2019年5月23日,复旦大学附属中山医院心外科主任王春生教授、中山医院心外科副主任兼微创心外科主任魏来教授、杨晔主治医师、王文硕医师在麻醉科郭克芳教授、心超室董丽莉教授和李伟主治医师、心内科徐世坤主治医师、放射科杨雪主治医师密切配合下,为一位年逾七旬的高危二尖瓣重度返流患者成功实施了经导管二尖瓣置换术(TMVR)。患者术后二尖瓣返流程度立刻转为轻微,当天下午恢复清醒并拔除气管插管,次日即离开监护室回到普通病房,这是亚洲范围内首例成功实施的经导管二尖瓣置换手术,也是中国瓣膜病介入治疗领域新的里程碑。

中山医院心脏外科手术团队
72岁高龄的徐奶奶3年来反复出现活动后胸闷气急、夜间阵发性呼吸困难、双下肢严重水肿、房颤、频发室性早搏,多家医院内科保守治疗无效,经中山医院心超确诊为二尖瓣前叶大范围脱垂伴重度反流,左心室内径显著扩大至77mm,LVEF降低为49%,心衰标志物NT-proBNP高达13072 pg/ml。由于该患者高龄、体质弱、心功能差,属传统外科开胸手术高危。经中山医院心脏团队反复研究讨论,复旦大学附属中山医院医学伦理委员会最终批准由王春生教授团队为患者实施经导管二尖瓣置换手术。术中医生仅在患者左胸做一个约4cm的小切口,将一根细细的导管经心尖输送进病变的二尖瓣部位,在心脏不停跳状态下快速完成二尖瓣置换,关键操作时间仅10min,瓣膜反流立刻从术前的重度减少为轻微,术中几乎无出血、无传导阻滞、无流出道梗阻,血压心率均平稳。

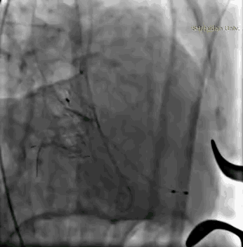
术前左心室造影,二尖瓣重度反流

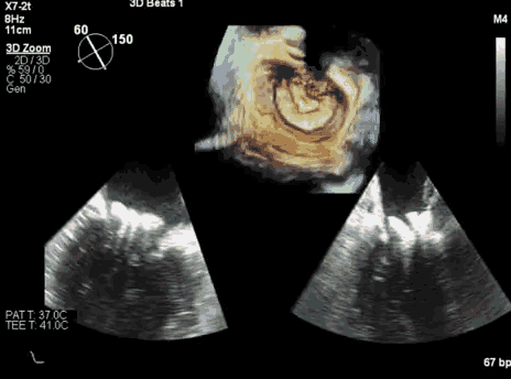
术中食道心超引导人工瓣膜定位释放

经导管人工二尖瓣释放过程

术后左心室造影,二尖瓣反流基本消失


术后患者恢复良好,第二天一早转出监护室
二尖瓣反流是老年人最为常见的心脏瓣膜病变,人群中罹患率高达2%,且发病率随着年龄逐步增长,70岁以上人群中超过5%。以往中重度以上二尖瓣反流只能通过传统开胸体外循环手术才能治疗,但对于存在多种合并症的高龄高危患者,传统手术的创伤和风险均很大,大量患者因此放弃手术,最终心衰不治。经导管二尖瓣置换术(TMVR)由于无需开胸、无需心脏停跳、无需体外循环,大大降低了手术创伤,成为继经导管主动脉瓣置换术(TAVR)之后的又一个研究热点。近年来欧美多个医工结合团队投巨资研发TMVR技术,但由于二尖瓣结构的复杂性,研发难度非常大,目前均处于探索性阶段,全球成功实施的临床病例数不超过300例。
作为“上海心脏瓣膜工程技术研究中心”依托单位,复旦大学附属中山医院心外科一直致力于心脏瓣膜领域的基础与转化研究。自2015年起,在上海市科委科技创新行动计划——产学研医合作项目“新型心脏微创伤二尖瓣置换系统研发及成果转化(16441904100)”资助下,王春生教授、魏来教授与上海纽脉医疗科技有限公司合作研发成功Mi-thos经导管二尖瓣置换系统,成为亚洲第一款获批开展探索性临床应用的经导管二尖瓣置换系统(下图),本次手术的成功实施也标志着中国已跻身世界TMVR研究领域的第一方阵。


Mi-thos经导管二尖瓣置换系统植入示意图