急诊遇上左主干病变怎么办?病变波及至左主干,急性心肌梗死的死亡风险大大增加,预后也变得扑朔迷离。下面的病例,心电图提示急性前壁心肌梗死,冠状动脉造影发现左主干呈线样狭窄,这一下子就提高了手术的难度。如何最大程度地在保障患者安全的前提下迅速完成急诊手术,下面的病例值得一看……
一、病史资料
——最危险的心肌梗死
患者,祝某,男,70岁,因“突发胸痛2小时”于2019-05-07晚上九点左右呼叫“120”抵达泰兴市人民医院胸痛中心。其主要症状是持续地前胸压榨性闷痛,伴有大汗和濒死感。
查:双上肢血压对称,123/73mmHg左右,颈静脉无怒张,肺部无啰音,心率不快,心脏未闻及杂音,腹部无压痛,下肢无水肿。既往有高血压病史7年,一直口服降压药控制血压平稳。

首份心电图:急性前壁心肌梗死超急性期
胸痛中心遇上急性ST段抬高型心肌梗死(STEMI),不等心梗三项指标结果,立即嚼服阿司匹林300mg和替格瑞洛180mg后,迅速安排患者去导管室行急诊冠状动脉造影检查。

去导管室途中,全程监护,心脏除颤器伴行

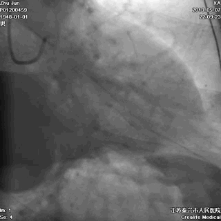
胸部X-线透视,掌握患者更多基础信息


右冠状动脉无严重病变

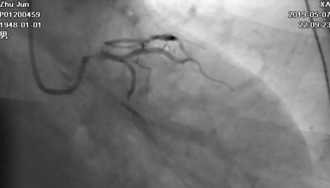
冠脉左主干线样狭窄
回旋支主支中段闭塞
前降支开口次全闭塞
至此,症状、心电图结合冠状动脉造影检查结果,该患者“急性心肌梗死”诊断明确,冠脉造影提示血栓向主干延伸,病情非常危重,死亡风险极大,需要紧急行心脏介入手术。讲明疾病风险和手术风险后,患方很快接受介入手术。
二、制定治疗策略
——最大程度地让患者存活下来
这例除了疾病本身的风险(左主干+前降支+回旋支病变),还有比较高的手术风险。术中稍有差池,患者就可能一招致命。所以,要救活这位患者,光有救人的热情还不够,还得制定周密的手术策略,精准操作,才有可能更好地救活病人。
介入治疗前,充分的抗血小板和抗凝治疗。除了术前嚼服的“急救一包药”,充分的肝素化,左冠脉内预先替罗非班注射,经外周静脉泵注替罗非班等等,都是为了最大程度减少新发血栓形成和慢血流的风险;
做好主动脉气囊反搏准备或直接行主动脉气囊反搏;
防止指引导管嵌顿和深插,减少不必要的额外风险;
鉴于左冠的严重情况,术中尽可能“少冒烟”,减少造影的次数,避免因推注过量造影剂而诱发的室颤;
前降支和回旋支都得预留有导丝,万一发生意外情况时可以及时处理;
考虑到血栓脱落至回旋支的可能,不推荐一上来就进行血栓抽吸;
预防和减轻心肌的缺血再灌注损伤;
急诊手术以开通血管恢复血流为主,不追求完美操作;
推荐择期IVUS评估。
三、手术经过
步步为营,守护生命
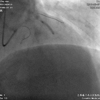
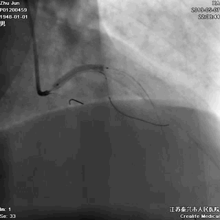
一、指引导管到位
---防止导管嵌顿和深插

主干开口病变,指引导管嵌顿或深插,就可能一招致命

游离一根导丝至升主动脉,防止导管深插

轻轻冒烟,证实指引导管到位

轻轻冒烟,大致了解前降支的情况
这一步相当重要。否则,无论是导管嵌顿,还是导管深插,稍不留意患者都有可能一招致命。
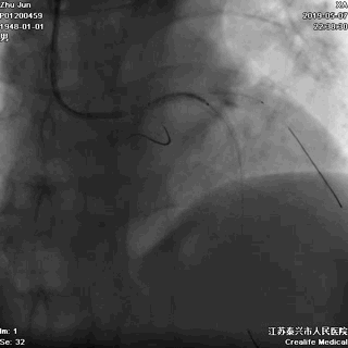
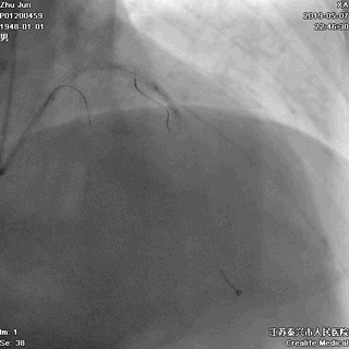
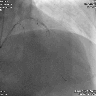
二、导丝到位
---筑牢生命线

导丝分别进回旋支和前降支
LAD和LCX,任一根血管都不能丢!这一步的价值,就相当于是构筑生命线。
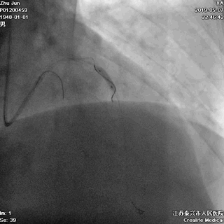
三、球囊扩张病变
---打通生命通道



前降支至左主干行PTCA
四、STENT植入
---巩固胜利成果

前降支植入第一枚STENT


前降支-左主干STENT定位和植入
五、高压后扩张
---保证STENT充分贴壁



非顺应性球囊高压后扩,保证STENT充分贴壁
六、主干支架近段优化
---不能省略的步骤

大一号球囊高压扩张近段STENT
七、最终结果
---即刻效果完美




手术即刻效果完美,患者存活
八、术后即刻心电图
---再灌注治疗高效

术后即刻心电图
抬高的ST段基本回落
评价心肌再灌注治疗的效果,除了症状好转,还有心电图,就是一个直接而又简单的方法。胸前导联抬高的ST段(参见前面的术前心电图)在血管开通后的即刻就明显地回落,几乎回到了等电位线的水平,说明心肌的再灌注治疗非常成功。
九、患者的转归

术后,患者恢复良好,再无胸闷、胸痛等症状发生。心脏超声检查提示心肌收缩功能良好,左室射血分数正常(70%)。出院前我们建议患者行血管内超声检查,可能是因为恢复得很好,患者拒绝接受血管内超声检查。住院六天患方办理出院,嘱其按医嘱服药,戒烟戒酒戒麻将,保持良好心态,预约心内科门诊随访和电话随访。
四、总结与思考
急性心肌梗死的救治,最核心的理念就是尽快实施心肌的再灌注治疗(静脉溶栓或急诊冠状动脉介入手术)。此病例,在我们告知患方需要行急诊手术后,他们二话没说,立即签字同意手术,为后续的救治赢得了宝贵的时间。时间就是生命。给医生机会,就是给自己活命的机会。从患者抵达急诊到球囊扩张(D2B),我们用时仅为45分钟。发生心梗后立即签字同意手术,仅仅这一点,就值得我们所有人学习。
冠状动脉前降支急性闭塞累及左主干,是最危险的心肌梗死,需要医生朋友们争分夺秒地进行抢救。除了优化流程快速救人之外,术者还要在脑海中迅速形成合理的手术策略。参考本例的手术操作,步步为营,稳扎稳打,有智慧地开通闭塞的血管。让患者活下来,让患者更好地活下来,让我们的努力更有价值,这是医患双方的共同心愿。