
CSI Asia-Pacific 2019会场速递
2019年2月22-24日
2019年2月22日~24日,先天性、结构性和瓣膜性心脏病介入治疗大会亚太分会(CSI ASIA PACIFIC 2019)在广州盛大召开。这是CSI AP大会首次在我国举行,由广东省人民医院、广东省心血管病研究所协办,会议将展现国际及亚太地区先天性,结构性和瓣膜性心脏病导管治疗的最新进展。
大会第一天,罗建方教授率领的心瓣膜团队带来了一台经导管主动脉瓣膜置换术联合胸主动脉腔内修复术(TAVR plus TEVAR)的手术直播。据悉,这例一站式经股动脉路径TAVR+TEVAR治疗重度主动脉瓣狭窄合并胸主动脉穿透性溃疡的术式在国际上尚未见报道。本次手术只用了1个小时,在整个过程中,心脏团队成员默契配合,以精湛的技术赢得了与会同行的一致赞誉。

罗建方教授团队手术转播中

CSI Asia-Pacific会场手术实况转播
现在让我们来回顾这个经典的病例:
Live Case回顾与解析:广东省人民医院罗建方教授团队
罗建方教授(心脏内科)
范瑞新教授(心脏外科)
李 光教授(心脏内科)
李 捷教授(心脏内科)等
患者术前资料
基本情况:77岁老年女性,因“气促2+年,加重2月”入院。
病史:合并冠心病(两支血管病变),2型糖尿病,高血压等基础疾病。
风险评估:NYHA心功能III级,STS评分2.9%,患者虚弱评分2分。
心电图提示:窦性心率,I度房室传导阻滞,左心室肥厚,ST-T段改变。
心脏彩超提示:严重主动脉瓣膜狭窄合并中度主动脉瓣反流,峰值压力阶差64mmHg,平均压力阶差40mmHg,左室射血分数LVEF:46%。
TAVR CTA分析结果
主动脉瓣瓣环直径 29.7*23.7 mm,瓣环周长84.6mm,面积557.5mm2,主动脉窦部直径32.1mm*30.6mm*35.2mm,左心室流出道周长89.6mm,面积584.5mm2。(如下图)

左侧冠脉开口高度较低9.0mm,右侧冠脉开口14.5mm。(如下图)

CTA提示患者瓣膜重度钙化,Type I型二叶主动脉瓣,横位心,主动脉与左心室夹角67°。(如下图)
升主动脉42.8mm,降主动脉可见明显主动脉穿透性溃疡(如下图)。外周血管入路条件良好。

手术流程详解
麻醉及入路准备
全麻气管插管,通过右颈内静脉留置临时起搏器于右室,以右侧股动脉作为主入路,经皮穿刺,预置2把Proglide缝合器。主动脉根部造影可见主动脉瓣钙化影,主动脉瓣中-重度返流。

TAVR术前主动脉根部造影
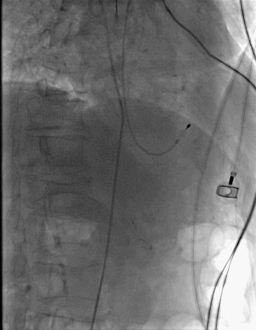
再行降主动脉造影见降主动脉穿透性溃疡。

TEVAR术前降主动脉造影
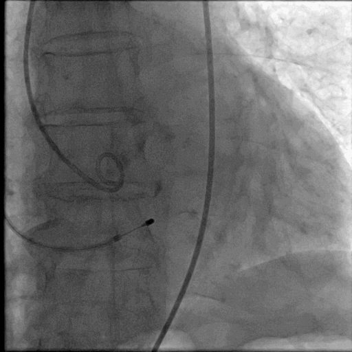
主动脉瓣跨瓣及球囊预扩张
送入猪尾导管至左心室,测量左室压力150/12mmHg,升主动脉压力110/35mmHg,跨瓣压差40mmHg。交换头端预塑形Cook Lunderquist超硬导丝至左心室,撤出猪尾导管。(如下图)

心脏临时起搏器快心室率起搏下启用23mmCRISTAL球囊行主动脉瓣球囊预扩张,再次行主动脉根部造影,提示球囊无腰征,并有部分造影剂渗漏。(如下图)

考虑CTA瓣环测量瓣环周长84.6mm,瓣膜中度钙化,故选择Annular Sizing作为选择瓣膜的依据,选择29mm VenusA-Plus主动脉瓣膜。
TAVR瓣膜释放过程
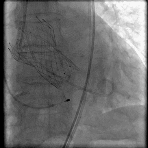
通过22F血管鞘置入VenusA-Plus瓣膜,并顺利过主动脉弓,跨越瓣膜,造影确定瓣膜位置, 确定瓣膜Mark点与瓣环平行,逐步释放部分瓣膜,瓣膜裙边展开,保持瓣膜位置,造影提示瓣膜位置良好,开始慢速释放瓣膜,待裙边完全展开,开始130次/分快心室率起搏,确保瓣膜释放过程位置稳定,继续释放瓣膜,再次造影提示位置良好,快速释放瓣膜。
回收置入器,瓣膜释放后因存在瓣周漏,故采用23mm球囊进行后扩张一次,术后TEE提示,支架瓣膜展开基本完全,TEE及造影提示轻度PVL。
瓣膜血流动力学效果满意。测量左心室压力136/2mmHg,升主动脉压力134/55mmHg,跨瓣压力<5mmHg,手术效果满意。

TAVR-VenusA-Plus植入后

手术演示中
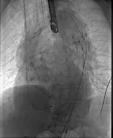
TEVAR手术
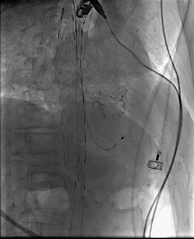
经右侧股动脉途径送入LifeTech Ankura 28*160mmm大动脉覆膜支架,支架远端定位于腹腔干开口上缘,准确定位后释放大血管支架。
再行降主动脉造影见主动脉支架贴壁良好,透壁溃疡完全隔绝,未见明显内漏,腹腔干开口未受影响,血流通畅。

TEVAR-主动脉覆膜支架植入后
患者生命体征稳定。

TAVR+TEVAR术后结果


手术团队术后合影留念
本次病例知识点解析与探讨
二叶式瓣膜分型及瓣膜选择:本次案例为中度钙化Type 1型二叶瓣膜(TAVR 二叶瓣膜CTA分型类型:Tri-commissural with Coronary Cusp fusion),目前二叶瓣膜依据不同的类型及钙化程度,有瓣上测量,球囊测量等Valve Sizing方式。
此次案例中,罗建方教授团队综合考虑了多种因素, 患者瓣膜钙化中度,二叶瓣膜为三叶瓣瓣叶融合形成,23mm球囊预扩张球囊无腰症,且有造影剂渗漏,此类患者考虑瓣膜扩张性较好,倾向选择瓣环测量的方式,CTA瓣环测量89.6mm,考虑使用29mm VenusA-Plus自膨式心脏瓣膜,并取得了很好的结果。相反,对于Type 0型的二叶瓣膜,如合并严重钙化,则Super-annular Sizing为首要选择方案。
本次研究种选用了具有可回收性能的VenusA-Plus可回收瓣膜,罗建方教授团队在操作中的几点Tips也值得我们关注:
1)考虑到可回收系统硬度较大,过弓及通过病变区域血管过程时应特别注意;
2)充分利用Venus A系列瓣膜定位Mark点帮助帮助术中瓣膜定位;
3)瓣膜裙边展开后的核心释放程中利用130-140次每分Rapid-pacing,降低心输出量,从而准确的帮助瓣膜释放。
本例先行TAVR后行TEVAR的原因:该患者主动脉穿透性溃疡有破裂风险,但溃疡在前壁,不影响入路;溃疡的处理相对瓣膜的处理简单;为了更微创,我们考虑单入路同时解决两个问题,大动脉支架在主窄的通路上,先行TEVAR可能会对TAVR瓣膜植入的通路有一定的影响,另外TAVR瓣膜调整过程中,可能会导致大动脉支架移位。
作为此次转播的病例的亮点,对于高龄高危患者合并大血管病变及主动脉瓣膜的患者,TAVR+TEVAR的一站式微创治疗已经成为治疗该类病变的首选。
作为目前世界首例TAVR+TEVAR一站式微创治疗,这一病例得到了国内外专家的高度评价,他们表示这不仅证明了TAVR和TEVAR治疗主动脉瓣狭窄及主动脉疾病的可行性,更是体现了罗建方教授团队高超的治疗水平及丰富的治疗经验,同时对罗教授强调的主动脉整体理念表示高度认同。