
2019年4月24日,CTO WEEK进入第三天。在第四演播室,空军军医大学西京医院分会场转播精彩手术。其中,李妍教授团队演示了一例高难度手术,通过IVUS指导下正向穿刺成功开通了齐头闭塞16年的前降支CTO病变,其精湛的手术技巧赢得众多专家的一致好评。

李妍教授团队术后合影
病例简介
患者信息:63岁老年男性,主因“发作性胸痛、胸闷16年,再发1周”入院。患者16年前急性心梗后行保守药物治疗。相关危险因素包括吸烟史6年,60-80支/天。
入院后化验检查:心肌损伤标志物阴性,NT-proBNP : 322.7pg/mL;心电图:窦性心律,心率75次/分,V1-V3呈QS或Qr型,ST段V1-V4抬高≥0.1m;心脏彩超:LVEF47%, 瓣口水平以下广泛左室前壁心肌梗死,左室心尖部圆钝,左房、左室大,左室收缩、舒张功能减低。
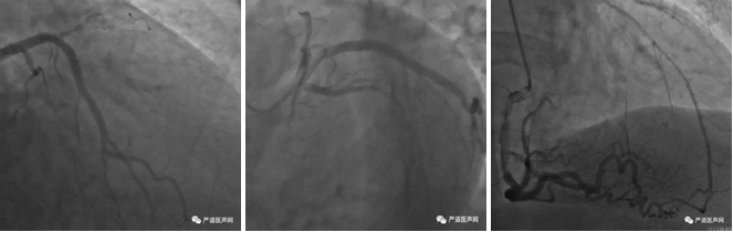
1周前外院造影显示:RCA,LCX,LM大致正常,LAD齐头闭塞,逆向侧枝分别为:
1. 经穿隔支提供自身逆向侧枝(迂曲度大);
2.经RCA-右室支-心外膜侧枝提供逆向侧枝(迂曲度大);
3. RCA-PD分支经间隔支提供逆向侧枝(CC-2级及CC-0-1级)。
4. 经RCA-右室支-间隔支提供逆向侧枝(z字形扭曲)。CTO远端终止于LAD-D分叉处。

此次手术首先进行了双侧造影,正向使用的是经股动脉7F EBU3.5的指引导管,逆向是经桡动脉6F AL1.0导管。多个体位双侧造影结果可见右冠优势型,右冠发出数条侧支血管为闭塞的前降支提供血流灌注,包括右室后支、及后降支等。其中右室支较为粗大,但是走行迂曲,通过心外膜经心尖为前降支逆向供血,此外后降支也同样有可供逆向操作的侧支血管。前降支的闭塞病变为齐头无残端的闭塞,长度约20mm,入口处有钙化。因此J-CTO评分3分。

李妍教授团队线上手术转播中,演播室主持专家互动讨论
专家讨论手术策略
针对这一病例的手术策略,主持专家中国医学科学院阜外医院宋光远教授,武警总医院罗建平教授、首都医科大学附属北京安贞医院崔松教授,对此病例展开了激烈的讨论。
罗建平教授认为该病例较为复杂,前降支入口及逆向血管走行不清,建议先尝试在微导管指引下使用中等强度导丝前降支正向开通,走行一段距离后若导丝进入困难可再升级导丝。
崔松教授指出,蜘蛛位、头位可见大间隔支的自身逆向灌注,可先考虑尝试在IVUS指导下进行前向穿刺。
宋光远教授表示,虽然此病例看似可供逆向操作的侧支血管较多,但实际上每一支都难度较大,逆向侧支均走形迂曲,多见Z字形、螺旋形弯曲,通过难度较大,且自身间隔支也通常存在锐角弯曲。建议首先尝试正向突破。
手术策略
1.首先在IVUS指导下寻找入口,首先尝试正向开通,正向导丝失败切换逆向。
2.逆向侧枝首选PD-间隔支侧枝进行尝试。心外膜、自身逆向不做首选。
3.如果逆向导丝失败,切换实施bail-out ADR技术。虽然远端CTO段终止于分叉处,存在较大的对角支,但可以尝试a. double stingray技术分别进入LAD及D1;b.导丝技术开通对角支(导丝进入角度较顺),在对角支之下,启动ADR。
手术过程
选定正确合适的正向入口对于手术的成败来说至关重要,该病例考虑正向为无残端形态,可通过穿隔支直接在IVUS指导下进行纤维帽的突破,尽量避免盲目穿刺。
先使用SION导丝到达穿隔支,送入IVUS导管留造影图帮助确定穿刺大概位置,IVUS显示LAD-CTO入口处存在明显钙化。因此直接选择GAIA3导丝,穿刺失败后,更换为Conquest Pro导丝,成功向前推进,进入CTO体部,停止前行,并再次使用IVUS判断导丝进入位置,显示穿刺位点比较理想。
后在逆向造影指导下,顺利将CP导丝推进至对角支,并使用1.5球囊扩张分叉近端。使用双腔微导管辅助,使用第二根导丝GAIA3,突破进入LAD远端。Trapping撤出双腔微导管,更换软导丝。2.0球囊分别扩张LAD及D1后,使用IVUS判断导丝走形,分叉处导丝有5mm左右在内膜下走形,预扩张后对角支开口到中部弥漫性病变存在夹层,决定从原计划的拘谨球囊+单支架策略转换为双支架策略。使用mini-Crush技术于前降支近中段及对角支植入三枚支架。
李妍教授总结,面对CTO病变,详细的读图及预案准备很重要。术前预案越复杂,考虑到各种困难和应对方案,术中越能头脑清晰,保证整个手术进程简洁清晰。IVUS有助于评估开口斑块性质,指导导丝选择,硬导丝不宜迅速推进,有方向有目的前行方能减少并发症,提高效率。