
CSI Asia-Pacific 2019会场速递
2019年2月22-24日
2019年2月22日~24日,先天性、结构性和瓣膜性心脏病介入治疗大会亚太分会(CSI Asia-Pacific 2019)在广州隆重召开。本次大会通过手术转播,主题演讲等多种形式,重点对先天性与结构性心脏病和瓣膜病的介入治疗进行多角度的交流与探讨。
会议召开的第二天,广东省人民医院张智伟教授带领的多学科团队就为我们带来了一例挑战性先天性心脏病房间隔缺损介入治疗案例(ASD Closure)的手术直播。

张智伟教授团队手术转播中

CSI Asia-Pacific会场手术实况转播
现在让我们来回顾这个经典的病例:
Live Case回顾与解析:广东省人民医院张智伟教授团队
手术团队成员:
张智伟教授 王树水教授 谢育梅教授
洪 钿医生 陈 军医生 乐佳妮医生
曾琳玲医生
患者术前资料
基本情况:患儿5岁女性,体重16.5kg。
临床表现:反复肺炎行体检发现房间隔缺损。
体格检查:生长发育落后于同龄儿童,生命体征正常,胸骨左缘第二肋间可闻及II级收缩期杂音,胸片提示心影稍大,心电图提示窦性心率。
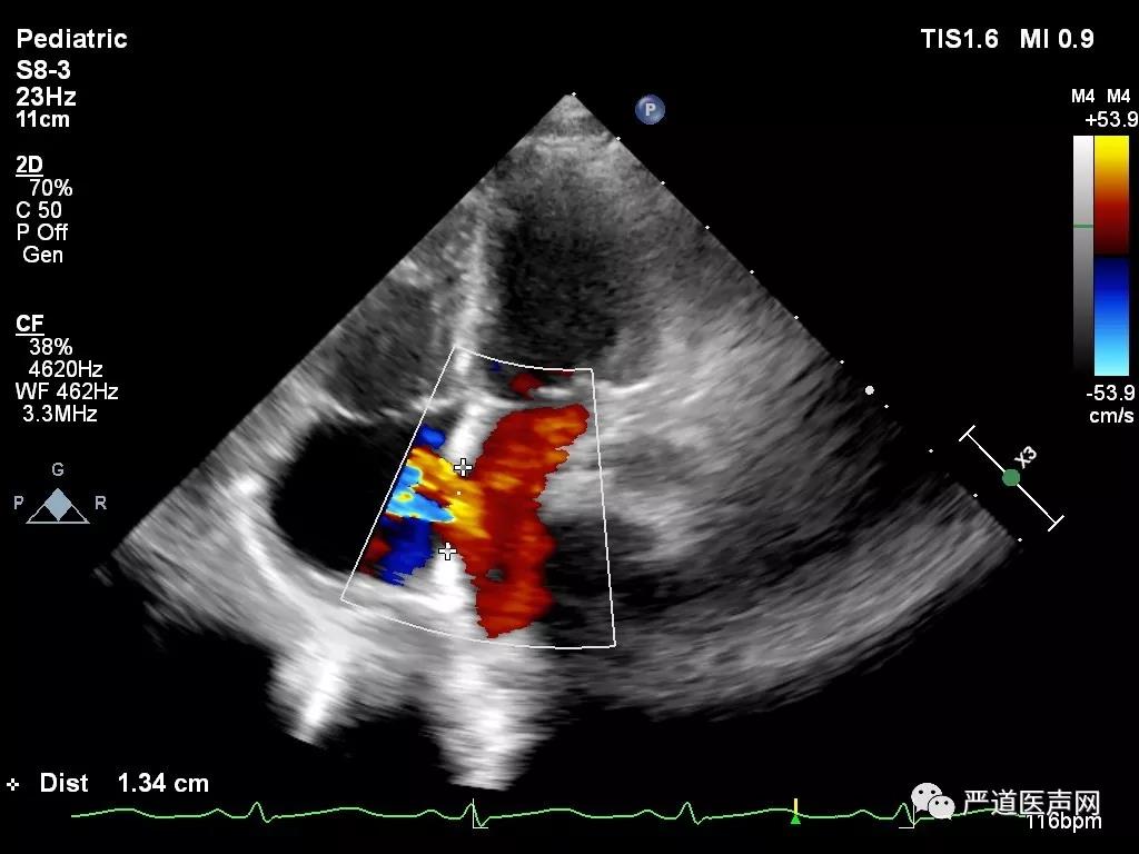
经胸超声心动图提示:右心房增大,房间隔缺损多个切面测量最大直径约12mm(胸骨旁心尖四腔心、大动脉短轴和剑突下四腔心等),患儿具备手术干预指征,选择进行经皮房间隔缺损封堵术,而此次病例的亮点,张智伟教授团队将使用“全球首创”具有自主知识产权的已获中国药监局批准进入临床试验的可吸收房间隔缺损封堵器(Biodegradable ASD closure Device)。
手术流程


术前超声测量
术中超声显示:房间隔缺损,继发孔型,大小12mm,右心导管检查提示Qp/Qs:1.45,肺动脉压力28/9 (18)mmHg,建立钢丝轨道,选择6F MPA2导管,经房间隔缺损送入左房,置于左上肺静脉,并导入输送钢丝0.035/260cm。
选择10F输送鞘管,输送至左心房,退出扩张条及导丝,将可吸收封堵器(LifeTech Absnow,18mm)系统沿鞘管输送至左上肺静脉,在左前斜45°,头位20°透视及超声心动图引导下,逐步释放封堵器,后撤鞘管,使封堵器的封头(1个显影点),左侧伞盘(2个显影点),腰部(2个显影点),及右伞盘(2个显影点)逐步释放,左侧伞盘释放后采用超声引导,确保伞盘紧贴房间隔左房面,释放封堵器后操纵控制手柄,锁定伞盘。

超声心动图提示伞盘位置良好无残余分流后,进一步逆时针旋转控制手柄,解脱输送钢缆和封堵器栓头的连接,释放封堵器。

术后造影显示可吸收封堵器特点,可见其X线显影点
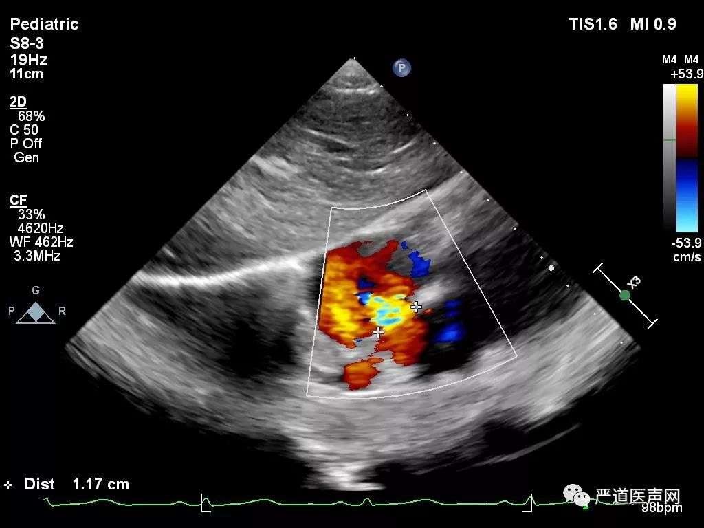
术后经胸超声心动图提示封堵器位置稳定,房间隔分流消失,封堵器不干扰心脏瓣膜等心内结果,手术效果满意。

手术团队术后合影留念
热点知识讨论
此次手术,张智伟教授团队展示了中国目前的可吸收封堵器,该产品已经完成了完善的临床前研究评价,目前正处于临床研究阶段。在手术过程中,张智伟教授透露,目前已经纳入50余例患者,最长随访时间已经超过6个月,效果良好。
虽然目前镍钛合金封堵器技术已经成熟,但其仍然存在:(1)金属离子的析出;(2)远期磨损相关的机械并发症;(3)封堵器相关血栓形成;(4)金属过敏等诸多潜在并发症,而且植入镍钛合金房间隔封堵器也阻断了潜在的经房间隔左心介入手术干预的可能(诸如房颤射频消融,左心耳,二尖瓣介入手术等)。
可吸收房间隔封堵器从理论上能够有效解决这些问题,由此可见,采用可吸收材料的房间隔封堵器在诸如ASD及人群发病率更高的卵圆孔未闭介入治疗中具有极其重要的意义及广泛的应用前景。
此次病例使用的是我国自主知识产权的可吸收房间隔封堵器(LifeTech Scientific Co. Ltd),其采用多聚乳酸(Poly-L-Lactic Acid PLLA)材料编织而成(图1),使用10F输送器输送,封堵器释放后,具有锁定和非锁定两种型态(图2),该封堵器具有类似镍钛合金封堵器的特点,包括自膨胀和可回收性能。

图 1 可吸收封堵器(LifeTech)

图 2 可吸收封堵器设计示意图,可以看见锁定和非锁定状态
同时,为了方便X-Ray下的观察,在封堵器两侧的PLLA伞盘上,各设计了数个X线显影点,用以帮助介入操作。
目前在体研究已经证实,PLLA在37°左右的恒温血液中内能够自然缓慢降解,降解周期约2年左右,降解的最终产物为二氧化碳和水,无任何毒副作用。张智伟教授团队相关的动物研究结果也已经验证了这类器械的早期安全性,相关结果已发表在Cardiology和CCI (Catheterization and Cardiovascular Interventions) 等主流专业杂志上。
该病例激起了CSI会场与会外国嘉宾的热烈讨论,相信随着临床研究的进展,张伟智教授会为我们带来更进一步的关于这个中国原创技术更多强有力的循证医学证据。最新消息获悉,大会主席Dr. Horst已经向张智伟教授团队发出了邀请,在今年6月的德国法兰克福CSI主会场进行可吸收降解封堵器介入治疗手术演示。