“这是最好的节日礼物,也是2018年我最难的病例。”
“谢谢大家的帮助。苦熬近100天,终于见到效果,祝大家节日快乐!”
2月19日元宵节那天,航空总医院心内二科主任董鹏先后在医生群和朋友圈发出了这样两条消息。彼时,他的父亲——董玉民老先生,在与病魔斗争四个月后,终于拨得云开见月明,情况有所好转。
身兼儿子和医生的双重身份,董鹏既经历了父子情深的感性纠结,又有着对医学病例的理性思考。几次父亲病情危急时刻,他都身在手术、医学会议、出差等工作当中,因为不能陪着身边,颇感愧疚。但作为医生,他在面对肾癌、肺栓塞、癌细胞肺转移等多重复杂疾病情况时,冷静果断,关键时刻决定“拼一把”,最终从死神手中夺回了父亲性命。
“我还没老,你不许走!”
董鹏家中三代军人。爷爷是无产阶级革命家习仲勋同志的部下。父亲董玉民老先生从军16余年,曾任青海邮电医院大内科主任兼医务处处长。董鹏从小受到爷爷与父亲的熏陶,也与部队医学结下了不解之缘。
在董鹏印象中,军人出身的父亲向来身体结实。虽然已经75岁高龄,有糖尿病,做过几次小手术,但依然很“硬朗”。董鹏回忆说,去年中秋节前,他准备了一些过节的食品,因为没时间送过去,就让老父亲来取。“父亲当时坐公交车来的,我忙着要出门诊,没顾上说话。父亲知道我忙,左右手各提一个大盒子,大步流星的又去公交车站了。”

董鹏与康复中的父亲
终日忙碌的董鹏没有想到,那之后没多久,父亲就突发晕眩,被急救车拉进了医院。当时,董鹏正在上海参加CTOCC(中国冠状动脉慢性闭塞病变介入治疗俱乐部)的学术会议。急诊医生跟他沟通病情时,董鹏有了大致判断,迅速提出下一步该做的检查。
就在父亲发病的第三天,诊断出了肾癌,有医生建议保守维持一两月。董鹏拒绝了,他不能放弃,他坚持手术,他内心一次次对父亲说:“我还没老,你不许走!”
父爱如山,同是军人的这对父子,平日里鲜有情感言语的表露;但父子情深,那份深沉而坚定的情感什么也不能改变。向来理性的他,在父亲手术后的深夜发朋友圈说:
“老爸术后我的心一直揪着,脑海中浮现出当年的情景,我忙着敲键盘没空吃饭,老爸一口一口喂我吃。他一句话都没说,我也没空说话,拼命赶工。最近一周忙碌工作同时,一起陪老爸渡过最难的时候。有时觉得天很黑,但暗透了,却更能看得见星光!”
与死神较量的100天
在过去的100天里,董玉民老先生的病情可谓险象丛生。
发病当天,老人突然出现意识丧失并摔倒,无双眼凝视、口吐白沫,无四肢抽搐及二便失禁,持续约1分钟后苏醒,伴全身乏力、头晕。
随后,对晕厥原因进行排查,腹部增强CT显示,右肾多发肾癌并肾静脉下腔静脉瘤栓。一系列诊断显示情况不容乐观:急性肺栓塞、肺部感染、胸腔积液、双肺多发结节、阵发性心房纤颤、频发房性早搏、左肾囊肿、2型糖尿病、睡眠呼吸暂停低通气综合征、阿尔茨海默症、胆囊切除术后、阑尾切除术后…… 加上年纪大、情况复杂、患者病情不符合临床指南等原因,有医生认为应保守治疗,不适合手术。
董鹏不愿放弃,他咨询了许多医学界的师友,辗转找到了北京大学第三医院泌尿外科马潞林教授。马教授愿意手术,但术前需要麻醉、心内等多学科会诊、评估,这一等又是三个星期。
终于各方协调妥当,父亲被推进了手术室。那天,董鹏因为要为心血管病人做手术,没能去手术室外等候。由马潞林教授亲手操刀,发生癌变的右肾很快被移除。此时却出现突发状况,患者发生早搏,超声显示有2.5cm*5cm大小的瘤栓由下腔进到了心房!情况极为险要!
刚下手术的董鹏来不及多想,马上带上手术抓捕器赶去父亲手术室。此时,马潞林教授联系的安贞医院心外科迟立群教授也赶来。经过简单会诊,董鹏当即签字同意进行开胸手术。“两个瘤栓像乒乓球一样在父亲的心房心室间来回跳动,随时都有生命危险。”董鹏回忆说。
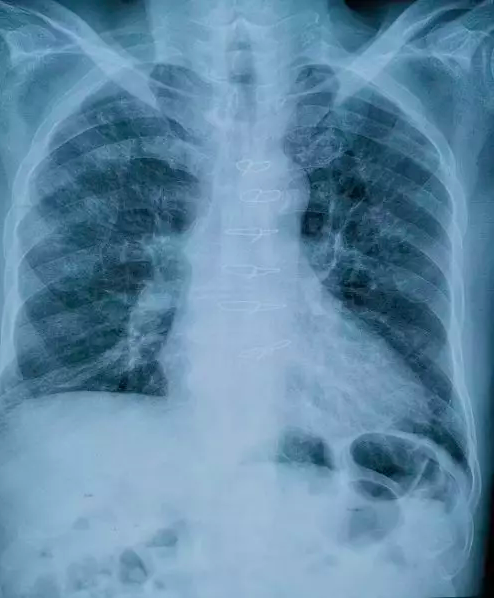
经历了腹部和胸部的两个大手术后,老先生被送进了重症监护室。在里面又发生房颤,心率上升到150以上,血象一度高达3万。其间,董鹏又就转复房颤等问题一一与管床大夫沟通。终于,在第六天,父亲情况略微好转,从三院转院到航空总医院继续治疗。此时的胸片显示,两肺白花花一片,在向中日医院呼吸与危重症医学詹庆元教授请教后,初步诊断为曲霉菌肺炎,用上了抗生素治疗。

治疗前的肺部影像

近期治疗后的肺部影像
12月初,受中国心血管健康联盟委派、萨克斯坦国家医学科学中心邀请,董鹏要去哈萨克斯坦首都阿斯塔纳参加“冠状动脉慢性闭塞性病变介入治疗与建设胸痛中心重要性”国际会议。虽然悬着一颗心,但工作不能耽误。就在他讲课过程中,手下带着哭腔打来电话说,老先生氧分压掉到了64,情况恶化。虽然内心甚是担忧,但多年临床一线的锻炼造就了他的沉稳。董鹏马上给出指示:上大无创和激素!方案起了效果!
讲完课后,他马上赶回父亲身边。在北京大学人民医院重症医学科刘方教授的帮助下,他先后找到协和医院感染内科马小军教授、空军总医院副院长张波教授、北京大学肿瘤医院郭军教授等业界“大拿”求救。专家推断,前面血氧下降,主要是肿瘤浸润的出血间质水肿造成的呼吸衰竭。最终给出了靶向加上PD1联合治疗的方案,抗生素逐渐减下来。
情况终于得到控制,在春节到来时,老先生转危为安!100天的煎熬总算没有白费!
“医路”走来,最想说的是“感谢”
大年三十这一天,董鹏带着刚刚能站起来的老父亲,录了一段拜年视频发在朋友圈。
视频中,董鹏揽住父亲的肩膀,给他坚强的依靠。起死回生的老先生真诚地表示:“谢谢大家的帮助,祝大家新春愉快,全家健康!”

康复中的老人享受天伦之乐
作为一名临床医生, 董鹏觉得收获良多,他认为父亲这个病例值得好好复盘研究。其中不仅有疾病治疗上的意义,他还与群里的医生们思考讨论了更多。例如,对学科指南的辩证思考,他们认为,指南是适用于广大普通常见病人的通行标准,但当病情没有完全搞清楚时,指南在这些地方也只是探索和最低的要求。
作为一名患者家属,董鹏说,最想说的就“感谢”二字。要感谢的人太多,除了上面伸出援手的专家们,还要感谢他的老师葛均波院士、迷你3C群里的医生朋友们,以及所有帮忙分析病情,协助治疗的医护人员,这份情谊会永远铭记心间。