编者按:
随着房颤综合管理理念的不断发展,左心耳封堵术在高卒中风险房颤患者中得到越来越有效的应用,尤其体现卒中病史及高出血风险患者人群中,患者的获益非常明确,而随着左心耳封堵这一临床技术的普及,越来越多的患者需要更加优化的手术策略,3D-ICE作为国内新型的腔内技术,其应用需要广大医学工作者的共同探讨和推进,今天邀请中科大附一院心内科徐健就3D-ICE指导下左心耳封堵术,讲解广大医师最关注的几大问题。
严道医声网:ICE临床应用的优势是什么?它对于患者来说有哪些临床获益?
徐健教授:
腔内超声(ICE)相比食道超声(TEE),它可以在患者局部麻醉的情况下应用,TEE通常需要全麻,即使不用全麻采用深度镇静的方式,多数患者也会出现不耐受反应。对于很多老年患者,行左心耳封堵术的同时避免全麻后遗症、术后难苏醒等问题。对于不耐受反应比较强烈的患者,其受益也是很明显的,能保证手术在患者比较平静的状态下进行。同样ICE适用于食道狭窄、食道已有损伤、食道外科史等这几类患者(详见表1)。对于行一站式房颤手术的患者,3D-ICE能够代替多电极导管进行左房精确建模,监测食管位置,提高手术安全性和减少射线量。

表1 食道超声检查的禁忌症
严道医声网:3D-ICE临床应用的手术流程是怎样的? 不同角度和体位的特征和优势是什么?
徐健教授:
首先需要确认,3D-ICE需要在不同的解剖结构下观测左心耳及评估封堵情况,需要医师具备一定的腔内导管操作经验和三维重建影像的识别能力。3D-ICE分别置于右房(mid-RA)、右室流出道(RVOT)或者肺动脉瓣上(PA),以及左房(mid-LA 和 low-LA)中对左心耳进行观测,如图1。其中RA位置下可以观测左心耳,但需要靠近间隔面(具体操作在后面阐述),对于左房明显增大的患者,因扇面远端分辨度下降,图像质量和评估效果会受到影响。RVOT位置下能够有效查看和排除左耳血栓,通常PA位置下观测效果良好,可以初步测定心耳开口和有效深度,其角度相当于TEE的0-45°。Mid-LA和low-LA位置下,评估效果最好,但需要建立第二个房间隔通道,术后易残留房间隔缺损;在房间隔韧度和厚度较低的患者(依据穿刺手感和超声影像),也可以尝试从房间隔穿刺位点毗邻处送入ICE导管。
下面就手术中主要流程与各位医师分享:

图1 3D-ICE在不同解剖位置下观测左心耳
第一步,Mid-RA位置视野:经股静脉穿刺,将3D-ICE导管送入右房中位(mid-RA),以扇面指向12点钟方向为基准,通常顺时针旋转15°,能清楚看见三尖瓣环,此视野又称为home view,如图2。

图2 Mid-RA位置视野(home view)
第二步,RA视野调整:继续顺时针旋转导管15°左右,适当推送或回撤导管,可见上方和下方解剖结构,如图3。

图3 RA 位置调整后视野
第三步,RV位置时视野,心包积液查看:以home view 为初始位置,导管打A弯,跨三尖瓣进入RV,适当推送或回撤导管,释放张力控制旋钮后,回复P/A和L/R 旋钮至中位,即mid-RV位置。二尖瓣环长轴视野:轻微顺时针旋转导管,直至二尖瓣出现在视野中,然后适当推送和回撤导管。可见图4。左室短轴视野:以二尖瓣还长轴视野为初始,导管打弯L或R弯,顺时针或逆时针旋转导管来扫描左室短轴,可见从心尖至二尖瓣的短轴视野,充分评估心包积液情况。

图4 RV位置时视野
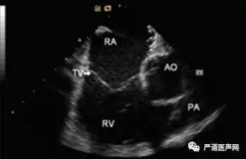
第四步:RVOT位置时视野,排除心耳血栓;肺动脉瓣上视野,初步评估左心耳开口。
以mid-RV位置为初始,释放张力控制旋钮和回复P/A和L/R 旋钮至中位的前提下,顺时针旋转导管至可见主动脉短轴和肺动脉长轴,继续轻柔推送导管以防出现弯折,必要时适当调整张力旋钮和A弯直至通过肺动脉瓣。

图5 RVOT位置时视野
(可判断是否有血栓形成,下图为左心耳内有血栓)

图6 RVOT位置时视野
(左图红圈为左心耳,右图为三维超声建模和扇面展示)

图7 PA位置时视野(图示左心耳开口测量)
第五步,经房间隔送入左房。ICE指导下的房间隔穿刺:再次从home view 出发,顺时针旋转导管90°,直至扇面远端能看到左上肺静脉,有时需要轻微的打P弯,此时扇面近端能显示左房右房之间的间隔面。适当拧紧张力旋钮然后打R弯,以获得长轴视角,轻微地推送或回撤导管,使得上部和下部的解剖结构得以展现。调整视野深浅(CW/CCW)以利于观察房间隔穿刺针。房间隔穿刺完成后,以home view为起始,使导管向卵圆窝处前进,在X线下确认导管位置。调节张力旋钮和轻微打A弯,使导管穿过房间隔进入左房。此步骤可能需要多次尝试。进入左房后,释放张力旋钮和回复A弯以及L/R弯至中位。

图8 卵圆窝位置时视野(指导房间隔穿刺)
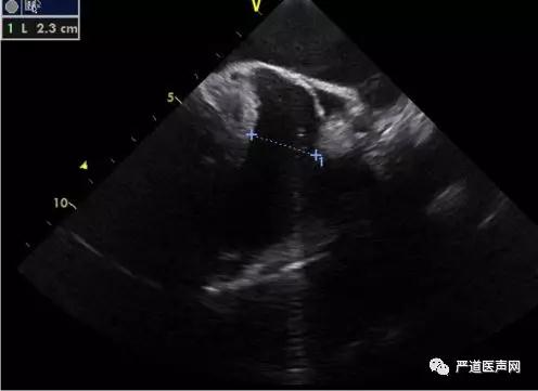
第六步,左心耳术前评估
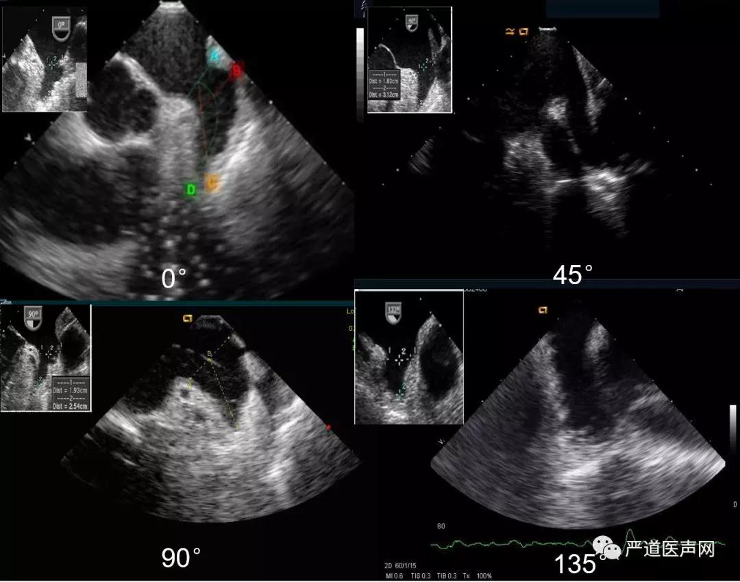
在TEE术前检查中,分别需要0°,45°,90°,135°的多角度评估,对应ICE,通常在左房中部(mid-LA),可以观察到左心耳短轴开口,此时相当于0-45°的TEE视野, 相对容易实现;当探头位于左房底部时,在此基础上倾斜180°,可观察到左心耳长轴开口,相当于90-135°的TEE视野,这里需要一定的经验积累和导管操作微调,具体主要操作介绍如下。
0°-探头置于mid-LA时,再推送1cm左右,邻近左上肺静脉口部偏后顶上区域,此时缓慢逆时针旋转直到可见主动脉短轴斜切面,此时左心耳开口;
45°-探头置于mid-LA时,可见二尖瓣的视野下,调节张力旋钮并轻微打P弯;
90°-也叫工作角度,当探头置于mid-LA并可见二尖瓣的视野下,缓慢推送在距离左上肺静脉口部1cm处适当调节张力旋钮并轻微打L弯;
135°-探头置于mid-LA时并可见二尖瓣的视野条件下,控制张力旋钮并打中度L弯。

图9 与TEE相匹配的ICE视野观察左心耳结构
第七步,封堵器装置释放前检验。这里以塞式封堵器WATCHMAN为例,查看封堵器释放位置、牵拉试验、封堵器压缩比测定、封堵器残余分流测定。释放前符合位置、锚定、尺寸、密封的PASS原则(此处不再赘述)。需要注意的是,彩色多普勒评估残余分流时,视野囊括封堵器平面左心耳壁的前提下,确认多个角度下可以重复的色彩带分流(不一定是最小的),选取最窄处测量宽度;牵拉试验既可以在右房间隔侧观察也可以穿间隔至左房在LSPV后上侧观察,塞式封堵器在应用ICE时,超声不会受封堵盘的遮挡,视野更清晰,盘式封堵器因其封堵盘或遮挡超声视野,需要更注意观察心耳同步运动。

图10 封堵器释放前确认PASS原则(以塞式封堵器为例)
第八步,封堵器释放和安全确认。需要再次确认封堵器位置、压缩比、残余分流情况,以及心包积液等。此时ICE导管可从左房撤出,在RA、RVOT、PA多个位置下确认,以完成手术。
严道医声网:目前国际上ICE应用于左心耳封堵的最新研究结果如何?与TEE相比安全性有效性如何?
徐健教授:
国际研究显示,ICE的植入成功率和手术成功率平均在90%以上,相比TEE方法,围手术期安全性事件,手术成功率无显著差异;目前手术流程上,ICE的应用方法仍呈现多元化,研究提示只在RA观察可能会无法获取足够的残余分流信息;目前可得到的随访结果良好,心血管相关死亡事件与TEE组相比无显著差异,同时有待进一步扩大样本量;与TEE同类研究相比,射线剂量和时间均有所缩短,房间隔残余漏有所升高。

表2 国际上近期发表文献汇总
小结
3D-ICE因其可以在三维导航系统下进行导管定位和辨认解剖结构,相对于传统ICE而言,具备操作简便性和手术视野直观性,但依然要求医师积累腔内导管操作经验和腔内超声图像识别能力。本中心就目前临床实践经验整理总结的手术流程和操作方法与各位医师分享,结合目前国际上最新研究文献结果,ICE在评估LAAC时初步具备了和TEE相当的安全性和有效性,其研究样本量有待进一步提升。3D-ICE对于无法进行TEE检查和易发生全麻后遗症的患者人群有其临床应用价值,同时3D-ICE指导下评估左心耳形态和封堵情况有待进一步探索,需要进一步优化手术流程和建立评估标准,期待与各位介入同道共同努力,在国际学术舞台发出中国术者更多的声音。
附参考文献如下:
[1]Korsholm K, Jensen JM, Nielsen-Kudsk JE. Intracardiac echocardiography from the left atrium for procedural guidance of transcatheter left atrial appendage occlusion. J Am Coll Cardiol Intv 2017; 10:2198–206.
[2]Aguirre D, Pincetti C, Perez L, et al. Single trans-septal access technique for left atrial intracardiac echocardiography to guide left atrial appendage closure. Catheter Cardiovasc Interv 2018;91:356–61.
[3]Frangieh AH, Alibegovic J, Templin C, et al. Intracardiac versus transesophageal echocardiography for left atrial appendage occlusion with watchman. Catheter Cardiovasc Interv 2017;90:331–8.
[4]Matsuo Y, Neuzil P, Petru J, et al. Left atrial appendage closure under intracardiac echocardiographic guidance: feasibility and comparison with transesophageal echocardiography. J Am Heart Assoc 2016;5:e003695.
[5]Masson JB, Kouz R, Riahi M, et al. Transcatheter left atrial appendage closure using intracardiac echocardiographic guidance from the left atrium. Can J Cardiol 2015;31:1497.
[6]Berti S, Paradossi U, Meucci F, et al. Periprocedural intracardiac echocardiography for left atrial appendage closure: a dual-center experience. J Am Coll Cardiol Intv 2014;7:1036–44.