2019年4月10-13日,第21届中国南方国际心血管病学术会议在广州白云国际会议中心隆重召开。值此盛会召开之际,吉威医疗以原创、经典、稳健、公益为理念,成功举办“给生命一个支点”主题学术分享会。

会议现场
会议邀请到广西医科大学第一附属医院李浪教授、广东省人民医院张斌教授、广东省中医院陈秋雄教授、中南大学湘雅医院李传昶教授担任主持和点评嘉宾;广东省中医院何志凌医生、桂林市人民医院李斌医生、郴州市第一人民医院心血管病医院王仲华医生、昆明医科大学附属延安医院杨栋医生(金青医师代)、南方医科大学珠江医院张瑞环医生依次通过精彩的实际病例分享,真实呈现吉威医疗旗下Excel(爱克塞尔)、Excrossal(心跃)支架在主干病变、CTO病变、小血管病变、右冠病变逆行等病变处理中,在术中通过性、术后效果以及患者预后等方面的优异表现。

主持专家精彩点评
何志凌:Excrossal(心跃)征服迂曲RCA病变一例

何志凌教授精彩分享
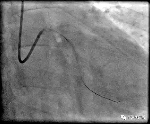
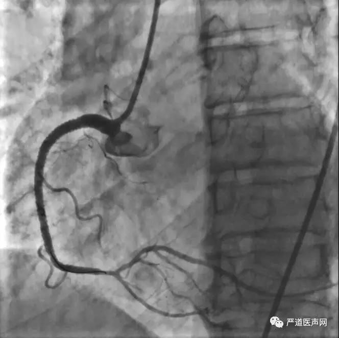
首先何志凌教授带来了一例迂曲RCA病变的报告。患者女性,74岁,主诉胸闷、胸痛1月,既往高血压、结肠息肉切除、萎缩性胃炎。实验室检查:BNP1237pg/ml。UCG示左心室稍大,主动脉瓣、二尖瓣中度返流。行冠脉造影示RCA迂曲伴多发狭窄。诊断为冠心病。
手术策略为先处理近端狭窄,改善血流量后再处理远端病变。先后用2.0×15mm和2.5×15mm球囊扩张,在Guidezilla导管的支撑下,远端植入2.5×24mmExcrossal(心跃)支架,近端植入2.75×33mm Excrossal(心跃)支架,术后造影如下图。随访未发生任何不良事件。

李斌:细微处见真章——Excrossal(心跃)应用于小血管PCI一例

李斌教授精彩分享
李斌教授带来了题为“细微处见真章——小血管PCI一例”的病例汇报。患者为63岁男性,行冠脉造影示LCX远端重度狭窄,直径较小,考虑有可能是狭窄后充盈不足所致。
手术策略为先行PTCA,给足量硝酸甘油后,根据血管直径决定是否行PCI。将6F EBU3.5 Sion blue导丝送至LCX远段,用Trek 1.5*15mm球囊8-12atm预扩张后,给予硝酸甘油200ug冠脉内注射。用导丝头端测量病变长度,选择Excrossal(心跃)2.25*24.5mm支架8atm*8s释放,12atm*10s后扩张。术后造影如下:

李斌教授结合临床应用体会,总结了Excrossal(心跃)支架系统的优势:钴铬合金平台,支架Crossing Profile小,更易通过小血管;S-直link以及开环支架设计,保证了支架输送过程中系统的柔顺性;追踪性好,输送系统在导丝上随导丝头部沿血管路径包括狭窄的和弯曲的血管的前进能力强;优化了药物剂量,不影响再狭窄率前提下有快速内皮化优势;经典聚乳酸可降解单面涂层技术,降低支架内血栓风险,内皮化更完美。
王仲华:Excel(爱克塞尔)逆向开通CTO一例

王仲华教授精彩分享
来自郴州市第一人民医院心血管病医院的王仲华主任为大家带来了一例右冠开口支架内CTO的精彩汇报。患者为55岁男性,2016年12月因“急性广泛前壁心肌梗死”于前降支近中段植入支架2枚,2017年2月在右冠近中段植入支架2枚。行双侧造影示:LAD支架畅通,与RCA形成侧支循环,RCA开口闭塞。由于RCA入口位置不定,指引导管无法判断是否到达入口,无法定位原支架的位置,而LAD有侧支循环,决定选择逆向途径。
手术策略为正向微导管等待逆向微导管及导丝。术中逆向入Sion导丝,Corsair 150mm微导管跟进困难,故更换Finecross 150mm微导管后顺利通过,逆向导丝升级入前向指引导管,但逆向微导管跟进困难,遂正向指引导管再入Corsair150mm微导管Rendexous成功。

前向Corsair微导管无法通过RCA C1段。原因可能为前向Guiding支持不足、支架内闭塞组织坚韧、原有病变钙化+支架膨胀不全、导丝行走于支架外等。遂后退逆向导丝、微导管,前向通过Sion导丝,但前向Corsair微导管仍然无法通过,退出,使用1.2mm球囊后扩张,最终植入两枚Excel(爱克塞尔)支架。

杨栋(金青医师代):左主干病变诊断进展与策略选择观点

杨栋教授(金青医师代)精彩分享
杨栋教授(金青医师代)首先系统的介绍了左主干病变诊断治疗进展,并进一步对比了PCI与CABG的在左主干病变治疗中的疗效。大型研究Excel及NOBLE均认为在短期(1个月)内,PCI的围手术期死亡率、心梗率较低而占有优势,在3-5年内CABG的MACE事件发生率较PCI低,5年后的差异无统计学意义。目前我们推荐使用SYNTAX评分指导手术类型,低危患者适合PCI,中高危患者适合CABG。
对于左主干分叉支架技术选择,杨栋教授表示,如果病变只累及到开口,单导丝通过即可,如果病变累及到末端分叉病变,需要双导丝操作。根据病变的简易程度,选择不同的术式。如果分支狭窄<70%或者病变长度<10mm的简单病变,我们使用单支架技术,必要时用双支架技术。如果分支狭窄>70%或者病变长度>10mm的复杂病变,则使用双支架技术。
最后金青医师通过多例病例,分享了Excel(爱克塞尔)支架在左主干病变介入单支架、双支架、T支架技术、Culotte技术、DK crush技术等策略中的应用。
张瑞环:Excel(爱克塞尔)应用于右冠CTO逆向PCI技术一例

张瑞环教授精彩分享
张瑞环教授给我们带来了一例右冠CTO的典型病例:患者为71岁男性,入院诊断为冠心病/缺血性心肌病、慢性心衰(NYHA III级)、心律失常 室早、高脂血症、高尿酸血症。
第一次造影显示:右冠分出锐缘支后即闭塞;前降支中端为弥漫性病变。术中右冠未做特殊处理,前降支给予支架植入达到完全开通。患者术后50天复查,劳力性胸闷症状较前减轻,实验室检查结果较前好转,第二次冠脉造影提示:右冠情况同前,左冠管柱尚可。
分析患者病情,患者虽症状较前改善,但心功能指标仍然偏低,开通右冠对患者心功能改善有益。鉴于右冠之前有介入治疗史,并且表现为两处较长病变、侧支循环尚可,所以选择逆向造影方案。通过左冠的侧支循环进入右冠远端进行逆行性造影,并根据造影结果于右冠远端植入3枚支架,术后造影如下图所示:

张瑞环教授最后总结了CHIP患者的治疗策略,指出此类患者PCI术中应有可靠地血流动力学证据支持,冠脉内影像可以优化手术效果,同时术后合理的药物治疗方案对改善预后也起着重要作用。
吉威医疗
长期以来致力于为介入治疗提供先进的解决方案,旗下EXCEL(爱克塞尔)心脏支架作为全球首个应用于临床的生物可降解涂层药物洗脱支架,通过科技创新引领了整个介入治疗的新潮流; EXCROSSAL(心跃)继承了EXCEL的高起点,并在此高起点平台基础上进行了新的突破——采用新一代的钴铬合金支架;降低药物量,涂层更薄,药物释放时间达到最优,更安全,避免晚期血栓形成,可有效减少DAPT时间。
此次“给生命一个支点”主题卫星会的成功举办,通过实战病例,让与会者对EXCEL(爱克塞尔)及 EXCROSSAL(心跃)优异的临床表现有了更直观深入的认识。期待未来吉威医疗旗下心脑血管器械,继续更好的助力临床医生为患者解除病痛。