该共识发表在:《中国介入心脏病学杂志》第27卷第1期(2019年1月27日出版)
中国医师协会超声分会超声心动图专业委员会
中华医学会超声医学分会超声心动图学组
中华医学会心血管病分会结构性心脏病学组
中国医师协会心血管病分会结构性心脏病专业委员会
二尖瓣反流(mitral regurgitation,MR)是最常见的心脏瓣膜疾病[1]。超声心动图目前是MR诊断和评价最重要的影像学方法。随着以MitraClip为代表的MR介入治疗技术的发展,超声心动图对MR的术前评估、术中监测、术后评价变得尤为重要[2-3]。虽然国际上已经发布了有关MR超声评价的指导性文献[4-6],但其内容甚为复杂,临床使用可行性较低,不符合我国国情,且不是专门针对MR介入治疗技术而编写的。目前,我国研发的MR介入治疗器械陆续进入临床试验[7-8],然而,尚未有符合我国国情的MR超声评价指导性文件。为了规范我国MR超声评价,为今后MR介入治疗技术提供参考,协作组编写了本专家共识。
1 MR概述
二尖瓣装置由前叶、后叶、腱索、乳头肌、瓣环和左心室壁组成。两个瓣叶在前外交界和后内交界处相连接,均有相应的腱索和乳头肌。二尖瓣前叶和后叶分别可分成3个扇叶,后叶天然的2个切迹将后叶分成3个部分,从前外交界向后内交界方向,依次为外侧P1、中间P2、内侧P3。前叶与之对应的区域依次为外侧叶A1、中间叶A2、内侧叶A3 (图1)。

注:A1,二尖瓣前叶的外侧叶 1/3;A2,二尖瓣前叶的中间叶 1/3;A3,二尖瓣前叶的内侧叶 1/3;P1,二尖瓣后叶的外侧;P2,二尖瓣后叶的中间;P3,二尖瓣后叶的内侧;AC,前外交界;PC,后内交界
图 1 二尖瓣的瓣叶解剖示意图
MR是最常见的心脏瓣膜疾病。美国一项研究显示,人群中轻度(+)、中度(2+)、中重度(3+)及重度(4+)MR发病率为19.2%、 1.6%、0.3%及0.2%[9]。另一项研究显示,中度以上MR在总体人群发病率为1.7%,并随着年龄而增长,在年龄>75岁人群中可接近10%[1]。在中国,MR的具体发病率尚未清楚,根据目前资料显示,MR为常见心脏疾病[10-11]。超声心动图目前是诊断和评价MR最重要的方法之一[4-6]。按照严重程度,MR的临床表现差别较大。轻度MR可以在很长时间内不出现临床症状,预后较好。重度MR可导致肺动脉高压、心房颤动(房颤)、心力衰竭(心衰),甚至死亡。无症状重度MR患者5年内全因死亡、心源性死亡、心血管事件发生率分别为(22±3)%、(14±3)%、(33±3)%[12],而出现严重心衰患者[美国纽约心脏病协会(NYHA)心功能分级Ⅲ级以上]每年死亡率达34%[13]。目前,外科瓣膜修复或置换术是MR的标准治疗方法,经导管介入治疗为MR新兴治疗技术。
2 MR的病因及功能分型
2. 1 MR病因
二尖瓣功能的完整性要求二尖瓣环大小合适、瓣叶结构完整、乳头肌收缩牵拉腱索发挥瓣叶的支撑作用、左心室肌肉收缩产生关闭力量适当、心室形态及功能正常。这些因素中任何一个出现异常都会导致MR。MR的病因可分为原发性瓣膜病变(瓣膜本身结构的病变导致)及继发性瓣膜病变(心脏本身或瓣膜支撑结构病变导致)[4]。确定MR的病因非常重要,有助于选择二尖瓣治疗技术以及药物治疗方案,且是患者长期预后的重要独立预测因素(表1)。随着人口老龄化的加剧,最常见的原发二尖瓣病变为退行性病变,而在继发性MR中,缺血性MR及心衰后MR为主要因素。

2. 2 MR功能分型
20世纪70年代后期,随着外科领域瓣膜重建技术的发展,人们开始认识到仅仅采用瓣膜反流、狭窄、狭窄合并反流的三分法已经不足以区分瓣膜病变,而试图用详尽的解剖性描述来精确区分瓣膜疾病的方法太繁琐且并不实用。二尖瓣修复技术的创始人提出了规范化的MR“功能分型”[14],从而帮助规范定义及指导后续的外科修复治疗。同样,这类分型方法,对指导介入二尖瓣治疗也极其重要。例如,目前指南推荐的二尖瓣夹合手术患者,主要针对Ⅱ型MR[15]。而COAPT等研究[3]显示Ⅰ型患者行MitraClip能明显获益,这类人群也可能是二尖瓣夹合术适合人群。MR病变“功能分型”主要依赖超声心动图提供的信息,根据瓣叶的活动情况分为3型。
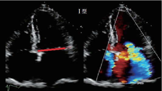
Ⅰ型:瓣叶活动正常而瓣膜功能失调(图2)。在Ⅰ型功能失调中,收缩期和舒张期瓣叶活动幅度正常,反流的原因为瓣叶穿孔或瓣叶对合不良导致(瓣环扩张)。
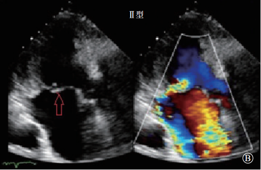
Ⅱ型:瓣叶活动过度的瓣膜功能失调(瓣膜脱垂,图3)。定义为一个或多个瓣叶活动度增加,瓣叶的游离缘在瓣叶关闭时超过了瓣膜口关闭时的平面,血流动力学结果提示为瓣膜反流,由于腱索断裂或延长,或者乳头肌断裂导致。
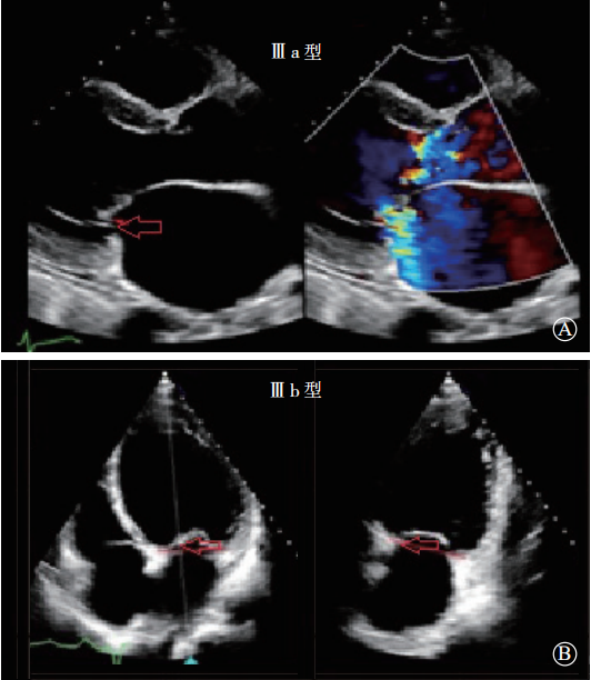
Ⅲ型:瓣叶活动受限的瓣膜功能异常(图4)。在Ⅲ型功能失调中,Ⅲa类指一个或多个瓣叶的运动在瓣叶开放或关闭时受到限制导致不同程度的狭窄或反流(瓣膜及瓣下组织增厚或钙化);Ⅲb类指一个或多个瓣叶的运动在瓣叶关闭时受到限制导致的反流(此类病变多为缺血性导致)。

图 2 Ⅰ型,正常瓣膜运动


图3 Ⅱ型,过度瓣膜运动 A. 后叶过度运动,导致后叶脱垂,重度二尖瓣反流;B. 前叶过度运动,导致前叶脱垂,重度二尖瓣反流
3 超声设备要求及图像采集方法
3. 1 超声设备
具有经胸二维、三维超声探头及经食管三维超声探头的彩色超声诊断仪。
3. 2 经胸二维超声心动图
通过采集以下切面显示二尖瓣瓣叶各扇叶。(1)胸骨旁左心室长轴切面,显示A2、P2(图5A);(2)二尖瓣水平短轴切面,显示整个前后叶(图5B);(3)心尖四腔心切面,显示A2、P2(图6A);(4)心尖长轴切面,显示A2、P2(图6B);(5)心尖二腔心切面,显示A1、P3(图7A);(6)心尖二尖瓣交界处长轴切面,显示P1、A2、P3(图7B)。经胸超声心动图通过上述切面评价MR的机制、程度以及部位,并确定瓣膜运动异常的扇叶。
3. 3 经食管二维、三维超声心动图
通过采集4个食管中段切面完整显示二尖瓣(图8)。(1)食管中段的四腔心切面,显示A2、A3和P1;(2)食管中段的二尖瓣交界处切面,显示A2、P1和P3;(3)食管中段的二腔心切面,显示A1、A2和P3;(4)食管中段的长轴三腔心切面,显示A2和P2。

图4 Ⅲ型,限制瓣膜运动 A. Ⅲa 型,瓣叶开放和关闭时均受到限制导致二尖瓣狭窄和反流;B. Ⅲ b 型,瓣叶关闭时受到限制导致二尖瓣反流
MR介入治疗术前和术中,经常使用经食管三维超声心动图采集的X-plane双切面(包括二尖瓣交界处二腔心切面及三腔心切面)来评估二尖瓣解剖:二尖瓣交界处二腔心切面能清晰显示二尖瓣后叶P1及P3、前叶A2,而三腔心切面能清晰显示二尖瓣前叶A2、后叶P2。也可通过二尖瓣的“三维外科视野”立体显示二尖瓣前后叶(图9)。经食管二维、三维超声心动图通过上述切面评价MR的机制、程度以及部位,并确定瓣膜运动异常的扇叶。

注:LA,左心房;LV,左心室;AO,主动脉;RV,右心室
图 5 经胸二维超声心动图显示二尖瓣瓣叶各扇叶 A. 胸骨旁长轴切面,显示二尖瓣前叶 A2 处、二尖瓣后叶 P2 处;B.二尖瓣水平短轴切面,显示二尖瓣前叶 A1、A2、A3 及二尖瓣后叶 P1、P2、P3

注:LA,左心房;LV,左心室;RA,右心房;RV,右心室
图 6 经胸二维超声心动图显示二尖瓣瓣叶各扇叶 A. 心尖四腔心切面,显示二尖瓣前叶 A2 处、二尖瓣后叶 P2 处;B.心尖长轴切面,显示二尖瓣前叶 A2 处、二尖瓣后叶 P2 处

注:LA,左心房;LV,左心室
图 7 经胸二维超声心动图显示二尖瓣瓣叶各扇叶 A. 心尖二腔心切面,显示二尖瓣前叶 A1处、二尖瓣后叶 P3 处;B.二尖瓣交界处长轴切面,显示二尖瓣后叶 P1、前叶 A2、后叶 P3
4 MR的定量评估
关于MR的定量评估,目前各个指南及文献标准并不完全一致,且一般分为轻度、中度、重度[4-6]。这种分法较为宽泛,不能很好反映手术前后的变化及体现手术效果。MitraClip的系列临床试验中以及之后许多MR介入治疗临床研究中[2-3, 16],将MR分为无(0+),轻度(1+),中度(2+),中重度(3+),重度(4+)。另外,国外指南文件中[4-6],关于MR的定量评估标准甚为复杂,需要采集多个复杂的却不很准确数据,这在临床应用中,特别是在我国临床实践应用的可行性较低。鉴于以上情况,结合我国的国情,反流程度分为无(0+),轻度(1+),中度(2+),中重度(3+)重度(4+),极重度(5+),现将MR定量评估参数和方法学作一推荐。
4. 1 简化评估方法
该方法以反流束最窄部位宽度(vena contracta width,VCW)主要评价指标,以反流面积分数(RF)为第二参考指标,必要时结合反流容积(RVol)和有效反流口面积(EROA)。(1)VCW<3 mm为轻度反流。(2)VCW为3~7 mm,MR程度不确定(轻度、中度、中重度、重度),需要结合下述参数来评估:①轻度MR,RF<30%,RVol<30 ml,EROA<0.20 cm2;②中度MR,RF为30%~39%,RVol为30~44 ml,EROA为0.20~0.29 cm2;③中重度MR:RF为40%~49%,RVol为45~59ml,EROA为0.30~0.39 cm2;④重度MR,RF≥50%,RVol≥60 ml,EROA≥0.4 cm2。(3)VCW>7 mm为重度、极重度反流。心腔的大小有助于评判MR的程度,左心功能状态会对反流的评估产生影响。对于保留左心室射血分数(LVEF≥60%),经胸二维超声心动图提示反流束冲击房顶部并且折返,定义为重度MR;如果折返的血流束超过左心房中段,且RF≥75%,RVol≥80 ml定义为极重度MR(图10)。
4. 2 标准评估方法
该方法与国外最新指南基本一致[4],但增加了极重度分级(图11)。
4. 3 方法学
(1)VCW:建议在经胸二维超声心动图胸骨旁左心室长轴切面和经食管超声心动图食管中段左心室长轴切面,或者反流最多的标准切面测量VCW。
(2)RF:建议在经胸二维超声心动图心尖四腔切面和经食管超声心动图食管中段四腔切面,或者反流最多的标准切面测量反流面积和相应的左心房面积。(3)RVol和EROA:在无主动脉瓣反流时,建议用多普勒连续方程法(SVMV–SVLVOT)测算,条件不符合时考虑近端等速表面积法(PISA)。一些技术因素可能会影响到左心房内反流信号的出现,包括帧频、增益调节及探头频率。调节彩色标尺,可以影响到反流束在左心房内分布的范围。彩色标尺调节到适中(50~70 cm/),可以限制外溢影响,保持相对固定的技术因素,从而减少设备误差。

图 8 经食管二维超声心动图显示二尖瓣瓣叶各扇叶 A. 食管中段的四腔心切面,显示 A2、A3 和 P1;B. 食管中段的二尖瓣交界处切面,显示 A2、P1和P3;C. 食管中段的二腔心切面,显示 A1、A2 和P3;D. 食管中段的长轴切面,显示 A2 和 P2

图 9 经食管三维超声心动图的“外科视野”从左心房向左心室观察二尖瓣,完整显示二尖瓣前后叶(箭头所示)
5 超声心动图在MR介入治疗中的评价
超声心动图在MR介入治疗中起着极其重要的作用,某些技术的操作就是在单纯超声心动图指导下完成。超声心动图在MR介入治疗中作用包括术前评估、术中监测指导及术后评价在术前,超声心动图可以分析MR的病因、定量MR程度、分析二尖瓣解剖情况,判断患者是否适合行介入手术。术后,超声心动图则可评估有无残余MR及程度、跨瓣压差、器械的稳定性、并发症,以及心脏形态及功能变化。

注:VCW,反流束最窄部位宽度;RF,反流面积分数;RVol,反流容积;EROA,有效反流口面积
图 10 二尖瓣反流程度简化评估图

注:VCW,反流束最狭窄部位;EROA,有效反流口面积;RVol,反流容积;RF,反流面积分数;MR,二尖瓣反流
图 11 MR 程度的半定量及定量标准评估图
超声心动图在MR介入术中起着不可或缺的作用,下面以目前最为成熟的经导管二尖瓣夹合术MitralClip为例,阐述MR介入术中的超声评价。MitralClip是在经食管超声心动图实时监测和引导下的操作,所有的导管操作由经食管超声心动图监测和引导[17]。经食超声心动图首先引导房间隔穿刺,使得房间隔穿刺点距二尖瓣瓣环平面的高度为3.5~4.0 cm(图12)。之后,经食管超声心动图引导输送系统进入左心房并调弯、顶端垂直指向二尖瓣口。接着,经食管超声心动图引导夹合器在二尖瓣上方定位、夹合器进入左心室、引导夹合器捕获和夹合瓣膜。夹合器捕获瓣膜位置,应该位于彩色多普勒显示反流束最大处。在整个手术过程中,两个超声视野非常重要,为手术的工作切面,其中X-plane双切面,包括三腔心切面(左心室长轴切面)及二尖瓣交界处二腔心切面(图13)。三腔心切面可以显示二尖瓣A2、P2的位置,捕获瓣膜前二尖瓣夹合器应该在这个切面显示为V字形,此时瓣夹合器臂与二尖瓣开放线垂直,分别位于A2、P2的位置,在该切面通过调整夹合器位置可使得夹合器更靠近前叶或后叶;二尖瓣交界处二腔心切面显示P1、A2、P3,捕获瓣膜前二尖瓣夹合器在该平面应该为直线形,在该切面通过调整夹合器位置可使得夹合器更靠近瓣环内交界(P3或A3)或外交界(P1或A1)。另外一个工作切面为三维超声心动图的“二尖瓣外科视野”,可以整体观察夹合器的位置、臂指向的方向(图14)。目前有限经验显示,经心尖二尖瓣夹合术(ValveClamp)术中超声心动图指导和MitralClip总体上类似,但仍有部分差异,其超声心动图规范尚在探索中。

注:LA,左心房;LV,左心室;RA,右心房;RV,右心室
图 12 经食管超声心动图食管中段的四腔心切面,显示房间隔穿刺平面距二尖瓣瓣环平面的高度(箭头所示)

注:LA,左心房;LV,左心室
图13 经食管X-plane双切面显示夹合器与二尖瓣前后叶垂直(箭头所示)A. 二尖瓣交界处二腔心切面,显示夹合器为直线形;B. 左心室长轴切面,显示夹合器为“V”字形

图 14 经食管实时三维超声心动图显示二尖瓣夹合器(CLIP)位于二尖瓣口中央并与二尖瓣前后叶垂直(箭头所示)
执笔专家:
潘翠珍(复旦大学附属中山医院),潘文志(复旦大学附属中山医院),周达新(复旦大学附属中山医院)
核心专家组成员(按姓氏拼音排序):
葛均波(复旦大学附属中山医院),郭应强(四川大学华西医院),李伟(复旦大学附属中山医院),刘先宝(浙江大学医学院附属第二医院),潘翠珍(复旦大学附属中山医院),潘文志(复旦大学附属中山医院),潘湘斌(中国医学科学院阜外医院),蒲朝霞(浙江大学医学院附属第二医院), 舒先红(复旦大学附属中山医院),宋光远(中国医学科学院阜外医院),唐红(四川大学华西医院),王建安(浙江大学医学院附属第二医院),王建德(中国医学科学院阜外医院),魏来(复旦大学附属中山医院),吴永健(中国医学科学院阜外医院),周达新(复旦大学附属中山医院),朱达(四川大学华西医院)
专家组成员(按姓氏拼音排序):
陈海燕(复旦大学附属中山医院),陈茂(四川大学华西医院),冯沅(四川大学华西医院),管丽华(复旦大学附属中山医院),霍勇(北京大学第一医院),蒋世良(中国医学科学院阜外医院),孔祥清(南京医科大学第一附属医院),李捷(广东省人民医院),陆方林(海军军医大学长海医院),罗建方(广东省人民医院),马为(北京大学第一医院),孟旭(首都医科大学安贞医院),秦永文(第二军医大学附属长海医院),宋治远(第三军医大学西南医院),孙勇(哈尔滨医科大学附属第二医院),陶凌(空军军医大学西京医院),田家玮(哈尔滨医科大学附属第二医院),王广义(解放军总医院),伍广伟(广西壮族自治区人民医院),伍伟峰(广西医科大学第一附属医院),徐仲英(中国医学科学院阜外医院),杨剑(空军军医大学西京医院),杨荣(南京医科大学第一附属医院),于波(哈尔滨医科大学附属第二医院),曾智(四川大学华西医院),张戈军(中国医学科学院阜外医院),张海波(首都医科大学安贞医院),张梅(山东大学齐鲁医院),张伟华(昆明市延安医院),张玉顺(西安交通大学附属第一医院),张智伟(广东省人民医院),赵仙先(海军军医大学长海医院),周玉杰(首都医科大学安贞医院),朱鲜阳(北部战区总医院)
参考文献:略