采用以下四种评分方法对逆向侧枝通道进行评价,得分越高,适宜度越差。

评分一为侧枝连续度及直径大小,越不连续,越不可见,得分越高;

评分二为供支血管侧枝入口,锐角、有分支,植入支架分值越高,钝角、无分支,分值越低;

评分三为侧枝迂曲度,弯曲越多或急弯处有分支,得分越高;

评分四为侧枝进入闭塞血管角度,进入CTO段角度越小,距离越短,得分越高。
穿隔支选择注意点
在穿隔支的选择中,早年认为尽可能不选择第一间隔支作为逆行导丝技术的通路,因第一间隔支导丝通过或小球囊扩张时若发生血肿,极可能会导致左室流出道的梗阻和(或)影响心脏传导系统,导致严重的心血管事件。随着技术和器械进步,并发症显著降低,选择第一间隔支也非常常见。还可见第2、3和4间隔支等。当具有多条逆向通路可选时,应选择相对直、支撑力好、无Z字形成角,拐弯处无分支的通路。选择优先度顺序依次为直>粗>穿隔支>自身逆向>心外膜>过度迂曲。
逆向导丝的选择和操作手法
逆向导丝的选择
逆向导丝的发展经历了聚合物保护套导丝Field FC(2006年)、柔软锥形头端导丝Fielder XT(2007年)、全新技术复合核芯导丝SION(2009年)、复合核芯+柔软锥形头端导丝XT-R/A(2011年)、全新技术复合核芯导丝SION、SION blue/black (2015年) 以及全新逆向导丝Souh03(2016年)6个阶段。
逆向导丝应具备安全、扭控性强、跟踪性强、适度摩擦力等特点,SION、XT-R、Souh03导丝是目前使用最广泛的三种逆向侧枝通过导丝。
逆向导丝的操作方法
在逆向导丝操作时,需要将头端塑型为1mm小弯,推送时注意缓慢、轻柔。在遇到非常迂曲的情况时,不要急于推进,而是随心跳缓慢前行;也有人塑形为损毁性头端,或3D形状,以提高极度迂曲血管的通过性。在CC0-1级通道中,需要使用Surfing技术。同时,操作过程中要及时进行Tip injection,便于调整侧枝。
Surfing技术适用于CC0-1级的逆向侧枝以及非常迂曲的逆向侧枝,以SION、XT-R、Souh03为主要导丝,操作中要注意导丝轻柔,随心跳推送,不断尝试所有分支。在有些看似不可能的情况中,Surfing反而会意外成功。
逆向途径失败常见原因及对策
分析逆向途径失败的原因时发现,导丝失败占20%,MC失败(无法通过侧枝)占7%。当出现MC无法通过侧枝时,可以采用子母导管增强GC支撑力、边支球囊锚定等增强支撑方法;采用Carevel、threader、APT1.7F微导管等外径更小的微导管;采用1.0mm小球囊扩张侧枝通道;或者改用其他侧枝;无效时可转换正向,使用ADR等其他策略。
总结
逆向技术显著提高了复杂CTO介入治疗的总成功率。逆向侧枝的精确分析与评估是逆向技术成功的一半。首先应掌握逆向侧枝读图分析要领,对侧枝循环的类型、分级、评分等指标进行仔细分析,才能对侧枝进行正确的评价和选择。其次使用正确的导丝,多选用复合核心扭控力好的软导丝。当有多个逆向侧枝可供选择时,选择优先度顺序依次为直>粗>穿隔支>自身逆向>心外膜>过度迂曲。使用恰当娴熟的导丝推送及Surfing手法,导丝通过后MC通过需要一些技巧和难点应对,包括增强支撑、更换微导管、小球囊扩张侧枝通道等,这样方能顺利通过逆向侧枝循环。