严道医声网讯:
2018年12月21日,西安交通大学第一附属医院结构性心脏病科张玉顺教授团队成功完成了国内首例三维心腔内超声(3D-ICE)指导下巨大房间隔膨出瘤合并筛孔型房间隔缺损(ASD)封堵术。
病例回顾
患者王某,男,52岁,自幼发现有先天性心脏病,一直未治疗。近年来心慌、气短加重,曾就诊于国内多家医院并多方网络寻医,均因检出巨大房间隔膨出瘤合并筛孔房缺的特殊性及复杂性,而被告知无法实施介入封堵治疗。患者因恐惧外科开刀,于今年12月初,转辗慕名就医于张玉顺教授,强烈要求行介入封堵治疗。
张玉顺教授团队详细分析研究患者病情后,认为介入封堵有90%以上的成功率。为了能更全面地了解房间隔缺损的解剖结构、提高手术成功率,予患者于结构性心脏病科进一步行食道超声检查。超声结果显示患者确系巨大房间隔膨出瘤,瘤底35mm,但瘤壁上可见6处筛孔样房缺,其中较大的一个5mm缺损位于后下方,其余均为2-3mm小孔。拿到检查结果的那一刻,张教授团队发现,手术的难度及复杂性远超预期设想,按照目前的结果,手术成功率可能仅为50%左右。张教授仔细分析超声结果后,认为该患者房间隔特点为:瘤腔大,瘤壁孔多而小,如果导丝进入偏上或偏下的孔,极易造成堵上堵不了下,堵下堵不了上的结局;而放置双伞的难度也极大,治疗效果不确定;如果导丝能精准入瘤腔中央的小孔,则可放置40mm特殊Amplazer筛孔ASD封堵器,这样既可最大程度的封堵所有的小孔,同时可夹闭整个薄弱的瘤壁。但手术的难点在于导丝、导管需要精准进入房间隔膨出瘤顶端中心位置的缺损,而此缺损仅为2mm,且位于瘤壁顶端,导丝及导管极难准确进入该孔。

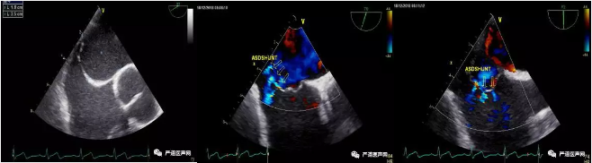
TEE结果
3D-ICE能提供更高的图像质量,多角度、多扇面地分析感兴趣结构,精准指导导丝过隔,同时提供缺损实时的三维空间位置,为手术提供更详尽的信息。综合考虑后,张教授果断决定使用强生公司CARTO 3三维电生理导航系统结合目前世界上最先进的CartoSound 3D-ICE技术精确指导该例特殊ASD的封堵。但对于3D-ICE指导该类复杂巨大房间隔膨出瘤并多孔房缺行介入封堵术目前国内尚属首例,其手术难度之大不言而喻。
手术过程
12月21日晨07:30,张玉顺教授团队早早来到介入手术室,大家提前准备好各种抢救设备,做好每个环节的准备工作,08:00手术正式开始。台上所有手术人员忙而有序,紧密配合;张教授聚精会神,紧盯屏幕,用娴熟的技术操作着CartoSound 3D-ICE导管,精确地显示了房间隔膨出瘤的大小、幅度及瘤壁上的筛孔,并应用强生公司CARTO 3三维电生理导航系统结合CartoSound 3D-ICE导管精准还原6处缺损的三维空间位置;在3D-ICE指导下,反复调整导丝、导管的走向,如同在梅花针孔中央穿针引线,精准过房间隔膨出瘤中心位置的小缺损后,放置一枚40mm特殊Amplazer筛孔ASD封堵器,将瘤壁上所有的筛孔完美封堵,手术全程历时仅半小时左右,赢得了手术台下医务工作者的阵阵掌声,台上的患者也不由叫好,发自肺腑地对张教授说:“太感谢您了,张教授!”

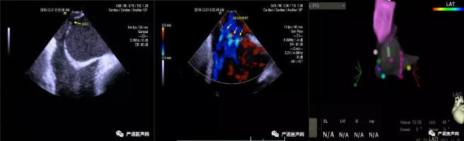
3D-ICE检查结果


3D-ICE指导ASD封堵过程
小结
房间隔膨出瘤并ASD是一种很少见的先天性房间隔发育异常性疾病,术中膨出瘤大小及缺损的大小、数目的判断对封堵器的选择十分重要。3D-ICE能提供更高的图像质量,多角度多扇面地分析感兴趣结构,同时提供缺损实时的三维空间位置,为整台手术提供更详尽的信息,为手术顺利进展保驾护航,缩短手术时间,减少射线暴露,为广大该类患者带来福音!

张玉顺教授及其团队合影
西安交通大学第一附属医院结构性心脏病科以结构性心脏病的精准治疗为己任,在学科带头人张玉顺教授的带领下,不断探索、创新,突破手术禁区,以精湛的技术给广大结构性心脏病患者带来新的希望。本次手术3D-ICE指导下特殊结构性心脏病--巨大房间隔膨出瘤并筛孔房缺封堵术的顺利实施,体现了西安交通大学第一附属医院结构性心脏病科张玉顺教授团队在此领域独特的创新性思维,为我国结构性心脏病精准治疗开启了新篇章!